ISO 9001:2015 Certified
Live Customer Support
4.5/5 on Trustpilot
100% Quality Guarantee

Anti-PIWIL3 Antibody (A87733)

This product is discontinued

Anti-PIWIL3 Antibody (A87733) has been discontinued and is no longer available.

View all PIWIL3 Antibodies.

Name
Anti-PIWIL3 Antibody
Description
Rabbit polyclonal antibody to PIWIL3.
Applications
WB
Dilutions
WB: 1:500-1:2,000
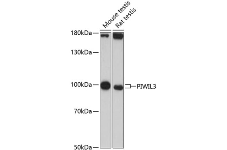
Reactivity
Mouse, Rat
Immunogen
Recombinant fusion protein containing a sequence corresponding to amino acids 40-320 of human PIWIL3 (NP_001242904.1).
Sequence
QLQSTPRPLQEEVPVVRPLQPRAARGGAGGGAQSQGVKEPGPEAGLHTAPLQERRIGGVFQDLVVNTRQDMKHVKDSKTGSEGTVVQLLANHFRVISRPQWVAYKYNVDYKPDIEDGNLRTILLDQHRRKFGERHIFDGNSLLLSRPLKERRVEWLSTTKDKNIVKITVEFSKELTPTSPDCLRYYNILFRRTFKLLDFEQVGRNYYTKKKAIQLYRHGTSLEIWLGYVTSVLQYENSITLCADVSHKLLRIETAYDFIKRTSAQAQTGNIREEVTNKLIG
Host
Rabbit
Clonality
Polyclonal
Isotype
IgG
Conjugate

Unconjugated

Purification
Affinity purification.
Molecular Weight
101 kDa
Product Form
Liquid
Formulation
Supplied in Phosphate Buffered Saline, pH 7.3, with 50% Glycerol and 0.01% Thiomersal.
Storage
Shipped at 4°C. Upon delivery aliquot and store at -20°C. Avoid freeze / thaw cycles.
Synonyms
Piwi-like protein 3
Disclaimer
This product is for research use only. It is not intended for diagnostic or therapeutic use.

Alternative products to Anti-PIWIL3 Antibody (A87733)

Proteins predicted to interact with PIWIL3

Predicted protein interactions based upon String database. Revelancy score correlates with probability of interaction.
83.7% Relevancy Score
72.1% Relevancy Score
69.1% Relevancy Score
65% Relevancy Score
63.8% Relevancy Score
60.4% Relevancy Score
46.1% Relevancy Score
44.8% Relevancy Score
41% Relevancy Score