ISO 9001:2015 Certified
Live Customer Support
4.5/5 on Trustpilot
100% Quality Guarantee

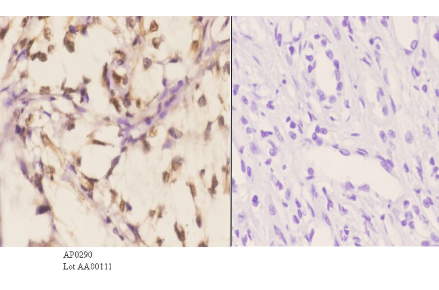
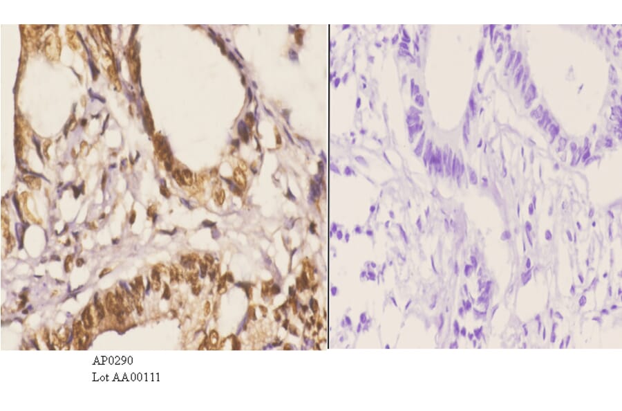
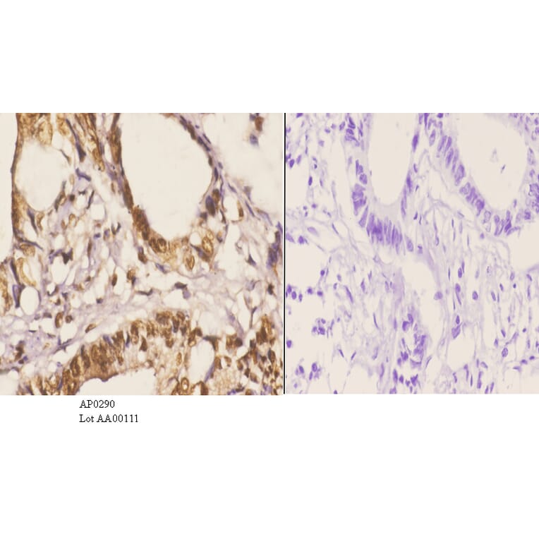
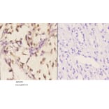
Anti-PKC a (phospho-T638) Antibody (A24898)

Rabbit polyclonal antibody to PKC a (phospho-T638) for WB and IHC.

Shipping Information

$40
Dispatched from St. Louis, MO.
Lead Time: 7-10 business days.
Name
Anti-PKC a (phospho-T638) Antibody
Description
Rabbit polyclonal antibody to PKC a (phospho-T638)
Specificity
p-PKC a (T638) pAb detects endogenous levels of PKC a protein when phosphorylated at Thr638.
Applications
WB, IHC
Reactivity
Human, Mouse, Rat
Immunogen
Synthetic phosphopeptide derived from human PKC a around the phosphorylation site of Threonine 638.
Host
Rabbit
Clonality
Polyclonal
Conjugate

Unconjugated

Molecular Weight
~ 80 kDa
Purity
The antibody was affinity-purified from rabbit antiserum by affinity-chromatography using epitope-specific immunogen and the purity is > 96% (by SDS-PAGE).
Product Form
1 mg/ml in Phosphate buffered saline (PBS) with 15 mM sodium azide, approx. pH 7.2.
Disclaimer
This product is for research use only. It is not intended for diagnostic or therapeutic use.
Publishing research using Anti-PKC a (phospho-T638) Antibody (A24898)? Please let us know so that we can list the citation on this page.