This antibody does not cross-react with non-phosphorylated threonine, phosphoserine, and phosphotyrosine. This antibody shows slight cross-reactivity with a few phospho-serine-containing peptides.
Immunogen
Mixture containing Phosphothreonine conjugated to BSA and a Phosphothreonine containing peptide.
Host
Rabbit
Clonality
Monoclonal
Clone ID
RM102
Isotype
IgG
Conjugate
Unconjugated
Purification
Protein A chromatography.
Concentration
1 mg/ml
Product Form
Liquid
Formulation
Supplied in Phosphate Buffered Saline with 50% Glycerol, 1% BSA, and 0.09% Sodium Azide.
Storage
Shipped at 4°C. Upon delivery aliquot and store at -20°C. Avoid freeze / thaw cycles.
Immunocytochemistry of serum-starved A431 cells non-treated or treated with Calyculin A / Okadaic Acid, using Anti-Phosphothreonine Antibody [RM102] at 1:500 dilution (followed by PE conjugated secondary antibody, red) and DAPI (blue).
Western Blot - Anti-Phosphothreonine Antibody [RM102] (A121354)
Western blot of serum-starved A431 cells non-treated or treated with Calyculin A / Okadaic Acid, using Anti-Phosphothreonine Antibody [RM102] at a 1:2,000 dilution.
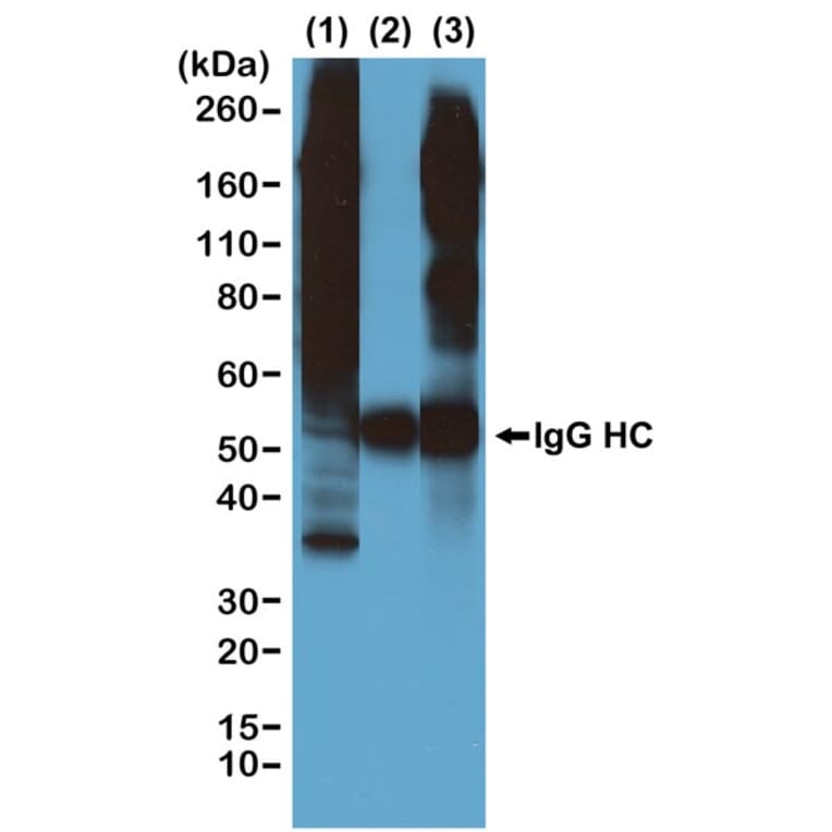
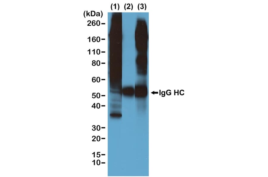
Immunoprecipitation of Calyculin A / Okadaic Acid treated A431 cells by Anti-Phosphothreonine Antibody [RM102] at 1:500 dilution, and then blotted with Anti-Phosphothreonine Antibody [RM102]. (1) Whole lysate control. (2) IP by rabbit IgG control. (3) IP by Anti-Phosphothreonine Antibody [RM102].
Anti-Phosphothreonine Antibody [RM102] recognizes phosphorylated threonine in peptides with different sequences. It has minimal cross-reactivity with phosphorylated serine.
Publishing research using Recombinant Anti-Phosphothreonine Antibody [RM102] (A121354)? Please let us know so that we can list the citation on this page.
Alternative products to Anti-Phosphothreonine Antibody [RM102] (A121354)