Primary Antibodies
Secondary Antibodies
Proteins & Peptides
ELISA Kits
About Us
Contact Us
Sign In/Register
0
ISO 9001:2015 Certified
Live Customer Support
4.5/5 on Trustpilot
100% Quality Guarantee
Home
Primary Antibodies
PHKB Antibodies
Anti-PHKB Antibody (A46809)
Anti-PHKB Antibody (A46809)
Overview
Specifications
Images
Enlarge Image
Enlarge Image
$430
Product Datasheet
Rabbit polyclonal antibody to PHKB for IHC.
100% Guarantee
Price Match Guarantee
Product Size:
100µl
Quantity:
1
2
3
4
5
6
7
8
9
10
Add To Cart
Request a Quotation
Custom or Bulk Request
Shipping Information
Freight/Packing Charges:
$40
Dispatched from St. Louis, MO.
Lead Time: 6-9 business days.
Specifications
Name
Anti-PHKB Antibody
Description
Rabbit polyclonal antibody to PHKB
Specificity
The antibody detects endogenous levels of total PHKB protein.
Applications
IHC
Reactivity
Human
Immunogen
Fusion protein corresponding to residues near the C terminal of human phosphorylase kinase, beta
Host
Rabbit
Clonality
Polyclonal
Conjugate
Unconjugated
Purification
Antigen affinity purification.
Concentration
1.2 mg/mL
Formulation
Supplied in PBS, pH 7.3, containing 0.05% sodium azide and 50% glycerol.
Storage
Shipped at 4°C. Upon delivery aliquot and store at -20°C. Avoid freeze/thaw cycles.
Synonyms
Phosphorylase b kinase regulatory subunit beta, Phosphorylase kinase subunit beta
Suitable Secondaries
Goat Anti-Rabbit IgG H&L Antibody (AP) (A294874)
Goat Anti-Rabbit IgG H&L Antibody (Biotin) (A294795)
Goat Anti-Rabbit IgG H&L Antibody (FITC) (A294887)
Goat Anti-Rabbit IgG H&L Antibody (HRP) (A294888)
See all Anti-Rabbit IgG Secondaries →
Disclaimer
This product is for research use only. It is not intended for diagnostic or therapeutic use.
Scientific Validation Data
Validation Data
(2)
Enlarge Image
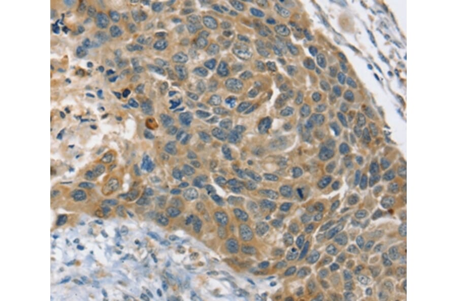
Immunohistochemistry - Anti-PHKB Antibody (A46809)
Immunohistochemical analysis of paraffin-embedded Human oesophagus cancer tissue using #36692 at dilution 1/20.
Enlarge Image
Immunohistochemistry - Anti-PHKB Antibody (A46809)
Immunohistochemical analysis of paraffin-embedded Human thyroid cancer tissue using #36692 at dilution 1/20.
Publishing research using Anti-PHKB Antibody (A46809)? Please
let us know
so that we can list the citation on this page.
Alternative products to Anti-PHKB Antibody (A46809)
A28091
Anti-PHKB Antibody
Rabbit polyclonal antibody to PHKB for WB.
A99396
Anti-KPBB Antibody
Rabbit polyclonal antibody to KPBB for WB and ELISA.
A28091
Anti-PHKB Antibody
Rabbit polyclonal antibody to PHKB for WB.
A99396
Anti-KPBB Antibody
Rabbit polyclonal antibody to KPBB for WB and ELISA.
Proteins predicted to interact with PHKB
Predicted protein interactions based upon String database. Revelancy score correlates with probability of interaction.
PHKG2 Antibodies
99.9% Relevancy Score
PHKG1 Antibodies
99% Relevancy Score
PHKA2 Antibodies
97.8% Relevancy Score
Calmodulin Antibodies
96.3% Relevancy Score
PHKA1 Antibodies
95.4% Relevancy Score
CALML5 Antibodies
91.7% Relevancy Score
CALML6 Antibodies
91.4% Relevancy Score
PYGM Antibodies
90.1% Relevancy Score
PYGL Antibodies
87.7% Relevancy Score
Top