ISO 9001:2015 Certified
Live Customer Support
4.5/5 on Trustpilot
100% Quality Guarantee

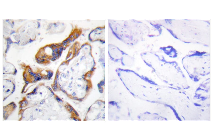
Anti-PHLA2 Antibody (A100651)

Rabbit polyclonal antibody to PHLA2 for IHC, IF and ELISA.

Shipping Information

$40
Dispatched from St. Louis, MO.
Lead Time: 6-8 business days.
Name
Anti-PHLA2 Antibody
Description
Rabbit polyclonal antibody to PHLA2.
Applications
IHC, IF, ELISA
Dilutions
IHC: 1:50~1:100, ELISA: 1:20000
Reactivity
Human, Rat, Mouse
Cross Reactivity
No reported cross-reactivity.
Immunogen
Synthetic peptide derived from human PHLDA2 (amino acids 81-130).
Host
Rabbit
Clonality
Polyclonal
Isotype
IgG
Conjugate

Unconjugated

Purification
Purified from rabbit serum by antigen affinity chromatography using the immunizing peptide.
Molecular Weight
17kDa
Product Form
Liquid
Formulation
Supplied in Phosphate Buffered Saline (without Mg2+ and Ca2+), pH 7.4, with 150mM NaCl, 0.02% Sodium Azide, and 50% Glycerol.
Storage
Shipped at 4°C. Upon delivery aliquot and store at -20°C. Avoid freeze / thaw cycles.
Synonyms
Beckwith Wiedemann syndrome chromosome region 1 candidate protein C, Beckwith-Wiedemann syndrome chromosomal region 1 candidate gene C protein, BRW 1C, BRW1C, BWR 1C, BWR1C, HLDA 2, HLDA2, Imprinted in placenta and liver, Imprinted in placenta and liver protein, IPL, p17 Beckwith Wiedemann region 1C, p17 BWR1C, p17-Beckwith-Wiedemann region 1 C, p17-BWR1C, PHLA2_HUMAN, PHLDA 2, Pleckstrin homology like domain family A member 2, Pleckstrin homology-like domain family A member 2, TSSC 3, TSSC3, Tumor suppressing STF cDNA 3 protein, Tumor suppressing subchromosomal transferable fragment candidate gene 3 protein, Tumor suppressing subchromosomal transferable fragment cDNA 3, Tumor suppressing subtransferable candidate 3, Tumor supressing STF cDNA 3, Tumor-suppressing STF cDNA 3 protein, Tumor-suppressing subchromosomal transferable fragment candidate gene 3 protein
Disclaimer
This product is for research use only. It is not intended for diagnostic or therapeutic use.
Publishing research using Anti-PHLA2 Antibody (A100651)? Please let us know so that we can list the citation on this page.