Notice: Error: The total number of locks exceeds the lock table size
Error No: 1206
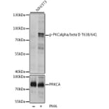
INSERT INTO oc_analytics set ip = '', agent = 'Mozilla/5.0 AppleWebKit/537.36 (KHTML, like Gecko; compatible; ClaudeBot/1.0; +claudebot@anthropic.com)', url = '/catalog/primary-antibodies/pkc-alpha-pkc-beta-phospho-thr638-thr641-antibody-a16501', route = 'product/product', port = '1581', country_code ='US', country_name='United States', city='Columbus', organisation='', referrer='', adflag='N', adcampaign='', adurl='', product_id='16501' in D:\wwwroot_antibodies\system\library\db\mysqli.php on line 42 PKC alpha +PKC beta (phospho Thr638 + Thr641) Antibody (A16501)
ISO 9001:2015 Certified
Live Customer Support
4.5/5 on Trustpilot
100% Quality Guarantee

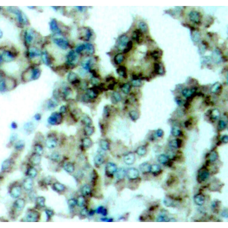
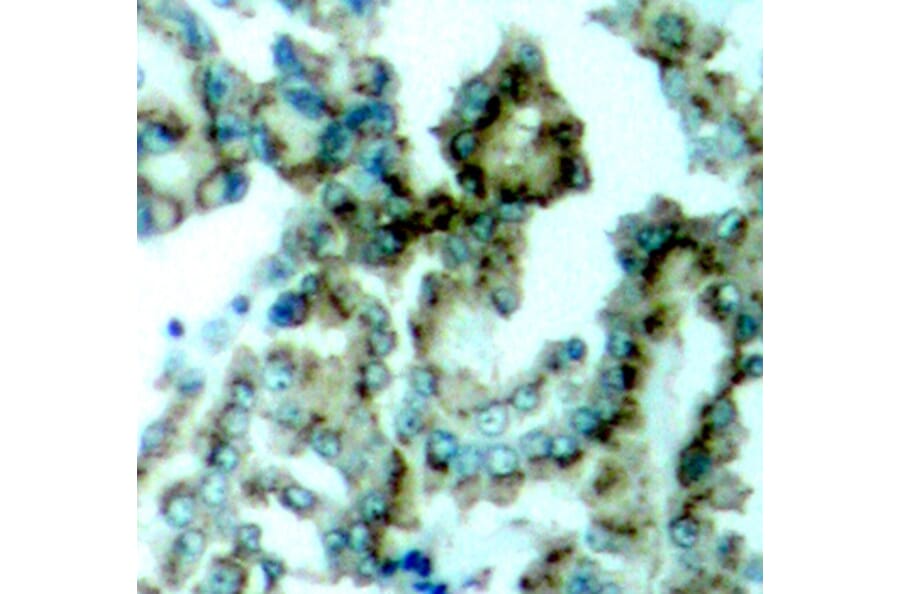
Anti-PKC alpha +PKC beta (phospho Thr638 + Thr641) Antibody (A16501)

Rabbit polyclonal antibody to PKC alpha +PKC beta (phospho Thr638 + Thr641) for WB, IHC and ICC/IF.

Shipping Information

$40
Dispatched from St. Louis, MO.
Lead Time: 7-10 business days.
Name
Anti-PKC alpha +PKC beta (phospho Thr638 + Thr641) Antibody
Description
Rabbit polyclonal antibody to PKC alpha +PKC beta (phospho Thr638 + Thr641).
Applications
WB, IHC, ICC/IF
Dilutions
WB: 1:500-1:2,000, IHC: 1:50-1:100, ICC/IF: 1:100-1:200
Reactivity
Human, Mouse, Rat
Immunogen
A synthetic phosphorylated peptide around T638 of human PKCalpha/beta IIPRKCA (NP_002728.2).
Sequence
VLTPP
Host
Rabbit
Clonality
Polyclonal
Isotype
IgG
Conjugate

Unconjugated

Purification
Affinity purification.
Concentration
Lot Specific
Molecular Weight
80 kDa
Product Form
Liquid
Formulation
Supplied in Phosphate Buffered Saline, pH 7.3, with 50% Glycerol and 0.02% Sodium Azide.
Storage
Shipped at 4°C. Upon delivery aliquot and store at -20°C. Avoid freeze/thaw cycles.
Disclaimer
This product is for research use only. It is not intended for diagnostic or therapeutic use.
Publishing research using Anti-PKC alpha +PKC beta (phospho Thr638 + Thr641) Antibody (A16501)? Please let us know so that we can list the citation on this page.