Rabbit polyclonal antibody to PI3K p85a/p55? (Y467/199)
Specificity
PI3K p85a/p55? (Y467/199) pAb detects endogenous levels of PI3-kinase p85a protein.This antibody also detects PI3K p55? protein.
Applications
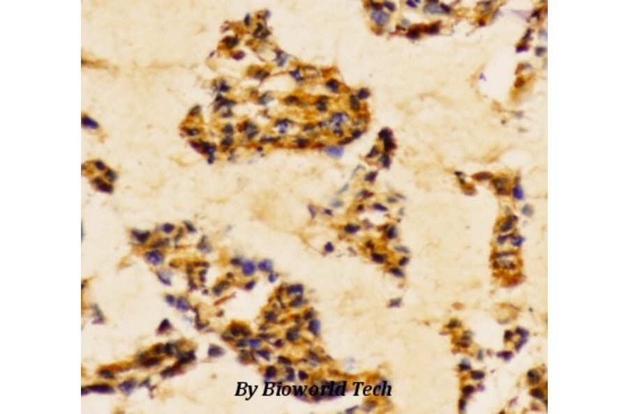
WB, IHC
Reactivity
Human, Mouse, Rat
Immunogen
Synthetic peptide, corresponding to amino acids 430-480 of Human PI3K p85a.
Host
Rabbit
Clonality
Polyclonal
Conjugate
Unconjugated
Molecular Weight
~ 55, 85 kDa
Purity
The antibody was affinity-purified from rabbit antiserum by affinity-chromatography using epitope-specific immunogen and the purity is > 95% (by SDS-PAGE).
Product Form
1 mg/ml in Phosphate buffered saline (PBS) with 15 mM sodium azide, approx. pH 7.2.