ISO 9001:2015 Certified
Live Customer Support
4.5/5 on Trustpilot
100% Quality Guarantee

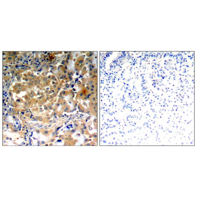
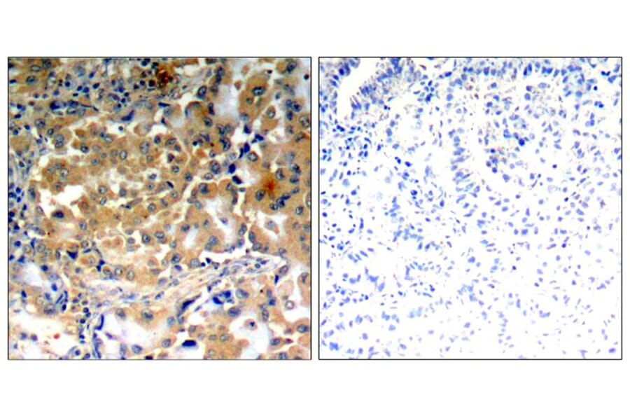
Anti-PKC? (Phospho-Thr410) Antibody (A51460)

Rabbit polyclonal antibody to PKC? (Phospho-Thr410) for IHC.

Shipping Information

$40
Dispatched from St. Louis, MO.
Lead Time: 6-9 business days.
Name
Anti-PKC? (Phospho-Thr410) Antibody
Description
Rabbit polyclonal antibody to PKC? (Phospho-Thr410)
Specificity
The antibody detects endogenous level of PKC? only when phosphorylated at threonine 410.
Applications
IHC
Reactivity
Human, Mouse, Rat
Immunogen
Peptide sequence around phosphorylation site of threonine 410(T-S-T(p)-F-C) derived from Human PKC?.
Host
Rabbit
Clonality
Polyclonal
Conjugate

Unconjugated

Purification
Antibodies were produced by immunizing rabbits with synthetic phosphopeptide and KLH conjugates. Antibodies were purified by affinity-chromatography using epitope-specific phosphopeptide. Non-phospho specific antibodies were removed by chromatogramphy using non-phosphopeptide.
Concentration
1.0 mg/mL
Formulation
Supplied in phosphate-buffered saline (without Mg²? and Ca²?), pH 7.4, containing 150 mM NaCl, 0.02% sodium azide, and 50% glycerol.
Storage
Shipped at 4°C. Upon delivery aliquot and store at -20°C. Avoid freeze/thaw cycles.
Disclaimer
This product is for research use only. It is not intended for diagnostic or therapeutic use.
Publishing research using Anti-PKC? (Phospho-Thr410) Antibody (A51460)? Please let us know so that we can list the citation on this page.