ISO 9001:2015 Certified
Live Customer Support
4.5/5 on Trustpilot
100% Quality Guarantee

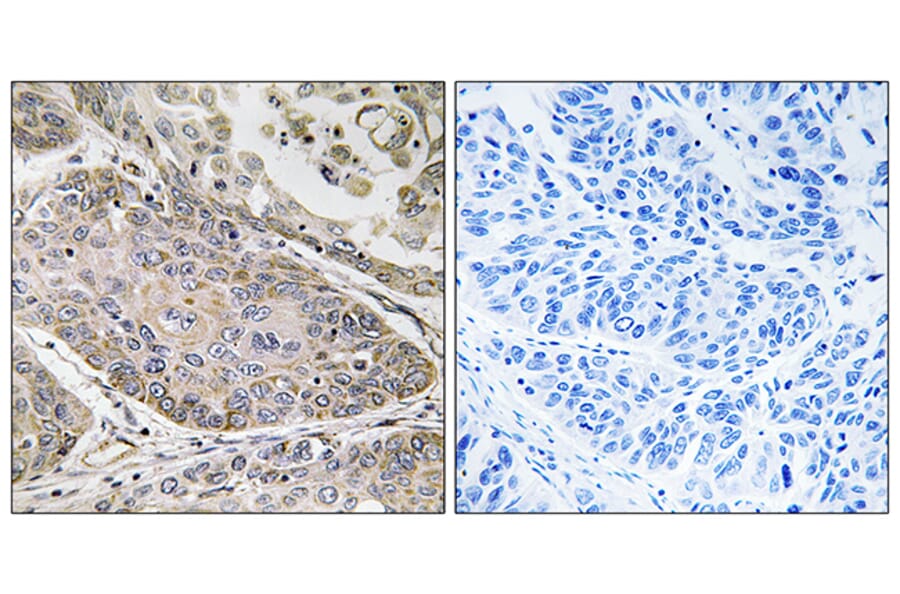
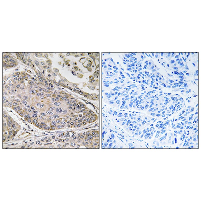
Anti-PLA2G4E Antibody (A99980)

Rabbit polyclonal antibody to PLA2G4E for IHC, IF and ELISA.

Shipping Information

$40
Dispatched from St. Louis, MO.
Lead Time: 6-8 business days.
Name
Anti-PLA2G4E Antibody
Description
Rabbit polyclonal antibody to PLA2G4E.
Applications
IHC, IF, ELISA
Dilutions
IHC: 1:50~1:100, ELISA: 1:40000
Reactivity
Human, Rat, Mouse
Cross Reactivity
No reported cross-reactivity.
Immunogen
Synthetic peptide derived from human PLA2G4E (amino acids 401-450).
Host
Rabbit
Clonality
Polyclonal
Isotype
IgG
Conjugate

Unconjugated

Purification
Purified from rabbit serum by antigen affinity chromatography using the immunizing peptide.
Molecular Weight
95kDa
Product Form
Liquid
Formulation
Supplied in Phosphate Buffered Saline (without Mg2+ and Ca2+), pH 7.4, with 150mM NaCl, 0.02% Sodium Azide, and 50% Glycerol.
Storage
Shipped at 4°C. Upon delivery aliquot and store at -20°C. Avoid freeze / thaw cycles.
Synonyms
Calcium-dependent N-acyltransferase, cPLA2-epsilon, Cytosolic phospholipase A2 epsilon, Phospholipase A2 group IVE
Disclaimer
This product is for research use only. It is not intended for diagnostic or therapeutic use.
Publishing research using Anti-PLA2G4E Antibody (A99980)? Please let us know so that we can list the citation on this page.

Alternative products to Anti-PLA2G4E Antibody (A99980)

Proteins predicted to interact with PLA2G4E

Predicted protein interactions based upon String database. Revelancy score correlates with probability of interaction.
91% Relevancy Score
90.5% Relevancy Score
90.4% Relevancy Score
90.4% Relevancy Score
90.3% Relevancy Score
90.2% Relevancy Score
90% Relevancy Score
75.6% Relevancy Score
75.5% Relevancy Score