ISO 9001:2015 Certified
Live Customer Support
4.5/5 on Trustpilot
100% Quality Guarantee

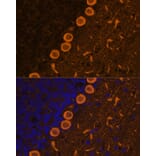
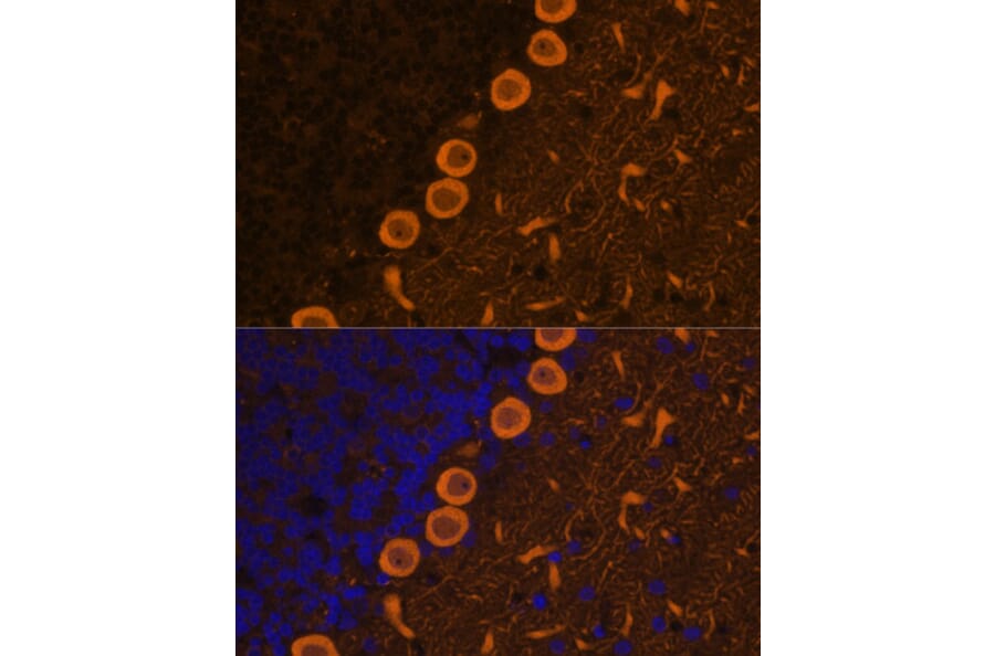
Anti-PKC gamma Antibody (A15978)

Rabbit polyclonal antibody to PKC gamma for WB and ICC/IF.

Shipping Information

$40
Dispatched from St. Louis, MO.
Lead Time: 7-10 business days.
Name
Anti-PKC gamma Antibody
Description
Rabbit polyclonal antibody to PKC gamma.
Applications
WB, ICC/IF
Dilutions
WB: 1:500-1:2,000, ICC/IF: 1:50-1:200
Reactivity
Human, Mouse, Rat
Immunogen
Recombinant fusion protein containing a sequence corresponding to amino acids 558-697 of human PKC gamma (NP_002730.1).
Sequence
EDEEELFQAIMEQTVTYPKSLSREAVAICKGFLTKHPGKRLGSGPDGEPTIRAHGFFRWIDWERLERLEIPPPFRPRPCGRSGENFDKFFTRAAPALTPPDRLVLASIDQADFQGFTYVNPDFVHPDARSPTSPVPVPVM
Host
Rabbit
Clonality
Polyclonal
Isotype
IgG
Conjugate

Unconjugated

Purification
Affinity purification.
Concentration
Lot Specific
Molecular Weight
78 kDa
Product Form
Liquid
Formulation
Supplied in Phosphate Buffered Saline, pH 7.3, with 50% Glycerol and 0.01% Thiomersal.
Storage
Shipped at 4°C. Upon delivery aliquot and store at -20°C. Avoid freeze/thaw cycles.
Synonyms
PKC-gamma, PKCG, PRKCG, Protein kinase C gamma type
Disclaimer
This product is for research use only. It is not intended for diagnostic or therapeutic use.
Publishing research using Anti-PKC gamma Antibody (A15978)? Please let us know so that we can list the citation on this page.

Alternative products to Anti-PKC gamma Antibody (A15978)

Proteins predicted to interact with PKC gamma

Predicted protein interactions based upon String database. Revelancy score correlates with probability of interaction.
98.4% Relevancy Score
98% Relevancy Score
97.1% Relevancy Score
95.4% Relevancy Score
94.6% Relevancy Score
94.3% Relevancy Score
94.3% Relevancy Score
93.8% Relevancy Score