Notice: Error: The total number of locks exceeds the lock table size
Error No: 1206
INSERT INTO oc_analytics set ip = '', agent = 'Mozilla/5.0 AppleWebKit/537.36 (KHTML, like Gecko; compatible; ClaudeBot/1.0; +claudebot@anthropic.com)', url = '/catalog/primary-antibodies/phosphoglucomutase-5-antibody-14f8-f8-a249614', route = 'product/product', port = '41889', country_code ='US', country_name='United States', city='Columbus', organisation='', referrer='', adflag='N', adcampaign='', adurl='', product_id='249614' in D:\wwwroot_antibodies\system\library\db\mysqli.php on line 42 Anti-Phosphoglucomutase 5 Antibody [14F8/F8] (A249614)
ISO 9001:2015 Certified
Live Customer Support
4.5/5 on Trustpilot
100% Quality Guarantee

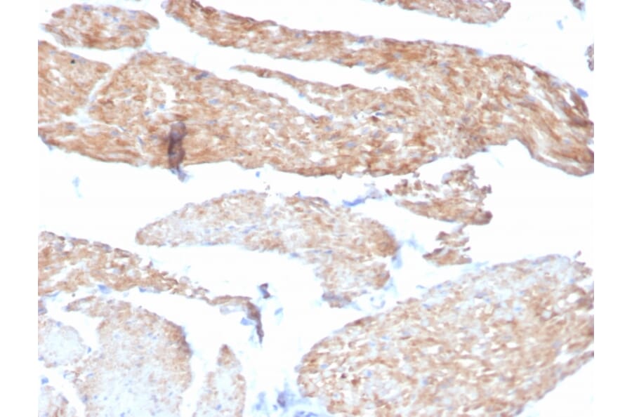
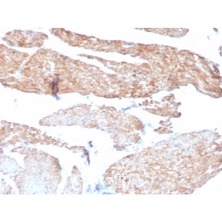
Anti-Phosphoglucomutase 5 Antibody [14F8/F8] (A249614)

Mouse monoclonal [14F8/F8] antibody to Phosphoglucomutase 5 for ELISA, IF and WB.

Alternative Formats and ConjugatesAlternative Formats

Shipping Information

$40
Dispatched from St. Louis, MO.
Lead Time: 5-8 business days.
Name
Anti-Phosphoglucomutase 5 Antibody [14F8/F8]
Description
Mouse monoclonal [14F8/F8] antibody to Phosphoglucomutase 5.
Applications
ELISA, IF, WB
Dilutions
IF: 1-2 µg/ml, WB: 1-2 µg/ml, IHC: 1-2 µg/ml
Reactivity
Human, Bovine, Mouse, Rat, Rabbit
Cross Reactivity
This antibody is predicted to cross react with Porcine, Avian, and Frog.
Immunogen
Cytoskeletal fraction of human myometrium tissue extract.
Host
Mouse
Clonality
Monoclonal
Clone ID
14F8/F8
Isotype
IgG2a
Light Chains
kappa
Conjugate

Unconjugated

Purification
Protein A/G chromatography.
Concentration
200 µg/ml
Molecular Weight
56 kDa
Product Form
Liquid
Formulation
Supplied in 10mM Phosphate Buffered Saline with 0.05% BSA and 0.05% Sodium Azide.
Storage
Shipped at 4°C. Upon delivery aliquot and store at -20°C. Avoid freeze / thaw cycles.
General Notes
This monoclonal antibody is also available in a different formulation without BSA and Sodium Azide - Anti-Phosphoglucomutase 5 Antibody [14F8/F8] - BSA and Azide free (A252794).
Disclaimer
This product is for research use only. It is not intended for diagnostic or therapeutic use.
Publishing research using Anti-Phosphoglucomutase 5 Antibody [14F8/F8] (A249614)? Please let us know so that we can list the citation on this page.

Alternative products to Anti-Phosphoglucomutase 5 Antibody [14F8/F8] (A249614)