ISO 9001:2015 Certified
Live Customer Support
4.5/5 on Trustpilot
100% Quality Guarantee

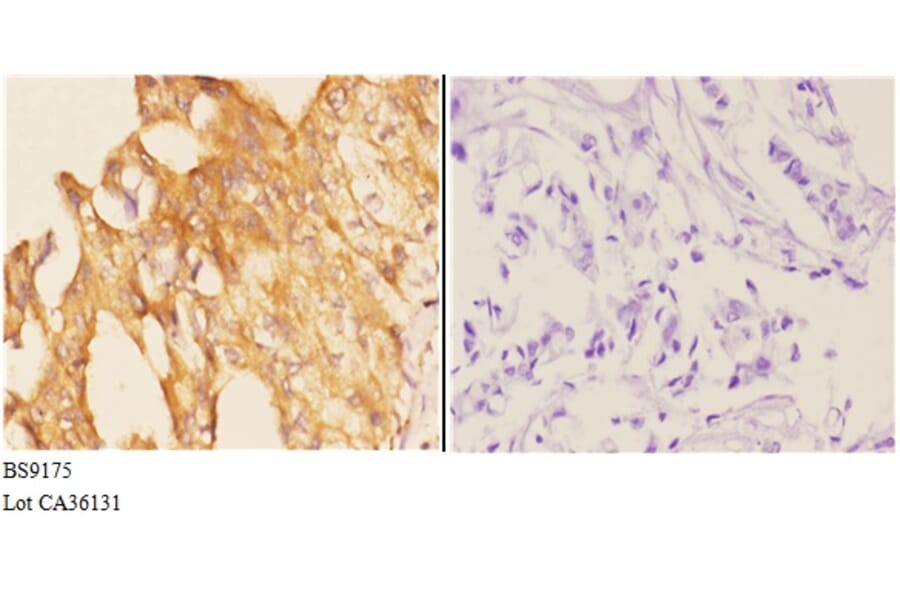
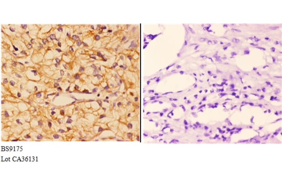
Anti-PI3K p110γ (L89) Antibody (A32225)

This product is discontinued

Anti-PI3K p110γ (L89) Antibody (A32225) has been discontinued and is no longer available.

View all available products.

Name
Anti-PI3K p110γ (L89) Antibody
Description
Rabbit polyclonal antibody to PI3K p110γ (L89)
Specificity
PI 3-Kinase p110γ (L89) pAb detects endogenous levels of PI 3-Kinase p110γ protein.
Applications
WB, IHC
Reactivity
Human
Immunogen
Synthetic peptide, corresponding to amino acids 50-100 of Human PI3K p110γ.
Host
Rabbit
Clonality
Polyclonal
Conjugate

Unconjugated

Molecular Weight
~ 110 kDa
Purity
The antibody was affinity-purified from rabbit antiserum by affinity-chromatography using epitope-specific immunogen and the purity is > 95% (by SDS-PAGE).
Product Form
1 mg/ml in Phosphate buffered saline (PBS) with 0.05% sodium azide, approx. pH 7.2.
Disclaimer
This product is for research use only. It is not intended for diagnostic or therapeutic use.