Primary Antibodies
Secondary Antibodies
Proteins & Peptides
ELISA Kits
About Us
Contact Us
Sign In/Register
0
ISO 9001:2015 Certified
Live Customer Support
4.5/5 on Trustpilot
100% Quality Guarantee
Home
Primary Antibodies
PKD2 Antibodies
Anti-PKD2 Antibody (A46883)
Anti-PKD2 Antibody (A46883)
Overview
Specifications
Images
Enlarge Image
Enlarge Image
$430
Product Datasheet
Rabbit polyclonal antibody to PKD2 for IHC.
100% Guarantee
Price Match Guarantee
Product Size:
100µl
Quantity:
1
2
3
4
5
6
7
8
9
10
Add To Cart
Request a Quotation
Custom or Bulk Request
Shipping Information
Freight/Packing Charges:
$40
Dispatched from St. Louis, MO.
Lead Time: 6-9 business days.
Specifications
Name
Anti-PKD2 Antibody
Description
Rabbit polyclonal antibody to PKD2
Specificity
The antibody detects endogenous levels of total PKD2 protein.
Applications
IHC
Reactivity
Human
Immunogen
Synthetic peptide corresponding to a region derived from internal residues of human Polycystic kidney disease 2 (autosomal dominant)
Host
Rabbit
Clonality
Polyclonal
Conjugate
Unconjugated
Purification
Antigen affinity purification.
Concentration
0.8 mg/mL
Formulation
Supplied in PBS, pH 7.3, containing 0.05% sodium azide and 50% glycerol.
Storage
Shipped at 4°C. Upon delivery aliquot and store at -20°C. Avoid freeze/thaw cycles.
Synonyms
nPKC-D2, PRKD2, Serine/threonine-protein kinase D2
Suitable Secondaries
Goat Anti-Rabbit IgG H&L Antibody (AP) (A294874)
Goat Anti-Rabbit IgG H&L Antibody (Biotin) (A294795)
Goat Anti-Rabbit IgG H&L Antibody (FITC) (A294887)
Goat Anti-Rabbit IgG H&L Antibody (HRP) (A294888)
See all Anti-Rabbit IgG Secondaries →
Disclaimer
This product is for research use only. It is not intended for diagnostic or therapeutic use.
Scientific Validation Data
Validation Data
(2)
Enlarge Image
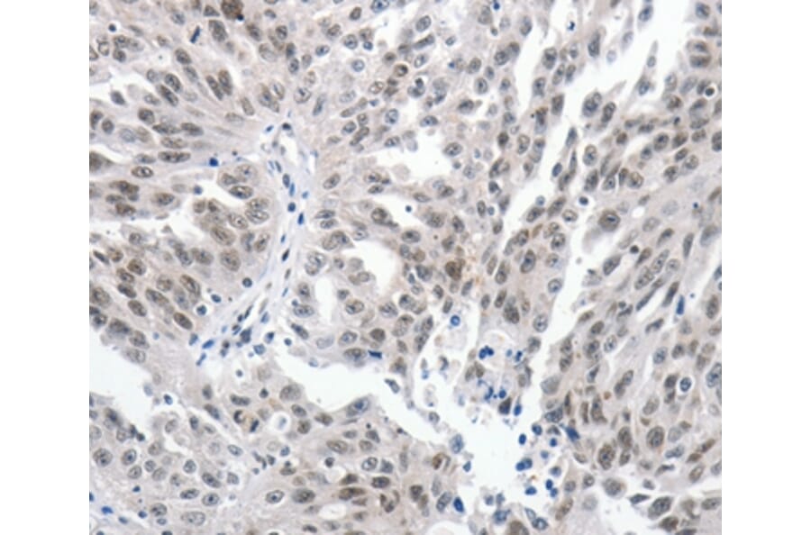
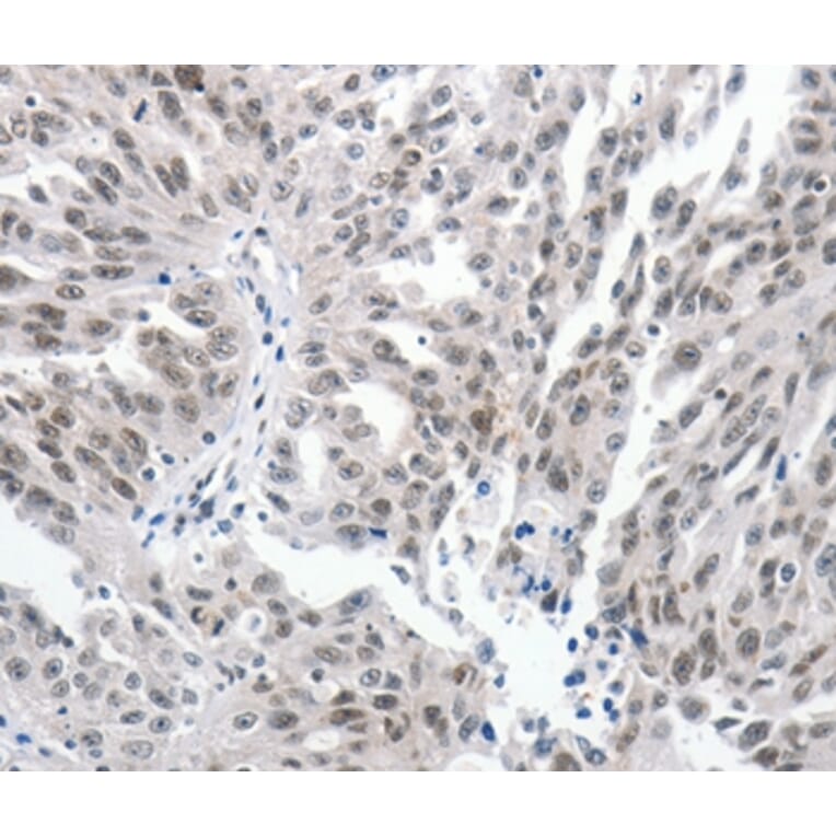
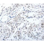
Immunohistochemistry - Anti-PKD2 Antibody (A46883)
Immunohistochemical analysis of paraffin-embedded Human ovarian cancer tissue using #37217 at dilution 1/25.
Enlarge Image
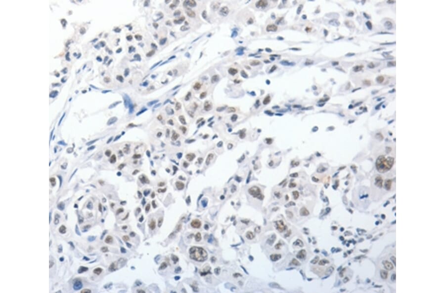
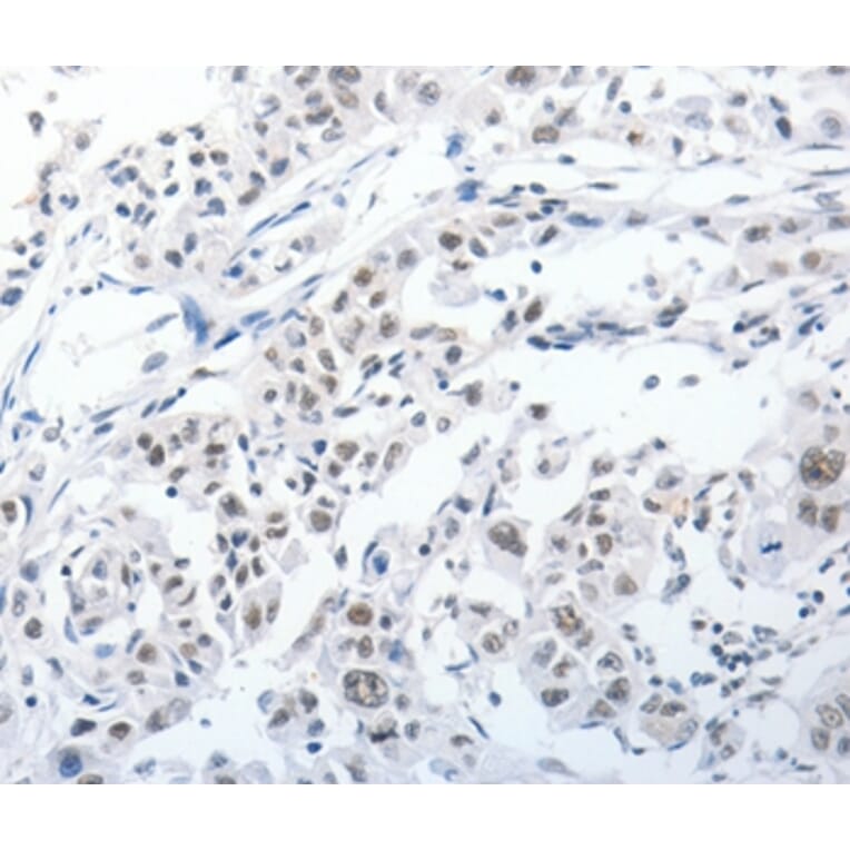
Immunohistochemistry - Anti-PKD2 Antibody (A46883)
Immunohistochemical analysis of paraffin-embedded Human lung cancer tissue using #37217 at dilution 1/25.
Publishing research using Anti-PKD2 Antibody (A46883)? Please
let us know
so that we can list the citation on this page.
Alternative products to Anti-PKD2 Antibody (A46883)
(3)
A94022
Anti-PKD2 (phospho Ser876) Antibody
Rabbit polyclonal antibody to PKD2 (phospho Ser876) for WB, IHC, IF and ELISA.
(2)
A96142
Anti-PKD2 Antibody
Rabbit polyclonal antibody to PKD2 for WB, IHC, IF and ELISA.
(2)
A50301
Anti-PKD2 (Phospho-Ser876) Antibody
Rabbit polyclonal antibody to PKD2 (Phospho-Ser876) for WB and IHC.
(3)
A35112
Anti-PRKD2 Antibody
Rabbit polyclonal antibody to PRKD2 for WB, IHC and ICC/IF.
A25608
Anti-PKD2 (A872) Antibody
Rabbit polyclonal antibody to PKD2 (A872) for WB and IHC.
A347846
Anti-PKD2 (phospho Ser876) Antibody [24GB1655]
Recombinant rabbit monoclonal [24GB1655] antibody to PKD2 (phospho Ser876) for WB and Flow Cytometry.
(3)
A94022
Anti-PKD2 (phospho Ser876) Antibody
Rabbit polyclonal antibody to PKD2 (phospho Ser876) for WB, IHC, IF and ELISA.
(2)
A96142
Anti-PKD2 Antibody
Rabbit polyclonal antibody to PKD2 for WB, IHC, IF and ELISA.
(2)
A50301
Anti-PKD2 (Phospho-Ser876) Antibody
Rabbit polyclonal antibody to PKD2 (Phospho-Ser876) for WB and IHC.
(3)
A35112
Anti-PRKD2 Antibody
Rabbit polyclonal antibody to PRKD2 for WB, IHC and ICC/IF.
A25608
Anti-PKD2 (A872) Antibody
Rabbit polyclonal antibody to PKD2 (A872) for WB and IHC.
A347846
Anti-PKD2 (phospho Ser876) Antibody [24GB1655]
Recombinant rabbit monoclonal [24GB1655] antibody to PKD2 (phospho Ser876) for WB and Flow Cytometry.
See all PKD2 Antibodies
Proteins predicted to interact with PKD2
Predicted protein interactions based upon String database. Revelancy score correlates with probability of interaction.
PKD Antibodies
97.9% Relevancy Score
PRKD3 Antibodies
97.6% Relevancy Score
PKC alpha Antibodies
91.1% Relevancy Score
Integrin beta 1 Antibodies
90.9% Relevancy Score
CD11b Antibodies
90.7% Relevancy Score
PKC beta Antibodies
90.7% Relevancy Score
CD18 Antibodies
90.5% Relevancy Score
RAP1A Antibodies
90.5% Relevancy Score
RAP1B Antibodies
90.4% Relevancy Score
Top