Primary Antibodies
Secondary Antibodies
Proteins & Peptides
ELISA Kits
About Us
Contact Us
Sign In/Register
0
ISO 9001:2015 Certified
Live Customer Support
4.5/5 on Trustpilot
100% Quality Guarantee
Home
Primary Antibodies
Anti-Phospholipid transfer Antibody (A44919)
Anti-Phospholipid transfer Antibody (A44919)
Overview
Specifications
Images
Enlarge Image
Enlarge Image
$430
Product Datasheet
Rabbit polyclonal antibody to Phospholipid transfer for IHC.
100% Guarantee
Price Match Guarantee
Product Size:
100µg
Quantity:
1
2
3
4
5
6
7
8
9
10
Add To Cart
Request a Quotation
Custom or Bulk Request
Shipping Information
Freight/Packing Charges:
$40
Dispatched from St. Louis, MO.
Lead Time: 6-9 business days.
Specifications
Name
Anti-Phospholipid transfer Antibody
Description
Rabbit polyclonal antibody to Phospholipid transfer
Specificity
The antibody detects endogenous level of total Phospholipid transfer polyclonal antibody.
Applications
IHC
Reactivity
Human
Immunogen
Recombinant human Phospholipid transfer protein
Host
Rabbit
Clonality
Polyclonal
Conjugate
Unconjugated
Purification
Caprylic Acid Ammonium Sulfate Precipitation purified
Concentration
1.0 mg/mL
Formulation
Preservative: 0.03% Proclin 300 Constituents: 50% Glycerol, 0.01M PBS, PH 7.4
Storage
Shipped at 4°C. Upon delivery aliquot and store at -20°C. Avoid freeze/thaw cycles.
Suitable Secondaries
Goat Anti-Rabbit IgG H&L Antibody (AP) (A294874)
Goat Anti-Rabbit IgG H&L Antibody (Biotin) (A294795)
Goat Anti-Rabbit IgG H&L Antibody (FITC) (A294887)
Goat Anti-Rabbit IgG H&L Antibody (HRP) (A294888)
See all Anti-Rabbit IgG Secondaries →
Disclaimer
This product is for research use only. It is not intended for diagnostic or therapeutic use.
Scientific Validation Data
Validation Data
(2)
Enlarge Image
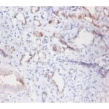
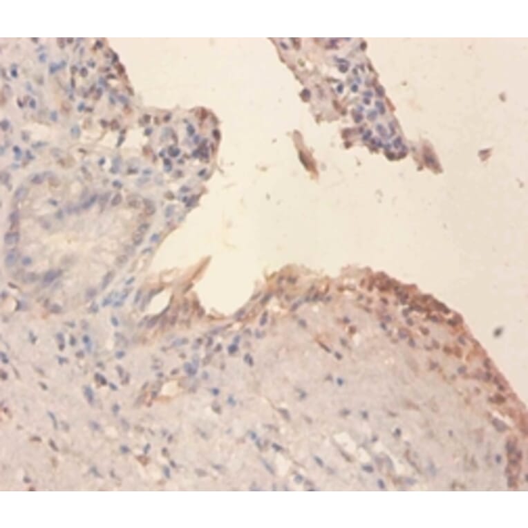
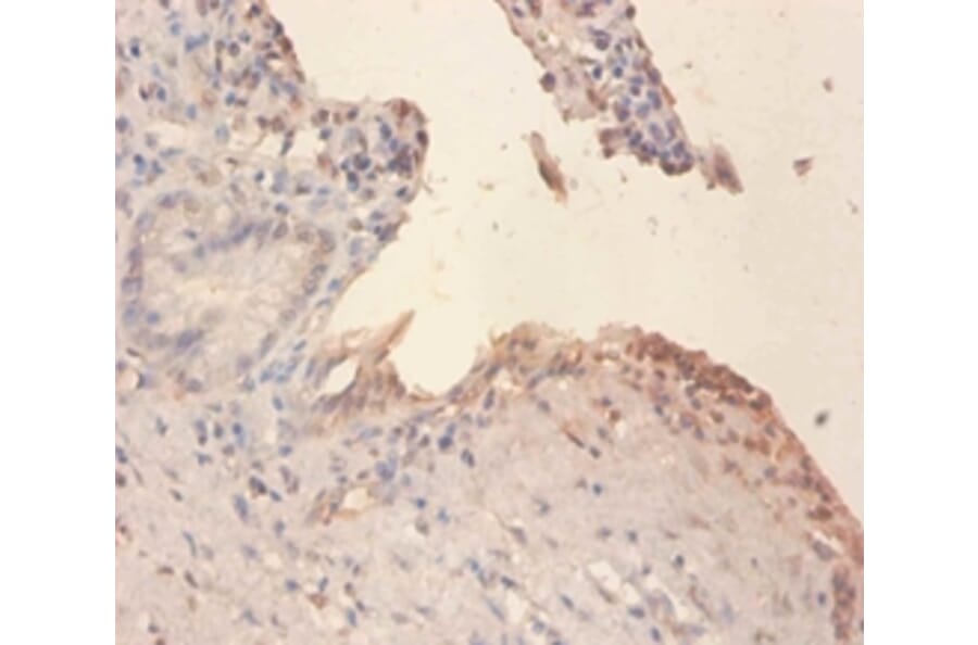
Immunohistochemistry - Anti-Phospholipid transfer Antibody (A44919)
Immunohistochemical analysis of paraffin-embedded human pancreas using #42297 at dilution of 1: 100.
Enlarge Image
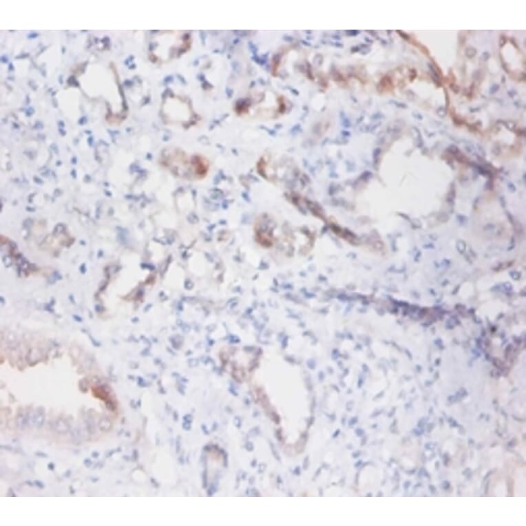
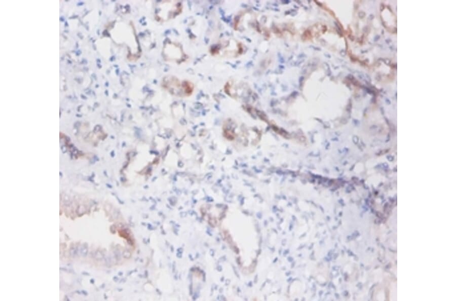
Immunohistochemistry - Anti-Phospholipid transfer Antibody (A44919)
Immunohistochemical analysis of paraffin-embedded human kidney using #42297 at dilution of 1: 100.
Publishing research using Anti-Phospholipid transfer Antibody (A44919)? Please
let us know
so that we can list the citation on this page.
Top