ISO 9001:2015 Certified
Live Customer Support
4.5/5 on Trustpilot
100% Quality Guarantee

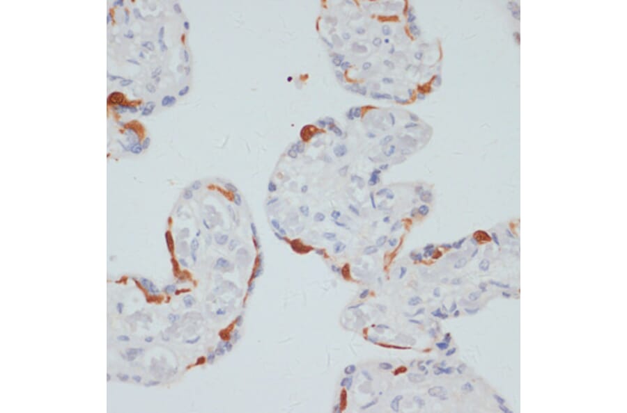
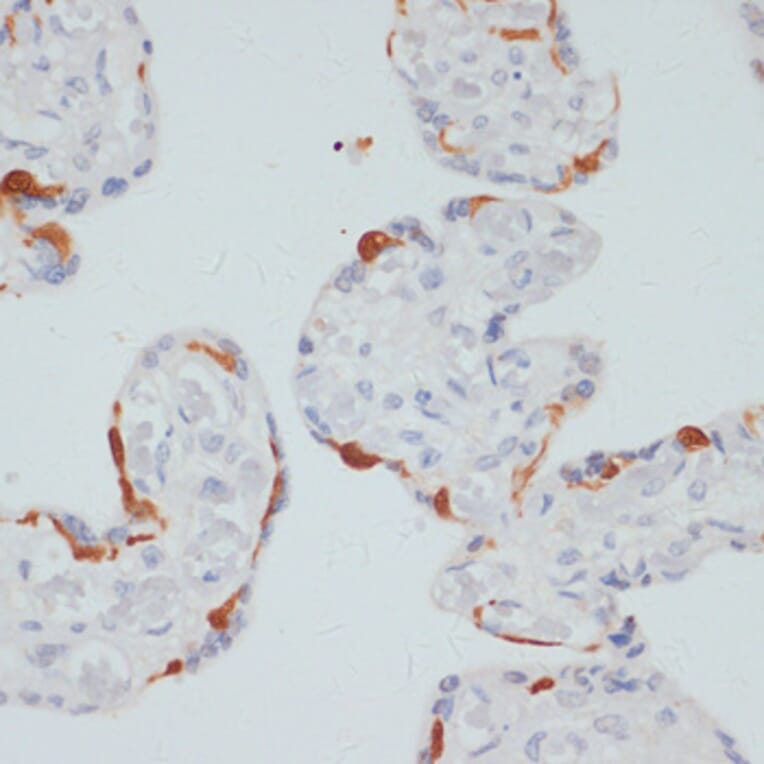
Anti-Phospholipase C gamma 1/PLC-gamma-1 (phospho Ser1248) Antibody (A88272)

Rabbit polyclonal antibody to phospholipase C gamma 1/PLC-gamma-1 (phospho Ser1248) for WB and IHC.

Shipping Information

$40
Dispatched from St. Louis, MO.
Lead Time: 7-10 business days.
Name
Anti-Phospholipase C gamma 1/PLC-gamma-1 (phospho Ser1248) Antibody
Description
Rabbit polyclonal antibody to phospholipase C gamma 1/PLC-gamma-1 (phospho Ser1248).
Applications
WB, IHC
Dilutions
WB: 1:500-1:2,000, IHC: 1:10-1:100
Reactivity
Human, Mouse, Rat
Immunogen
A synthetic phosphorylated peptide around S1248 of human PLCG1 (NP_002651.2).
Sequence
REGSF
Host
Rabbit
Clonality
Polyclonal
Isotype
IgG
Conjugate

Unconjugated

Purification
Affinity purification.
Concentration
Lot Specific
Molecular Weight
149 kDa
Product Form
Liquid
Formulation
Supplied in Phosphate Buffered Saline, pH 7.3, with 50% Glycerol and 0.01% Thiomersal.
Storage
Shipped at 4°C. Upon delivery aliquot and store at -20°C. Avoid freeze/thaw cycles.
Disclaimer
This product is for research use only. It is not intended for diagnostic or therapeutic use.
Publishing research using Anti-Phospholipase C gamma 1/PLC-gamma-1 (phospho Ser1248) Antibody (A88272)? Please let us know so that we can list the citation on this page.