ISO 9001:2015 Certified
Live Customer Support
4.5/5 on Trustpilot
100% Quality Guarantee

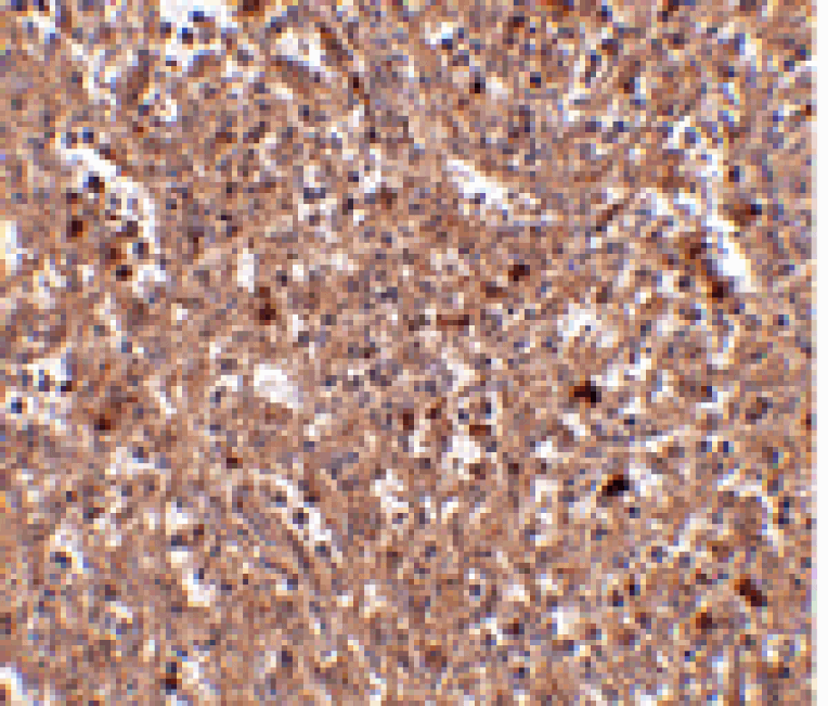
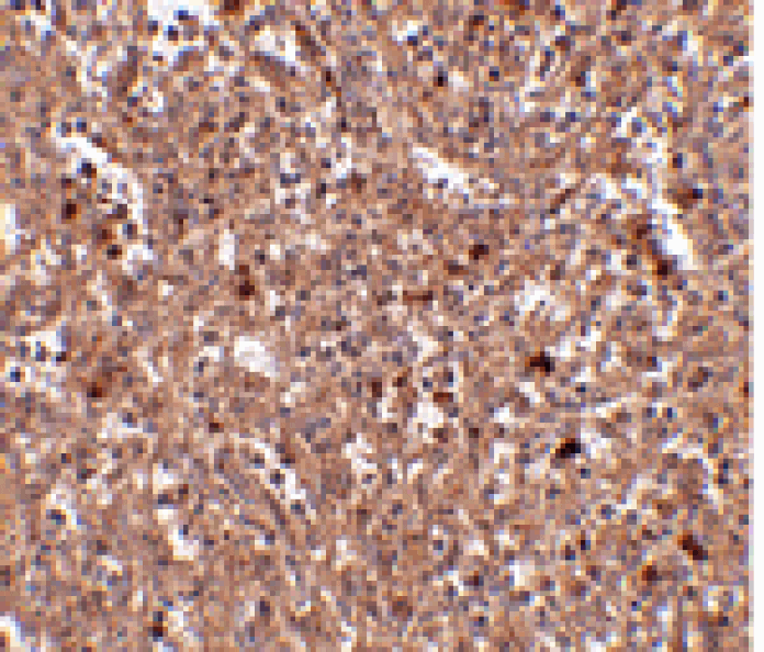
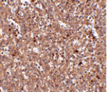
Anti-PIG-Y Antibody (A47969)

$780

Rabbit polyclonal antibody to PIG-Y for E, WB and IHC.

Shipping Information

$40
Dispatched from St. Louis, MO.
Lead Time: 6-9 business days.
Name
Anti-PIG-Y Antibody
Description
Rabbit polyclonal antibody to PIG-Y
Specificity
This antibody only detects isoform 1 of PIG-Y.
Applications
E, WB, IHC
Reactivity
Human, Mouse
Immunogen
Raised against a 16 amino acid peptide near the center of human PIG-Y.
Host
Rabbit
Clonality
Polyclonal
Conjugate

Unconjugated

Purification
Affinity chromatography purified via peptide column
Formulation
Supplied in PBS containing 0.02% sodium azide.
Storage
Can be stored at -20˚C, stable for one year. As with all antibodies care should be taken to avoid repeated freeze thaw cycles. Antibodies should not be exposed to prolonged high temperatures.
Synonyms
NDUFAFQ, Phosphatidylinositol N-acetylglucosaminyltransferase subunit Y, Phosphatidylinositol-glycan biosynthesis class Y protein, PIGY upstream reading frame protein, PREY, Protein preY, mitochondrial, PYURF
Disclaimer
This product is for research use only. It is not intended for diagnostic or therapeutic use.
Publishing research using Anti-PIG-Y Antibody (A47969)? Please let us know so that we can list the citation on this page.

Alternative products to Anti-PIG-Y Antibody (A47969)

Proteins predicted to interact with PIGY

Predicted protein interactions based upon String database. Revelancy score correlates with probability of interaction.
99.9% Relevancy Score
99.9% Relevancy Score
99.9% Relevancy Score
77.3% Relevancy Score
74.1% Relevancy Score
71.1% Relevancy Score
70.8% Relevancy Score
54.6% Relevancy Score
52.9% Relevancy Score