Primary Antibodies
Secondary Antibodies
Proteins & Peptides
ELISA Kits
About Us
Contact Us
Sign In/Register
0
ISO 9001:2015 Certified
Live Customer Support
4.5/5 on Trustpilot
100% Quality Guarantee
Home
Primary Antibodies
PIWIL1 Antibodies
Anti-PIWIL1 Antibody (A45404)
Anti-PIWIL1 Antibody (A45404)
Overview
Specifications
Images
Enlarge Image
Enlarge Image
$430
Product Datasheet
Rabbit polyclonal antibody to PIWIL1 for IHC.
100% Guarantee
Price Match Guarantee
Product Size:
100µl
Quantity:
1
2
3
4
5
6
7
8
9
10
Add To Cart
Request a Quotation
Custom or Bulk Request
Shipping Information
Freight/Packing Charges:
$40
Dispatched from St. Louis, MO.
Lead Time: 6-9 business days.
Specifications
Name
Anti-PIWIL1 Antibody
Description
Rabbit polyclonal antibody to PIWIL1
Specificity
The antibody detects endogenous levels of total PIWIL1 protein.
Applications
IHC
Reactivity
Human
Immunogen
Fusion protein corresponding to a region derived from internal residues of human piwi-like RNA-mediated gene silencing 1
Host
Rabbit
Clonality
Polyclonal
Conjugate
Unconjugated
Purification
Antigen affinity purification.
Concentration
0.8 mg/mL
Formulation
Supplied in PBS, pH 7.3, containing 0.05% sodium azide and 50% glycerol.
Storage
Shipped at 4°C. Upon delivery aliquot and store at -20°C. Avoid freeze/thaw cycles.
Synonyms
HIWI, Piwi-like protein 1
Suitable Secondaries
Goat Anti-Rabbit IgG H&L Antibody (AP) (A294874)
Goat Anti-Rabbit IgG H&L Antibody (Biotin) (A294795)
Goat Anti-Rabbit IgG H&L Antibody (FITC) (A294887)
Goat Anti-Rabbit IgG H&L Antibody (HRP) (A294888)
See all Anti-Rabbit IgG Secondaries →
Disclaimer
This product is for research use only. It is not intended for diagnostic or therapeutic use.
Scientific Validation Data
Validation Data
(2)
Enlarge Image
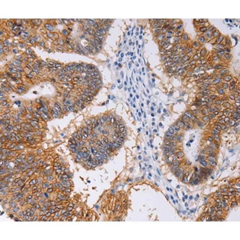
Immunohistochemistry - Anti-PIWIL1 Antibody (A45404)
Immunohistochemical analysis of paraffin-embedded Human oesophagus cancer tissue using #35880 at dilution 1/30.
Enlarge Image
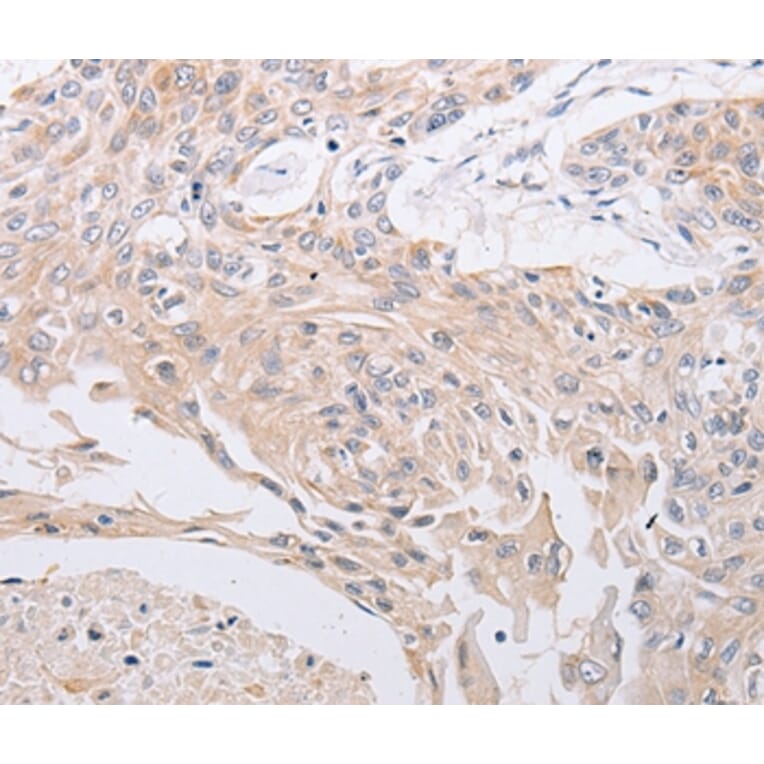
Immunohistochemistry - Anti-PIWIL1 Antibody (A45404)
Immunohistochemical analysis of paraffin-embedded Human colon cancer tissue using #35880 at dilution 1/30.
Publishing research using Anti-PIWIL1 Antibody (A45404)? Please
let us know
so that we can list the citation on this page.
Alternative products to Anti-PIWIL1 Antibody (A45404)
(5)
A13912
Anti-PIWIL1 Antibody
Rabbit polyclonal antibody to PIWIL1 for WB, IHC and ICC/IF.
(4)
A83335
Anti-PIWIL1 Antibody
Goat polyclonal antibody to PIWIL1 for ELISA, IF, IHC and Flow Cytometry.
A347816
Anti-PIWIL1 Antibody [24GB11515]
Recombinant rabbit monoclonal [24GB11515] antibody to PIWIL1 for WB, Flow Cytometry and ICC/IF.
A347815
Anti-PIWIL1 Antibody [24GB1545]
Recombinant rabbit monoclonal [24GB1545] antibody to PIWIL1 for WB, Flow Cytometry and ICC/IF.
(5)
A13912
Anti-PIWIL1 Antibody
Rabbit polyclonal antibody to PIWIL1 for WB, IHC and ICC/IF.
(4)
A83335
Anti-PIWIL1 Antibody
Goat polyclonal antibody to PIWIL1 for ELISA, IF, IHC and Flow Cytometry.
A347816
Anti-PIWIL1 Antibody [24GB11515]
Recombinant rabbit monoclonal [24GB11515] antibody to PIWIL1 for WB, Flow Cytometry and ICC/IF.
A347815
Anti-PIWIL1 Antibody [24GB1545]
Recombinant rabbit monoclonal [24GB1545] antibody to PIWIL1 for WB, Flow Cytometry and ICC/IF.
Proteins predicted to interact with PIWIL1
Predicted protein interactions based upon String database. Revelancy score correlates with probability of interaction.
TDRKH Antibodies
98.9% Relevancy Score
TDRD1 Antibodies
97% Relevancy Score
SND1 Antibodies
95.9% Relevancy Score
Dicer Antibodies
95.7% Relevancy Score
GW182 Antibodies
95.5% Relevancy Score
TDRD9 Antibodies
92.7% Relevancy Score
GTSF1 Antibodies
89.5% Relevancy Score
WDR5 Antibodies
87.7% Relevancy Score
PIWIL4 Antibodies
84.9% Relevancy Score
Top