ISO 9001:2015 Certified
Live Customer Support
4.5/5 on Trustpilot
100% Quality Guarantee

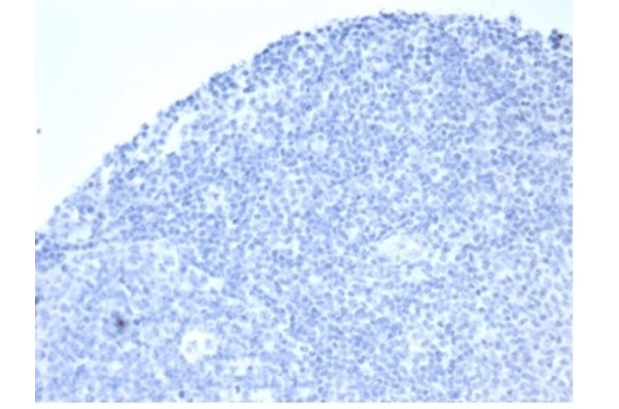
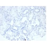
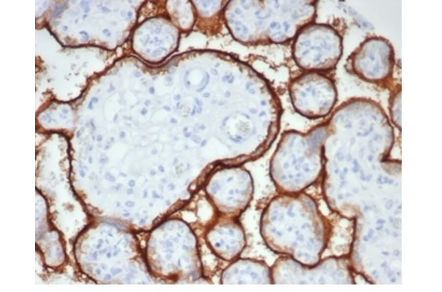
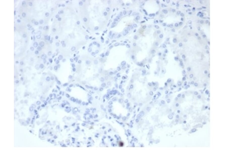
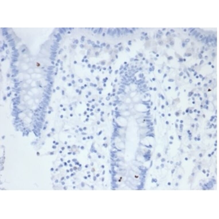
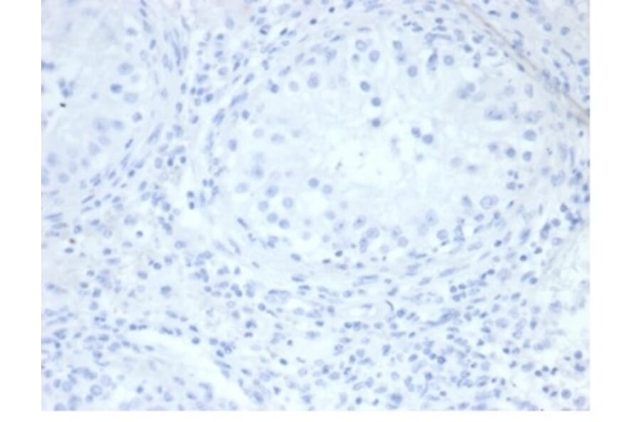
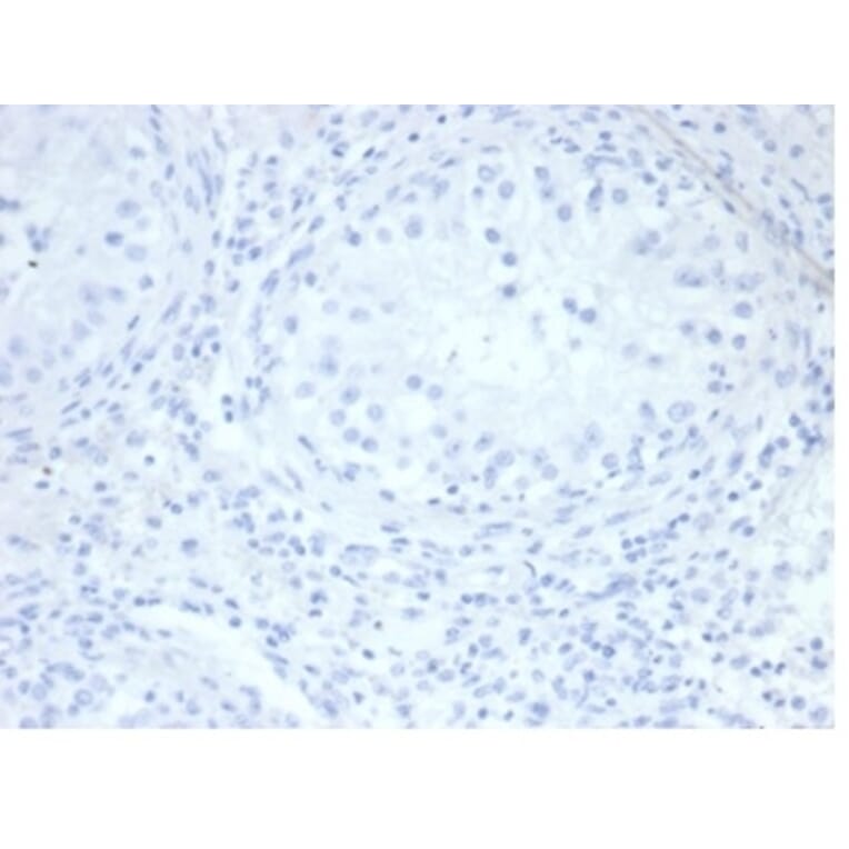
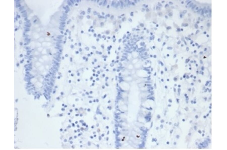
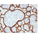
Anti-Placental Alkaline Phosphatase Antibody [rALP/870] (A277617)

Mouse monoclonal [rALP/870] antibody to Placental Alkaline Phosphatase for WB and IHC-P.

Alternative Formats and ConjugatesAlternative Formats

Shipping Information

$40
Dispatched from St. Louis, MO.
Lead Time: 5-8 business days.
Name
Anti-Placental Alkaline Phosphatase Antibody [rALP/870]
Description
Mouse monoclonal [rALP/870] antibody to Placental Alkaline Phosphatase.
Specificity
This antibody recognizes a 70kDa membrane-bound isozyme (Regan and Nagao type) of Placental Alkaline Phosphatase (PLAP) occurring in the placenta during the 3rd trimester of gestation. It is highly specific for PLAP and shows no cross-reaction with other isozymes of alkaline phosphatase. Anti-PLAP This antibody recognizes germ cell tumors and can discriminate between these and other neoplasms. Somatic neoplasms e.g. breast, gastrointestinal, prostatic, and urinary cancers may also immunoreact with antibodies to PLAP. Anti-PLAP positivity in conjunction with anti-keratin negativity favors seminoma over carcinoma. Germ cell tumors are usually anti-keratin positive, but they regularly fail to stain with anti-EMA, whereas most carcinomas stain with anti-EMA. Anti-PLAP has been useful in the diagnosis of gestational trophoblastic disease.
Applications
WB, IHC-P
Dilutions
WB: 1-2 µg/ml, IHC-P: 1-2 µg/ml
Reactivity
Human
Immunogen
Recombinant full-length human ALPP protein.
Host
Mouse
Clonality
Monoclonal
Clone ID
rALP/870
Isotype
IgG1
Light Chains
kappa
Conjugate

Unconjugated

Purification
Protein A/G chromatography.
Concentration
200 µg/ml
Molecular Weight
70 kDa
Product Form
Liquid
Formulation
Supplied in 10mM Phosphate Buffered Saline with 0.05% BSA and 0.05% Sodium Azide.
Storage
Shipped at 4°C. Upon delivery aliquot and store at -20°C. Avoid freeze / thaw cycles.
General Notes
This monoclonal antibody is also available in a different formulation without BSA and Sodium Azide - Anti-Placental Alkaline Phosphatase Antibody [rALP/870] - BSA and Azide free (A278205).
Synonyms
Alkaline phosphatase, germ cell, Alkaline phosphatase, testicular and thymus, Akp2, Alkaline Phosphatase, Alkaline phosphatase intestinal, Alkaline phosphatase intestinal precursor, Alkaline phosphatase liver/bone/kidney, Alkaline phosphatase liver/bone/kidney isozyme, Alkaline phosphatase placental, Alkaline phosphatase placental like, Alkaline phosphatase placental like 2, Alkaline phosphatase placental type, Alkaline phosphatase tissue nonspecific isozyme, Alkaline phosphatase, liver, Alkaline phosphatase, tissue-nonspecific, Alkaline phosphomonoesterase, ALP, ALP 1, ALP I, ALP L, ALP P, ALPG, Alpi, ALPL, ALPP, ALPPL, ALPPL2, AP TNAP, FLJ40094, GCAP, Germ cell alkaline phosphatase, Glycerophosphatase, HOPS, IAP, Intestinal alkaline phosphatase, Intestinal-type alkaline phosphatase, Kasahara isozyme, Liver/bone/kidney type alkaline phosphatase, Nagao isozyme, OTTHUMP00000164357, Placental like alkaline phosphatase, PLAP, PLAP 1, PLAP like, PPBI_HUMAN, Regan isozyme, Testicular and thymus alkaline phosphatase, Tissue non specific alkaline phosphatase, Tissue nonspecific ALP, TNAP, TNSALP
Disclaimer
This product is for research use only. It is not intended for diagnostic or therapeutic use.
Publishing research using Anti-Placental Alkaline Phosphatase Antibody [rALP/870] (A277617)? Please let us know so that we can list the citation on this page.