Primary Antibodies
Secondary Antibodies
Proteins & Peptides
ELISA Kits
About Us
Contact Us
Sign In/Register
0
ISO 9001:2015 Certified
Live Customer Support
4.5/5 on Trustpilot
100% Quality Guarantee
Home
Primary Antibodies
PHKG2 Antibodies
Anti-PHKG2 Antibody (A38092)
Anti-PHKG2 Antibody (A38092)
Overview
Specifications
Images
Enlarge Image
Enlarge Image
$430
Product Datasheet
Rabbit polyclonal antibody to PHKG2 for WB and IHC.
100% Guarantee
Price Match Guarantee
Product Size:
100µl
Quantity:
1
2
3
4
5
6
7
8
9
10
Add To Cart
Request a Quotation
Custom or Bulk Request
Shipping Information
Freight/Packing Charges:
$40
Dispatched from St. Louis, MO.
Lead Time: 6-9 business days.
Specifications
Name
Anti-PHKG2 Antibody
Description
Rabbit polyclonal antibody to PHKG2
Specificity
The antibody detects endogenous levels of total PHKG2 protein.
Applications
WB
,
IHC
Reactivity
Human
Immunogen
Synthetic peptide corresponding to residues near the C terminal of human phosphorylase kinase, gamma 2
Host
Rabbit
Clonality
Polyclonal
Conjugate
Unconjugated
Purification
Antigen affinity purification.
Concentration
1.3 mg/mL
Formulation
Supplied in PBS, pH 7.3, containing 0.05% sodium azide and 50% glycerol.
Storage
Shipped at 4°C. Upon delivery aliquot and store at -20°C. Avoid freeze/thaw cycles.
Synonyms
PHK-gamma-LT, PHK-gamma-T, Phosphorylase b kinase gamma catalytic chain, liver/testis isoform, Phosphorylase kinase subunit gamma-2, PSK-C3
Suitable Secondaries
Goat Anti-Rabbit IgG H&L Antibody (AP) (A294874)
Goat Anti-Rabbit IgG H&L Antibody (Biotin) (A294795)
Goat Anti-Rabbit IgG H&L Antibody (FITC) (A294887)
Goat Anti-Rabbit IgG H&L Antibody (HRP) (A294888)
See all Anti-Rabbit IgG Secondaries →
Disclaimer
This product is for research use only. It is not intended for diagnostic or therapeutic use.
Scientific Validation Data
Validation Data
(2)
Enlarge Image
Anti-PHKG2 Antibody (A38092)
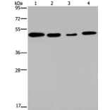
Gel: 8% SDS-PAGE Lysates (from left to right): A549, Hela, HepG2 and 293T cell Amount of lysate: 40ug per lane Primary antibody: 1/200 dilution Secondary antibody dilution: 1/8000 Exposure time: 1 minute
Enlarge Image
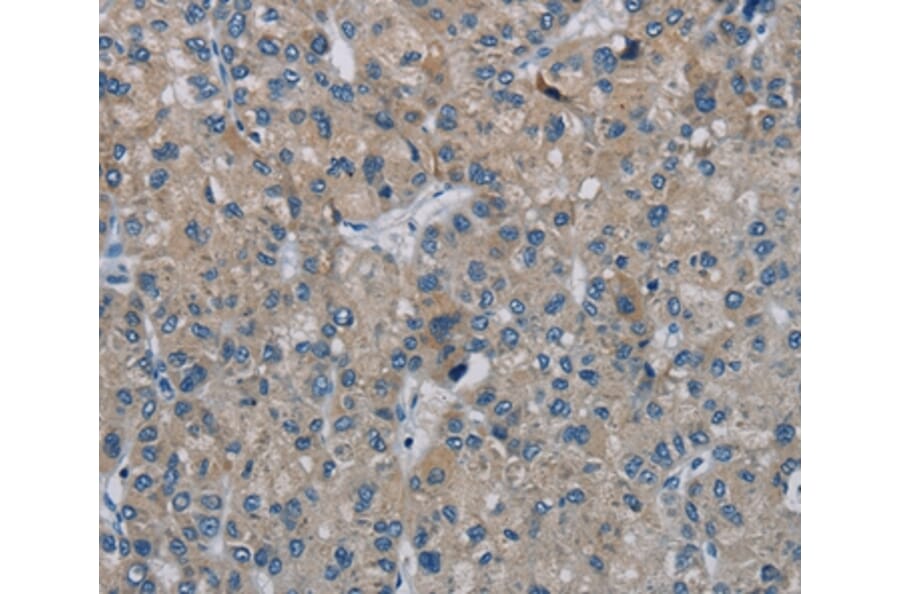
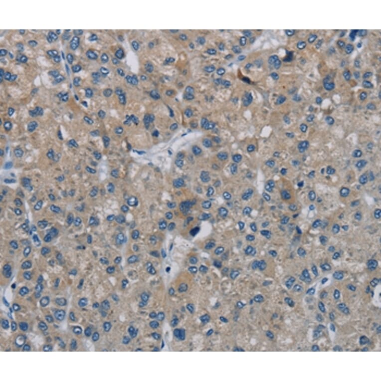
Immunohistochemistry - Anti-PHKG2 Antibody (A38092)
Immunohistochemical analysis of paraffin-embedded Human liver cancer tissue using #37825 at dilution 1/20.
Publishing research using Anti-PHKG2 Antibody (A38092)? Please
let us know
so that we can list the citation on this page.
Alternative products to Anti-PHKG2 Antibody (A38092)
(5)
A15651
Anti-PHKG2 Antibody
Rabbit polyclonal antibody to PHKG2 for WB and ICC/IF.
A90044
Anti-PHKG2 Antibody
Rabbit polyclonal antibody to PHKG2 for WB and ELISA.
A32008
Anti-PHKG2 Antibody
Rabbit polyclonal antibody to PHKG2 for WB and IHC.
(5)
A15651
Anti-PHKG2 Antibody
Rabbit polyclonal antibody to PHKG2 for WB and ICC/IF.
A90044
Anti-PHKG2 Antibody
Rabbit polyclonal antibody to PHKG2 for WB and ELISA.
A32008
Anti-PHKG2 Antibody
Rabbit polyclonal antibody to PHKG2 for WB and IHC.
Proteins predicted to interact with PHKG2
Predicted protein interactions based upon String database. Revelancy score correlates with probability of interaction.
PHKA2 Antibodies
99.9% Relevancy Score
PHKB Antibodies
99.9% Relevancy Score
PHKA1 Antibodies
99.9% Relevancy Score
Calmodulin Antibodies
93.9% Relevancy Score
CALML5 Antibodies
92.2% Relevancy Score
CALML6 Antibodies
92% Relevancy Score
PYGL Antibodies
85.8% Relevancy Score
PYGM Antibodies
82.4% Relevancy Score
Doublecortin Antibodies
81% Relevancy Score
Top