Primary Antibodies
Secondary Antibodies
Proteins & Peptides
ELISA Kits
About Us
Contact Us
Sign In/Register
0
ISO 9001:2015 Certified
Live Customer Support
4.5/5 on Trustpilot
100% Quality Guarantee
Home
Primary Antibodies
PIBF1 Antibodies
Anti-PIBF1 Antibody (A38142)
Anti-PIBF1 Antibody (A38142)
Overview
Specifications
Images
Enlarge Image
Enlarge Image
Enlarge Image
Enlarge Image
$415
Rabbit polyclonal antibody to PIBF1 for WB and IHC.
100% Guarantee
Price Match Guarantee
Product Size:
50µl
100µl
Quantity:
1
2
3
4
5
6
7
8
9
10
Add To Cart
Request a Quotation
Custom or Bulk Request
Shipping Information
Freight/Packing Charges:
$40
Dispatched from St. Louis, MO.
Lead Time: 6-9 business days.
Specifications
Name
Anti-PIBF1 Antibody
Description
Rabbit polyclonal antibody to PIBF1
Specificity
The antibody detects endogenous level of total PIBF1 antibody.
Applications
WB
,
IHC
Reactivity
Human, Mouse, Rat
Immunogen
A synthetic peptide of human PIBF1.
Host
Rabbit
Clonality
Polyclonal
Conjugate
Unconjugated
Purification
Antibodies were purified by affinity purification using immunogen.
Concentration
1 mg/ml
Formulation
Supplied at 1.0mg / mL in phosphate buffered saline (without Mg2+ and Ca2+), pH 7.4, 150mM NaCl, 0.02% sodium azide and 50% glycerol.
Storage
Store at -20˚C
Synonyms
C13orf24, Centrosomal protein of 90 kDa, CEP90, PIBF, Progesterone-induced-blocking factor 1
Suitable Secondaries
Goat Anti-Rabbit IgG H&L Antibody (AP) (A294874)
Goat Anti-Rabbit IgG H&L Antibody (Biotin) (A294795)
Goat Anti-Rabbit IgG H&L Antibody (FITC) (A294887)
Goat Anti-Rabbit IgG H&L Antibody (HRP) (A294888)
See all Anti-Rabbit IgG Secondaries →
Disclaimer
This product is for research use only. It is not intended for diagnostic or therapeutic use.
Scientific Validation Data
Validation Data
(4)
Enlarge Image
Anti-PIBF1 Antibody (A38142)
Western blot analysis of extracts of various cell lines, using PIBF1 antibody.
Enlarge Image
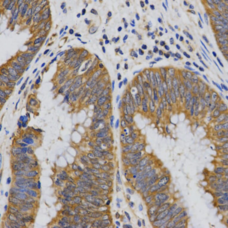
Immunohistochemistry - Anti-PIBF1 Antibody (A38142)
Immunohistochemistry analysis of paraffin-embedded human colon tissue using PIBF1 antibody.
Enlarge Image
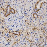
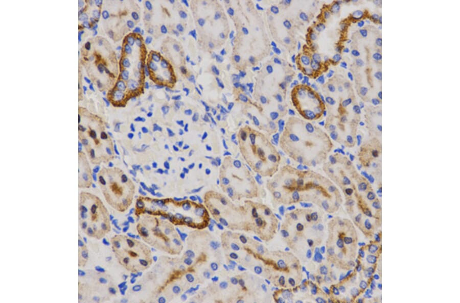
Immunohistochemistry - Anti-PIBF1 Antibody (A38142)
Immunohistochemistry analysis of paraffin-embedded rat kidney tissue using PIBF1 antibody at dilution of 1: 200 (x400 lens).
Enlarge Image
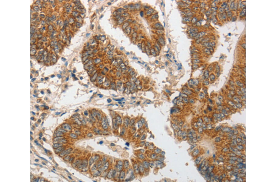
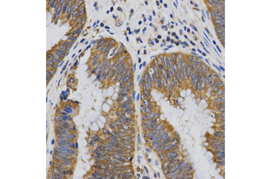
Immunohistochemistry - Anti-PIBF1 Antibody (A38142)
Immunohistochemistry analysis of paraffin-embedded human rectal cancer tissue using PIBF1 antibody at dilution of 1: 200 (x400 lens).
Publishing research using Anti-PIBF1 Antibody (A38142)? Please
let us know
so that we can list the citation on this page.
Alternative products to Anti-PIBF1 Antibody (A38142)
(4)
A14334
Anti-PIBF Antibody
Rabbit polyclonal antibody to PIBF for WB and IHC.
(2)
A30683
Anti-PIBF1 Antibody
Rabbit polyclonal antibody to PIBF1 for WB and IHC.
(2)
A48149
Anti-PIBF1 Antibody
Rabbit polyclonal antibody to PIBF1 for E, WB and IHC.
A80922
Anti-PIBF Antibody
Rabbit polyclonal antibody to PIBF for WB.
(4)
A14334
Anti-PIBF Antibody
Rabbit polyclonal antibody to PIBF for WB and IHC.
(2)
A30683
Anti-PIBF1 Antibody
Rabbit polyclonal antibody to PIBF1 for WB and IHC.
(2)
A48149
Anti-PIBF1 Antibody
Rabbit polyclonal antibody to PIBF1 for E, WB and IHC.
A80922
Anti-PIBF Antibody
Rabbit polyclonal antibody to PIBF for WB.
Proteins predicted to interact with PIBF1
Predicted protein interactions based upon String database. Revelancy score correlates with probability of interaction.
Pericentrin Antibodies
76.6% Relevancy Score
CEP135 Antibodies
73.4% Relevancy Score
CEP63 Antibodies
71.7% Relevancy Score
KLF5 Antibodies
71.7% Relevancy Score
OFD1 Antibodies
71.6% Relevancy Score
Galectin 1 Antibodies
71.2% Relevancy Score
Bora Antibodies
69.9% Relevancy Score
CEP290 Antibodies
69.1% Relevancy Score
PCM1 Antibodies
66.7% Relevancy Score
Top