ISO 9001:2015 Certified
Live Customer Support
4.5/5 on Trustpilot
100% Quality Guarantee

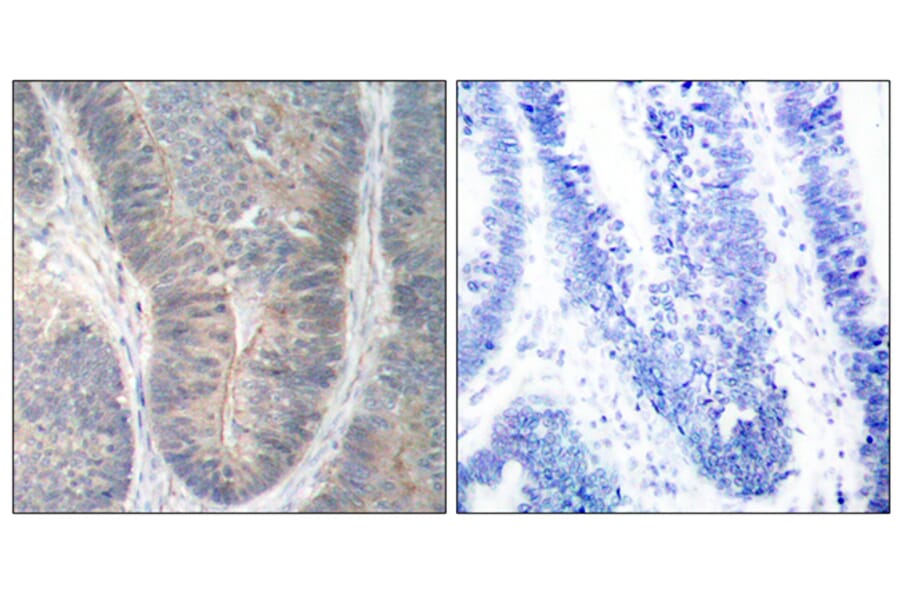
Anti-PKR (phospho Thr451) Antibody (A95975)

Rabbit polyclonal antibody to PKR (phospho Thr451) for IHC, IF and ELISA.

Shipping Information

$40
Dispatched from St. Louis, MO.
Lead Time: 6-8 business days.
Name
Anti-PKR (phospho Thr451) Antibody
Description
Rabbit polyclonal antibody to PKR (phospho Thr451).
Specificity
This antibody detects endogenous levels of PKR only when phosphorylated at Thr451.
Applications
IHC, IF, ELISA
Dilutions
IHC: 1:50~1:100, ELISA: 1:20000
Reactivity
Human, Rat, Mouse
Cross Reactivity
No reported cross-reactivity.
Immunogen
Synthetic peptide derived from human PKR around the phosphorylation site of Thr451 (amino acids 418-467).
Host
Rabbit
Clonality
Polyclonal
Isotype
IgG
Conjugate

Unconjugated

Purification
Purified from rabbit serum by antigen affinity chromatography using the immunizing phospho peptide.
Molecular Weight
62kDa
Product Form
Liquid
Formulation
Supplied in Phosphate Buffered Saline (without Mg2+ and Ca2+), pH 7.4, with 150mM NaCl, 0.02% Sodium Azide, and 50% Glycerol.
Storage
Shipped at 4°C. Upon delivery aliquot and store at -20°C. Avoid freeze / thaw cycles.
Synonyms
EC:2.7.10.2, eIF-2A protein kinase 2, EIF2AK2, Eukaryotic translation initiation factor 2-alpha kinase 2, Interferon-induced, double-stranded RNA-activated protein kinase, Interferon-inducible RNA-dependent protein kinase, P1/eIF-2A protein kinase, p68 kinase, PRKR, Protein kinase R, Protein kinase RNA-activated, Tyrosine-protein kinase EIF2AK2
Disclaimer
This product is for research use only. It is not intended for diagnostic or therapeutic use.
Publishing research using Anti-PKR (phospho Thr451) Antibody (A95975)? Please let us know so that we can list the citation on this page.

Alternative products to Anti-PKR (phospho Thr451) Antibody (A95975)

Proteins predicted to interact with PKR

Predicted protein interactions based upon String database. Revelancy score correlates with probability of interaction.
99.9% Relevancy Score
99.5% Relevancy Score
99.3% Relevancy Score
99.1% Relevancy Score
99.1% Relevancy Score
98.9% Relevancy Score
98% Relevancy Score
97.9% Relevancy Score
97.7% Relevancy Score