ISO 9001:2015 Certified
Live Customer Support
4.5/5 on Trustpilot
100% Quality Guarantee

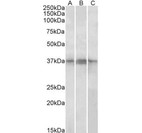
Anti-PHF11 Antibody [ARC62550] (A329740)

$515

Rabbit monoclonal [ARC62550] antibody to PHF11 for WB and ELISA.

Shipping Information

$40
Dispatched from St. Louis, MO.
Lead Time: 7-10 business days.
Name
Anti-PHF11 Antibody [ARC62550]
Description
Rabbit monoclonal [ARC62550] antibody to PHF11.
Applications
WB, ELISA
Positive Control
293T, Mouse spleen.
Dilutions
WB: 1:2,000-1:8,000, ELISA: 1 µg/ml (starting concentration)
Reactivity
Human, Mouse, Rat
Immunogen
A recombinant fusion protein corresponding to amino acids 40-321 of human PHF11.
Sequence
MEKRTCALCPKDVEYNVLYFAQSENIAAHENCLLYSSGLVECEDQDPLNPDRSFDVESVKKEIQRGRKLKCKFCHKRGATVGCDLKNCNKNYHFFCAKKDDAVPQSDGVRGIYKLLCQQHAQFPIIAQSAKFSGVKRKRGRKKPLSGNHVQPPETMKCNTFIRQVKEEHGRHTDATVKVPFLKKCKEAGLLNYLLEEILDKVHSIPEKLMDETTSESDYEEIGSALFDCRLFEDTFVNFQAAIEKKIHASQQRWQQLKEEIELLQDLKQTLCSFQENRDLMS
Host
Rabbit
Clonality
Monoclonal
Clone ID
ARC62550
Isotype
IgG
Conjugate

Unconjugated

Purification
Affinity purification.
Concentration
Lot Specific
Molecular Weight
34 kDa
Predicted MW
38 kDa
Product Form
Liquid
Formulation
Supplied in Phosphate Buffered Saline, pH 7.3, with 0.05% BSA, 50% Glycerol, and 0.05% ProClin 300.
Storage
Shipped at 4°C. Upon delivery aliquot and store at -20°C. Avoid freeze/thaw cycles.
Synonyms
BCAP, BRCA1 C-terminus-associated protein, PHD finger protein 11, Renal carcinoma antigen NY-REN-34
Disclaimer
This product is for research use only. It is not intended for diagnostic or therapeutic use.
Publishing research using Anti-PHF11 Antibody [ARC62550] (A329740)? Please let us know so that we can list the citation on this page.

Alternative products to Anti-PHF11 Antibody [ARC62550] (A329740)

Proteins predicted to interact with PHF11

Predicted protein interactions based upon String database. Revelancy score correlates with probability of interaction.
81.9% Relevancy Score
75.4% Relevancy Score
72.1% Relevancy Score
62.4% Relevancy Score
61.8% Relevancy Score
59.7% Relevancy Score
56.7% Relevancy Score
55.1% Relevancy Score
54.9% Relevancy Score