ISO 9001:2015 Certified
Live Customer Support
4.5/5 on Trustpilot
100% Quality Guarantee

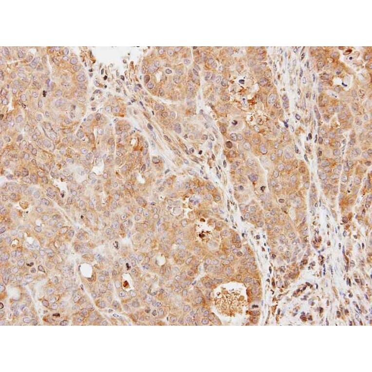
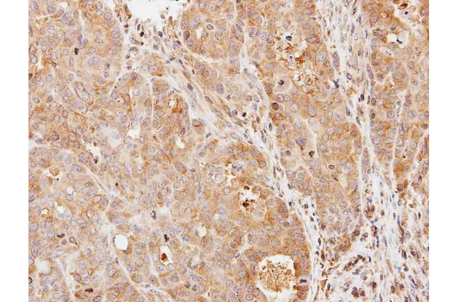
Anti-Phosphodiesterase 9A Antibody (A36197)

$610

Rabbit polyclonal antibody to Phosphodiesterase 9A for WB and IHC.

Shipping Information

$40
Dispatched from St. Louis, MO.
Lead Time: 6-9 business days.
Name
Anti-Phosphodiesterase 9A Antibody
Description
Rabbit polyclonal antibody to Phosphodiesterase 9A
Applications
WB, IHC
Reactivity
Human
Immunogen
Recombinant protein fragment contain a sequence corresponding to a region within amino acids 1 and 186 of Human PDE9A
Host
Rabbit
Clonality
Polyclonal
Conjugate

Unconjugated

Purification
Purified by antigen-affinity chromatography.
Formulation
Supplied in 0.1M Tris-buffered saline with 10% Glycerol (pH7.0). 0.01% Thimerosal was added as a preservative.
Storage
Store at -20˚C for long term preservation (recommended). Store at 4˚C for short term use.
Synonyms
5''-cyclic phosphodiesterase 9A, cGMP specific 3' 5' cyclic phosphodiesterase type 9, FLJ90181, High affinity cGMP-specific 3'', High-affinity cGMP-specific 3'5'-cyclic phosphodiesterase 9A, HSPDE9A2, OTTHUMP00000109399, PDE 9A, PDE9A, PDE9A_HUMAN, phosphodiesterase PDE9A21
Disclaimer
This product is for research use only. It is not intended for diagnostic or therapeutic use.
Publishing research using Anti-Phosphodiesterase 9A Antibody (A36197)? Please let us know so that we can list the citation on this page.