Primary Antibodies
Secondary Antibodies
Proteins & Peptides
ELISA Kits
About Us
Contact Us
Sign In/Register
0
ISO 9001:2015 Certified
Live Customer Support
4.5/5 on Trustpilot
100% Quality Guarantee
Home
Primary Antibodies
PMM2 Antibodies
Anti-Phosphomannomutase 2 Antibody (A36170)
Anti-Phosphomannomutase 2 Antibody (A36170)
Overview
Specifications
Images
Enlarge Image
Enlarge Image
$645
Product Datasheet
Rabbit polyclonal antibody to Phosphomannomutase 2 for WB and IHC.
100% Guarantee
Price Match Guarantee
Product Size:
100µl
Quantity:
1
2
3
4
5
6
7
8
9
10
Add To Cart
Request a Quotation
Custom or Bulk Request
Shipping Information
Freight/Packing Charges:
$40
Dispatched from St. Louis, MO.
Lead Time: 6-9 business days.
Specifications
Name
Anti-Phosphomannomutase 2 Antibody
Description
Rabbit polyclonal antibody to Phosphomannomutase 2
Applications
WB
,
IHC
Reactivity
Human
Immunogen
Recombinant protein fragment contain a sequence corresponding to a region within amino acids 1 and 174 (O15305) of PMM2
Host
Rabbit
Clonality
Polyclonal
Conjugate
Unconjugated
Purification
Purified by antigen-affinity chromatography.
Formulation
Supplied in 0.1M Tris-buffered saline with 20% Glycerol (pH7.0). 0.01% Thimerosal was added as a preservative.
Storage
Shipped at 4°C. Upon delivery aliquot and store at -20°C. Avoid freeze/thaw cycles.
Synonyms
PMM 2
Suitable Secondaries
Goat Anti-Rabbit IgG H&L Antibody (AP) (A294874)
Goat Anti-Rabbit IgG H&L Antibody (Biotin) (A294795)
Goat Anti-Rabbit IgG H&L Antibody (FITC) (A294887)
Goat Anti-Rabbit IgG H&L Antibody (HRP) (A294888)
See all Anti-Rabbit IgG Secondaries →
Disclaimer
This product is for research use only. It is not intended for diagnostic or therapeutic use.
Scientific Validation Data
Validation Data
(2)
Enlarge Image
Anti-Phosphomannomutase 2 Antibody (A36170)
Sample (30 µg of whole cell lysate) Hela B: Hep G2 12% SDS PAGE Primary antibody diluted at 1: 1000
Enlarge Image
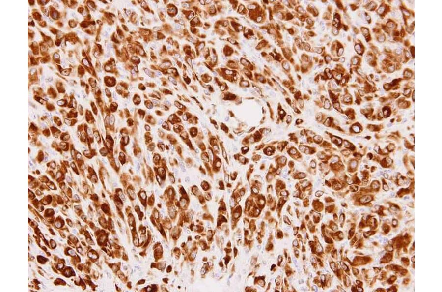
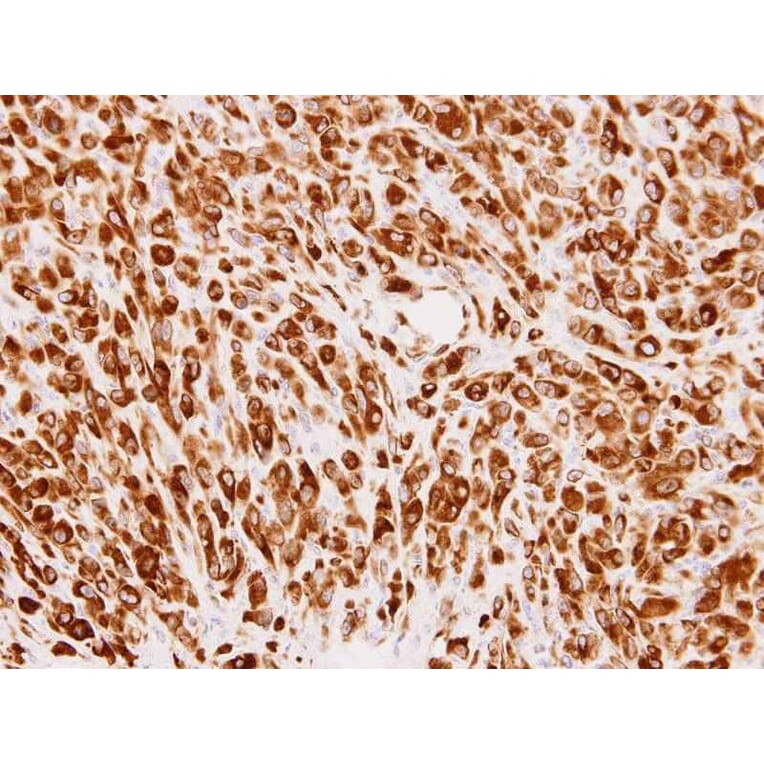
Immunohistochemistry - Anti-Phosphomannomutase 2 Antibody (A36170)
Immunohistochemical analysis of paraffin-embedded U87 xenograft, using PMM2 antibody at 1: 100 dilution.
Publishing research using Anti-Phosphomannomutase 2 Antibody (A36170)? Please
let us know
so that we can list the citation on this page.
Alternative products to Anti-Phosphomannomutase 2 Antibody (A36170)
(2)
A48551
Anti-PMM2 Antibody
Rabbit polyclonal antibody to PMM2 for ELISA, WB and IHC.
(2)
A48551
Anti-PMM2 Antibody
Rabbit polyclonal antibody to PMM2 for ELISA, WB and IHC.
Proteins predicted to interact with PMM2
Predicted protein interactions based upon String database. Revelancy score correlates with probability of interaction.
Mannose Phosphate Isomerase Antibodies
99.9% Relevancy Score
Hexokinase 1 Antibodies
94.1% Relevancy Score
ALG2 Antibodies
93.8% Relevancy Score
HK3 Antibodies
93.1% Relevancy Score
HKDC1 Antibodies
92.8% Relevancy Score
Hexokinase II Antibodies
92.8% Relevancy Score
GPI Antibodies
92% Relevancy Score
ALG6 Antibodies
90.8% Relevancy Score
ALG11 Antibodies
90.7% Relevancy Score
Top