Western Blot - Anti-PI 3 Kinase Class 2A/Cpk Antibody (A306971)
Western blot analysis of extracts of various cell lines, using Anti-PI 3 Kinase Class 2A/Cpk Antibody (A306971) at 1:1,000 dilution. The secondary antibody was Goat Anti-Rabbit IgG H&L Antibody (HRP) at 1:10,000 dilution. Lysates/proteins were present at 25µg per lane. The blocking buffer used was 3% non-fat dry milk in TBST. Detection was with a ECL Basic Kit. Exposure time: 90s.
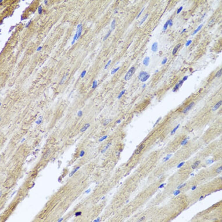
Immunohistochemistry - Anti-PI 3 Kinase Class 2A/Cpk Antibody (A306971)
Immunohistochemistry analysis of paraffin-embedded mouse heart using Anti-PI 3 Kinase Class 2A/Cpk Antibody (A306971) at a dilution of 1:100 (40x lens). Perform microwave antigen retrieval with 10 mM PBS buffer pH 7.2 before commencing with IHC staining protocol.
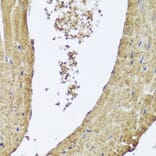
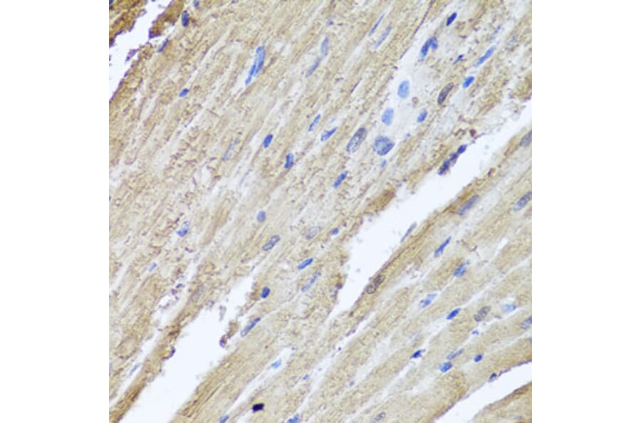
Immunohistochemistry - Anti-PI 3 Kinase Class 2A/Cpk Antibody (A306971)
Immunohistochemistry analysis of paraffin-embedded rat heart using Anti-PI 3 Kinase Class 2A/Cpk Antibody (A306971) at a dilution of 1:100 (40x lens). Perform microwave antigen retrieval with 10 mM PBS buffer pH 7.2 before commencing with IHC staining protocol.
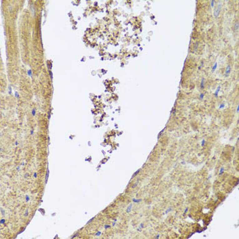
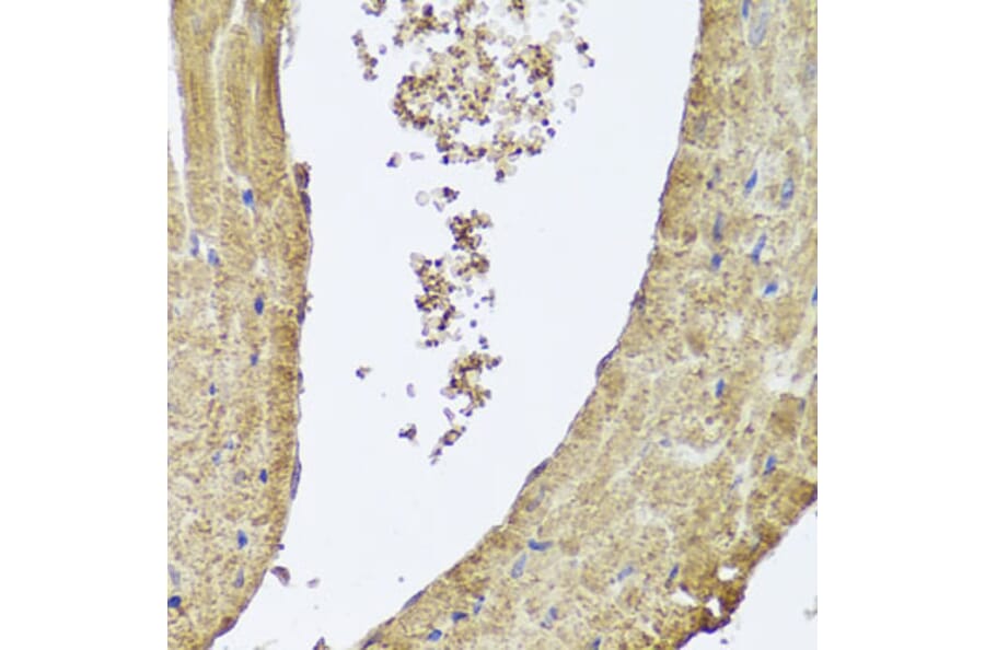
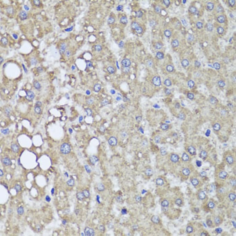
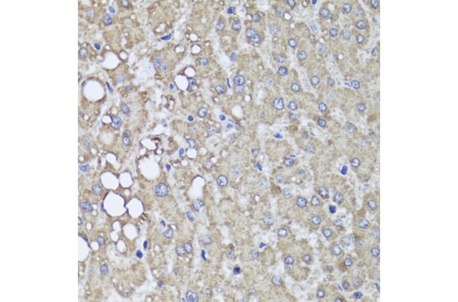
Immunohistochemistry - Anti-PI 3 Kinase Class 2A/Cpk Antibody (A306971)
Immunohistochemistry analysis of paraffin-embedded human liver damage using Anti-PI 3 Kinase Class 2A/Cpk Antibody (A306971) at a dilution of 1:100 (40x lens). Perform microwave antigen retrieval with 10 mM PBS buffer pH 7.2 before commencing with IHC staining protocol.
Immunofluorescence - Anti-PI 3 Kinase Class 2A/Cpk Antibody (A306971)
Immunofluorescence analysis of C6 cells using Anti-PI 3 Kinase Class 2A/Cpk Antibody (A306971) at a dilution of 1:100. DAPI was used to stain the cell nuclei (blue).
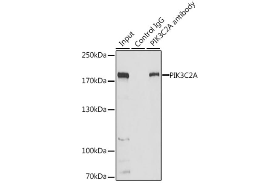
Western Blot - Anti-PI 3 Kinase Class 2A/Cpk Antibody (A306971)
Immunoprecipitation analysis of 200µg extracts of HeLa cells using 3µg of Anti-PI 3 Kinase Class 2A/Cpk Antibody (A306971). This Western blot was performed on the immunoprecipitate using Anti-PI 3 Kinase Class 2A/Cpk Antibody (A306971) at a dilution of 1:1000.