Western Blot - Anti-PI 3 Kinase catalytic subunit alpha/PIK3CA Antibody (A12585)
Western blot analysis of various lysates, using Anti-PI 3 Kinase catalytic subunit alpha/PIK3CA Antibody (A12585) at 1:5,000 dilution. The secondary antibody was Goat Anti-Rabbit IgG H&L Antibody (HRP) at 1:10,000 dilution. Lysates/proteins were present at 25µg per lane. The blocking buffer used was 3% non-fat dry milk in TBST. Detection was with a ECL Basic Kit. Exposure time: 90s.
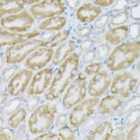
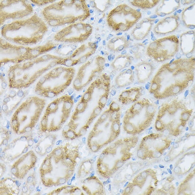
Immunohistochemistry analysis of paraffin-embedded mouse kidney using Anti-PI 3 Kinase catalytic subunit alpha/PIK3CA Antibody (A12585) at a dilution of 1:100 (40x lens). Perform high pressure antigen retrieval with 10 mM citrate buffer pH 6.0 before commencing with IHC staining protocol.
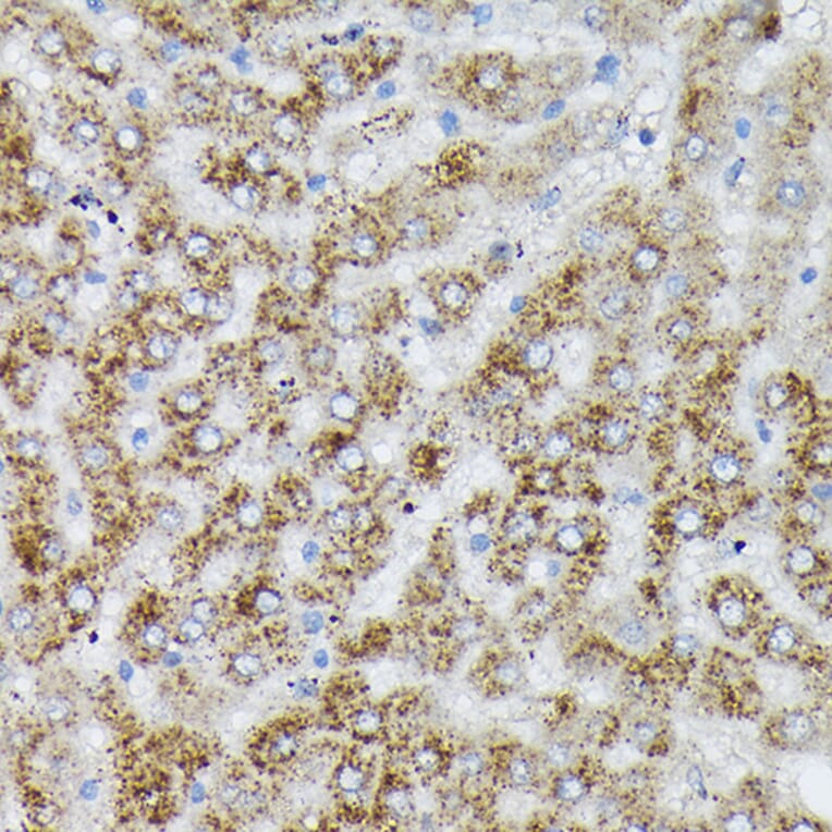
Immunohistochemistry analysis of paraffin-embedded rat liver using Anti-PI 3 Kinase catalytic subunit alpha/PIK3CA Antibody (A12585) at a dilution of 1:100 (40x lens). Perform high pressure antigen retrieval with 10 mM citrate buffer pH 6.0 before commencing with IHC staining protocol.
Immunofluorescence analysis of NIH/3T3 cells using Anti-PI 3 Kinase catalytic subunit alpha/PIK3CA Antibody (A12585) at a dilution of 1:100 (40x lens). DAPI was used to stain the cell nuclei (blue).
Immunofluorescence analysis of PC-12 cells using Anti-PI 3 Kinase catalytic subunit alpha/PIK3CA Antibody (A12585) at a dilution of 1:100 (40x lens). DAPI was used to stain the cell nuclei (blue).
Immunofluorescence analysis of U2OS cells using Anti-PI 3 Kinase catalytic subunit alpha/PIK3CA Antibody (A12585) at a dilution of 1:100 (40x lens). DAPI was used to stain the cell nuclei (blue).
Publishing research using Anti-PI 3 Kinase catalytic subunit alpha/PIK3CA Antibody (A12585)? Please let us know so that we can list the citation on this page.