ISO 9001:2015 Certified
Live Customer Support
4.5/5 on Trustpilot
100% Quality Guarantee

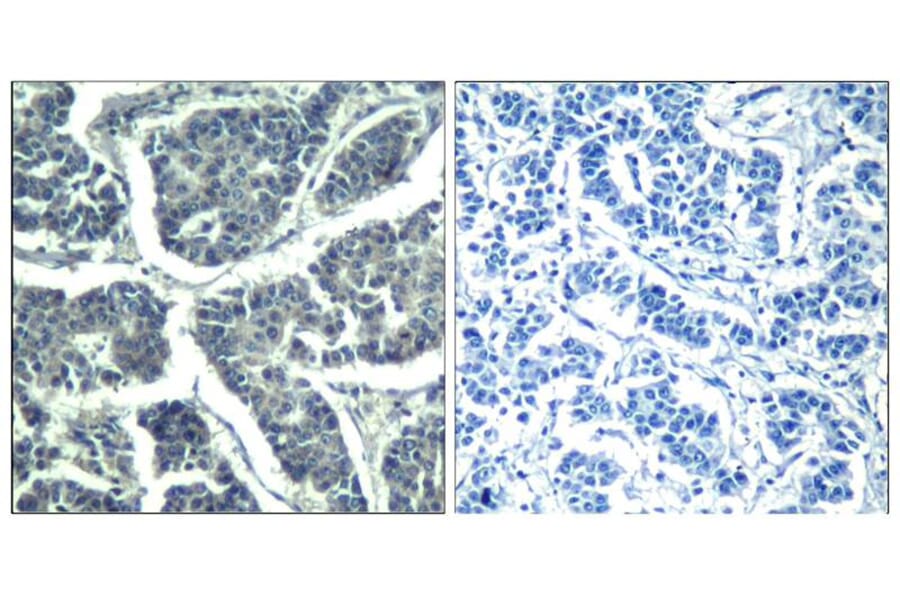
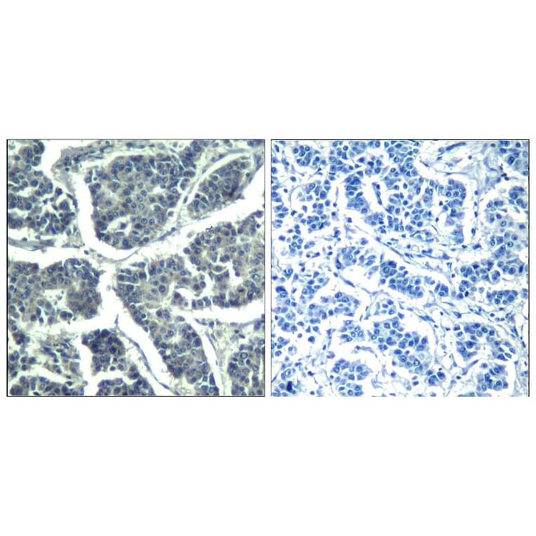
Anti-PLCg2 (phospho-Tyr1217) Antibody (A51428)

$290

Rabbit polyclonal antibody to PLCg2 (phospho-Tyr1217) for IHC.

Shipping Information

$40
Dispatched from St. Louis, MO.
Lead Time: 6-9 business days.
Name
Anti-PLCg2 (phospho-Tyr1217) Antibody
Description
Rabbit polyclonal antibody to PLCg2 (phospho-Tyr1217)
Specificity
The antibody detects endogenous level of PLC-g2 onlywhen phosphorylated at tyrosine 1217.
Applications
IHC
Reactivity
Human, Mouse, Rat
Immunogen
Peptide sequence around phosphorylation site of tyrosine 1217 (F-L-Y(p)-D-T) derived from Human PLCg2.
Host
Rabbit
Clonality
Polyclonal
Conjugate

Unconjugated

Purification
Antibodies were produced by immunizing rabbits with synthetic phosphopeptide and KLH conjugates. Antibodies were purified by affinity-chromatography using epitope-specific phosphopeptide. Non-phospho specific antibodies were removed by chromatogramphy using non-phosphopeptide.
Concentration
1 mg/ml
Formulation
Supplied at 1.0mg / mL in phosphate buffered saline (without Mg2+ and Ca2+), pH 7.4, 150mM NaCl, 0.02% sodium azide and 50% glycerol.
Storage
Store at -20°C for long term preservation (recommended). Store at 4°C for short term use.
Synonyms
1-phosphatidylinositol 4,5-bisphosphate phosphodiesterase gamma-2, Phosphoinositide phospholipase C-gamma-2, Phospholipase C-gamma-2, Phospholipase C-IV, PLC-gamma-2, PLC-IV
Disclaimer
This product is for research use only. It is not intended for diagnostic or therapeutic use.
Publishing research using Anti-PLCg2 (phospho-Tyr1217) Antibody (A51428)? Please let us know so that we can list the citation on this page.

Alternative products to Anti-PLCg2 (phospho-Tyr1217) Antibody (A51428)

Proteins predicted to interact with PLCG2

Predicted protein interactions based upon String database. Revelancy score correlates with probability of interaction.
99.9% Relevancy Score
99.9% Relevancy Score
99.9% Relevancy Score
99.8% Relevancy Score
99.8% Relevancy Score
99.3% Relevancy Score
97.9% Relevancy Score
97.9% Relevancy Score
97.5% Relevancy Score