Primary Antibodies
Secondary Antibodies
Proteins & Peptides
ELISA Kits
About Us
Contact Us
Sign In/Register
0
ISO 9001:2015 Certified
Live Customer Support
4.5/5 on Trustpilot
100% Quality Guarantee
Home
Primary Antibodies
PIAS3 Antibodies
Anti-PIAS3 Antibody (A48048)
Anti-PIAS3 Antibody (A48048)
Overview
Specifications
Images
Enlarge Image
Enlarge Image
$780
Product Datasheet
Rabbit polyclonal antibody to PIAS3 for ELISA, WB and IHC.
100% Guarantee
Price Match Guarantee
Product Size:
100µl
Quantity:
1
2
3
4
5
6
7
8
9
10
Add To Cart
Request a Quotation
Custom or Bulk Request
Shipping Information
Freight/Packing Charges:
$40
Dispatched from St. Louis, MO.
Lead Time: 6-9 business days.
Specifications
Name
Anti-PIAS3 Antibody
Description
Rabbit polyclonal antibody to PIAS3
Applications
ELISA
,
WB
,
IHC
Reactivity
Human, Mouse, Rat
Immunogen
Raised against a 12 amino acid peptide near the carboxy terminus of human PIAS3.
Host
Rabbit
Clonality
Polyclonal
Conjugate
Unconjugated
Purification
Affinity chromatography purified via peptide column
Formulation
Supplied in phosphate-buffered saline with 0.02% Sodium Azide.
Storage
Shipped at 4°C. Upon delivery aliquot and store at -20°C. Avoid freeze/thaw cycles.
Synonyms
E3 SUMO-protein ligase PIAS3, E3 SUMO-protein transferase PIAS3, Protein inhibitor of activated STAT protein 3
Suitable Secondaries
Goat Anti-Rabbit IgG H&L Antibody (AP) (A294874)
Goat Anti-Rabbit IgG H&L Antibody (Biotin) (A294795)
Goat Anti-Rabbit IgG H&L Antibody (FITC) (A294887)
Goat Anti-Rabbit IgG H&L Antibody (HRP) (A294888)
See all Anti-Rabbit IgG Secondaries →
Disclaimer
This product is for research use only. It is not intended for diagnostic or therapeutic use.
Scientific Validation Data
Validation Data
(2)
Enlarge Image
Anti-PIAS3 Antibody (A48048)
Western blot analysis of PIAS3 in K562 cell lysate with PIAS3 antibody at 1 µg/mL.
Enlarge Image
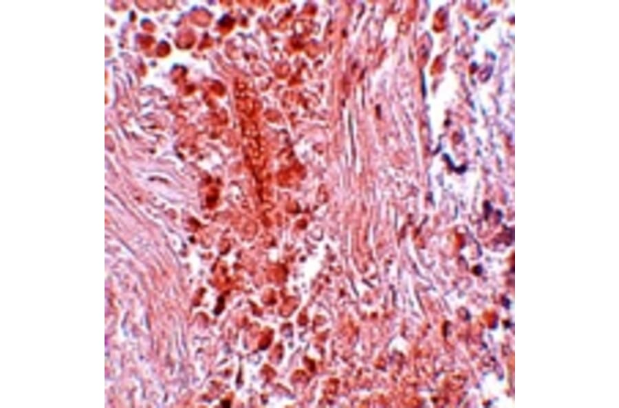
Immunohistochemistry - Anti-PIAS3 Antibody (A48048)
Immunohistochemistry of PIAS3 in human breast carcinoma tissue with PIAS3 antibody at 5 µg/mL.
Publishing research using Anti-PIAS3 Antibody (A48048)? Please
let us know
so that we can list the citation on this page.
Alternative products to Anti-PIAS3 Antibody (A48048)
(2)
A95812
Anti-PIAS3 Antibody
Rabbit polyclonal antibody to PIAS3 for WB, IHC, IF and ELISA.
(4)
A16891
Anti-PIAS3 Antibody
Rabbit polyclonal antibody to PIAS3 for WB and IHC.
(2)
A37699
Anti-PIAS3 Antibody
Rabbit polyclonal antibody to PIAS3 for WB and IHC.
(2)
A44800
Anti-PIAS3 Antibody
Rabbit polyclonal antibody to PIAS3 for IHC.
A92399
Anti-PIAS3 Antibody
Rabbit polyclonal antibody to PIAS3 for ICC/IF.
(2)
A95812
Anti-PIAS3 Antibody
Rabbit polyclonal antibody to PIAS3 for WB, IHC, IF and ELISA.
(4)
A16891
Anti-PIAS3 Antibody
Rabbit polyclonal antibody to PIAS3 for WB and IHC.
(2)
A37699
Anti-PIAS3 Antibody
Rabbit polyclonal antibody to PIAS3 for WB and IHC.
(2)
A44800
Anti-PIAS3 Antibody
Rabbit polyclonal antibody to PIAS3 for IHC.
A92399
Anti-PIAS3 Antibody
Rabbit polyclonal antibody to PIAS3 for ICC/IF.
See all PIAS3 Antibodies
Proteins predicted to interact with PIAS3
Predicted protein interactions based upon String database. Revelancy score correlates with probability of interaction.
STAT3 Antibodies
99.9% Relevancy Score
SUMO1 Antibodies
96.8% Relevancy Score
UBC9 Antibodies
96.5% Relevancy Score
STAT1 Antibodies
95.1% Relevancy Score
SUMO2 Antibodies
92.5% Relevancy Score
NF-kB p65 Antibodies
91.7% Relevancy Score
SUMO3 Antibodies
86.2% Relevancy Score
SENP1 Antibodies
83.7% Relevancy Score
STAT5B Antibodies
81.2% Relevancy Score
Top