Primary Antibodies
Secondary Antibodies
Proteins & Peptides
ELISA Kits
About Us
Contact Us
Sign In/Register
0
ISO 9001:2015 Certified
Live Customer Support
4.5/5 on Trustpilot
100% Quality Guarantee
Home
Primary Antibodies
PKC alpha Antibodies
Anti-PKC alpha Antibody [G13-R] (A8253)
Anti-PKC alpha Antibody [G13-R] (A8253)
Overview
Specifications
Images
Enlarge Image
Enlarge Image
$505
Product Datasheet
Rabbit monoclonal (G13-R) antibody to PKC alpha for WB, ELISA, IP and ICC.
100% Guarantee
Price Match Guarantee
Product Size:
50µl
100µl
Quantity:
1
2
3
4
5
6
7
8
9
10
Add To Cart
Request a Quotation
Custom or Bulk Request
Shipping Information
Freight/Packing Charges:
$40
Dispatched from St. Louis, MO.
Lead Time: 5-8 business days.
Specifications
Name
Anti-PKC alpha Antibody [G13-R]
Description
Rabbit monoclonal (G13-R) antibody to PKC alpha.
Specificity
This antibody recognizes the epitope located between Asn8 - Ala17.
Applications
WB
,
ELISA
,
IP
,
ICC
Dilutions
WB: 1:5,000, ELISA: 1:20,000-1:50,000.
Reactivity
Human, Mouse, Rat
Immunogen
Peptide derived from N-terminal sequence of human PKC alpha.
Host
Rabbit
Clonality
Monoclonal
Clone ID
G13-R
Isotype
IgG
Conjugate
Unconjugated
Product Form
Liquid
Formulation
Supplied in Tris Buffered Saline, pH 8.0, with 10 mg/ml BSA and 0.05% Sodium Azide.
Storage
Shipped at 4°C. Upon delivery aliquot and store at -20°C. Avoid freeze / thaw cycles.
Synonyms
PKC-A, PKC-alpha, PKCA, PRKACA, PRKCA, Protein kinase C alpha type
Isotype Controls
Rabbit IgG (A82272)
Rabbit IgG (A17360)
Suitable Secondaries
Goat Anti-Rabbit IgG H&L Antibody (AP) (A294874)
Goat Anti-Rabbit IgG H&L Antibody (Biotin) (A294795)
Goat Anti-Rabbit IgG H&L Antibody (FITC) (A294887)
Goat Anti-Rabbit IgG H&L Antibody (HRP) (A294888)
See all Anti-Rabbit IgG Secondaries →
Disclaimer
This product is for research use only. It is not intended for diagnostic or therapeutic use.
Scientific Validation Data
Validation Data
(2)
Enlarge Image
Western Blot - Anti-PKC alpha Antibody [G13-R] (A8253)
Western blot of PKC alpha. Lane 1: 50ng. Lane 2: 100ng. Lane 3: 200ng of recombinant human PKC alpha (N-term GST PKC-alpha; MW=103kDa).
Enlarge Image
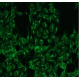
Immunocytochemistry - Anti-PKC alpha Antibody [G13-R] (A8253)
Representative picture of PKC alpha expression in HEK293 cells, visualized with Anti-PKC alpha Antibody (A8253). Primary antibody dilution: 1:100.
Publishing research using Anti-PKC alpha Antibody [G13-R] (A8253)? Please
let us know
so that we can list the citation on this page.
Alternative products to Anti-PKC alpha Antibody [G13-R] (A8253)
(5)
A37513
Anti-PRKCA Antibody
Rabbit polyclonal antibody to PRKCA for WB and IHC.
(3)
A93463
Anti-PKC alpha (phospho Thr638) Antibody
Rabbit polyclonal antibody to PKC alpha (phospho Thr638) for WB, IHC and ELISA.
(3)
A13227
Anti-PKC alpha Antibody [ARC0197]
Rabbit monoclonal [ARC0197] antibody to PKC alpha for WB, IHC and IP.
(2)
A94368
Anti-PKC alpha (phospho Tyr657) Antibody
Rabbit polyclonal antibody to PKC alpha (phospho Tyr657) for WB and ELISA.
(3)
A12587
Anti-PKC alpha Antibody
Rabbit polyclonal antibody to PKC alpha for WB and IHC.
A347830
Anti-PKC alpha Antibody [24GB4475]
Recombinant rabbit monoclonal [24GB4475] antibody to PKC alpha for WB, Flow Cytometry, ICC/IF and IHC-P.
A347829
Anti-PKC alpha Antibody [23GB1690]
Recombinant rabbit monoclonal [23GB1690] antibody to PKC alpha for WB, Flow Cytometry, ICC/IF and IHC-P.
A347828
Anti-PKC alpha (phospho Thr497) Antibody [23GB4955]
Recombinant rabbit monoclonal [23GB4955] antibody to PKC alpha (phospho Thr497) for WB, Flow Cytometry, ICC/IF and IHC-P.
(2)
A249724
Anti-PKC alpha Antibody [133]
Mouse monoclonal [133] antibody to PKC alpha for WB and IHC-P.
(2)
A252904
Anti-PKC alpha Antibody [133] - BSA and Azide free
Mouse monoclonal [133] antibody to PKC alpha for WB and IHC-P.
(2)
A309443
Anti-PKC alpha Antibody [ARC58845]
Rabbit monoclonal [ARC58845] antibody to PKC alpha for WB and ICC/IF.
A347827
Anti-PKC alpha Antibody [24GB12685]
Recombinant rabbit monoclonal [24GB12685] antibody to PKC alpha for WB, Flow Cytometry and ICC/IF.
(5)
A37513
Anti-PRKCA Antibody
Rabbit polyclonal antibody to PRKCA for WB and IHC.
(3)
A93463
Anti-PKC alpha (phospho Thr638) Antibody
Rabbit polyclonal antibody to PKC alpha (phospho Thr638) for WB, IHC and ELISA.
(3)
A13227
Anti-PKC alpha Antibody [ARC0197]
Rabbit monoclonal [ARC0197] antibody to PKC alpha for WB, IHC and IP.
(2)
A94368
Anti-PKC alpha (phospho Tyr657) Antibody
Rabbit polyclonal antibody to PKC alpha (phospho Tyr657) for WB and ELISA.
(3)
A12587
Anti-PKC alpha Antibody
Rabbit polyclonal antibody to PKC alpha for WB and IHC.
A347830
Anti-PKC alpha Antibody [24GB4475]
Recombinant rabbit monoclonal [24GB4475] antibody to PKC alpha for WB, Flow Cytometry, ICC/IF and IHC-P.
A347829
Anti-PKC alpha Antibody [23GB1690]
Recombinant rabbit monoclonal [23GB1690] antibody to PKC alpha for WB, Flow Cytometry, ICC/IF and IHC-P.
A347828
Anti-PKC alpha (phospho Thr497) Antibody [23GB4955]
Recombinant rabbit monoclonal [23GB4955] antibody to PKC alpha (phospho Thr497) for WB, Flow Cytometry, ICC/IF and IHC-P.
(2)
A249724
Anti-PKC alpha Antibody [133]
Mouse monoclonal [133] antibody to PKC alpha for WB and IHC-P.
(2)
A252904
Anti-PKC alpha Antibody [133] - BSA and Azide free
Mouse monoclonal [133] antibody to PKC alpha for WB and IHC-P.
(2)
A309443
Anti-PKC alpha Antibody [ARC58845]
Rabbit monoclonal [ARC58845] antibody to PKC alpha for WB and ICC/IF.
A347827
Anti-PKC alpha Antibody [24GB12685]
Recombinant rabbit monoclonal [24GB12685] antibody to PKC alpha for WB, Flow Cytometry and ICC/IF.
See all PKC alpha Antibodies
Proteins predicted to interact with PKC alpha
Predicted protein interactions based upon String database. Revelancy score correlates with probability of interaction.
Syndecan 4 Antibodies
99.7% Relevancy Score
PICK1 Antibodies
99.6% Relevancy Score
PKC gamma Antibodies
98.4% Relevancy Score
RACK1 Antibodies
97% Relevancy Score
mTOR Antibodies
96.9% Relevancy Score
p47phox Antibodies
96.9% Relevancy Score
PKC delta Antibodies
96.7% Relevancy Score
PKC beta Antibodies
96.3% Relevancy Score
PLD1 Antibodies
96% Relevancy Score
Top