Western Blot - Anti-PLGF Antibody [ARC0749] (A307653)
Western blot analysis of extracts of Mouse heart cells, using Anti-PLGF Antibody (A307653) at 1:1,000 dilution. The secondary antibody was Goat Anti-Rabbit IgG H&L Antibody (HRP) at 1:10,000 dilution. Lysates/proteins were present at 25µg per lane. The blocking buffer used was 3% non-fat dry milk in TBST. Detection was with a ECL Basic Kit. Exposure time: 180s.
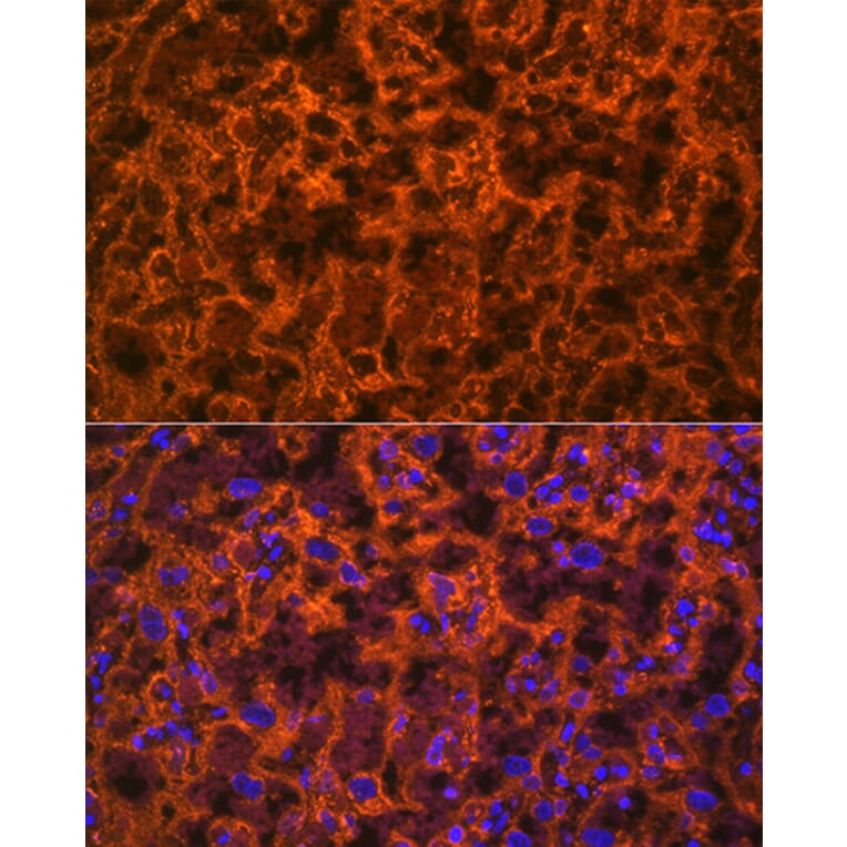
Immunofluorescence analysis of rat placenta using Anti-PLGF Antibody (A307653) at a dilution of 1:100 (40x lens). DAPI was used to stain the cell nuclei (blue).
Immunofluorescence analysis of mouse placenta using Anti-PLGF Antibody (A307653) at a dilution of 1:100 (40x lens). DAPI was used to stain the cell nuclei (blue).
Immunofluorescence analysis of human placenta using Anti-PLGF Antibody (A307653) at a dilution of 1:100 (40x lens). DAPI was used to stain the cell nuclei (blue).
Publishing research using Anti-PLGF Antibody [ARC0749] (A307653)? Please let us know so that we can list the citation on this page.
Alternative products to Anti-PLGF Antibody [ARC0749] (A307653)
Recombinant human monoclonal antibody to PLGF for use as a research grade TB-403 biosimilar for ELISA, Flow Cytometry, Functional Studies and in vivo Research.
Recombinant human monoclonal antibody to PLGF for use as a research grade THR-317 biosimilar for ELISA, Flow Cytometry, Functional Studies and in vivo Research.
Recombinant human monoclonal antibody to PLGF for use as a research grade RO5323441 biosimilar for ELISA, Flow Cytometry, Functional Studies and in vivo Research.
Recombinant human monoclonal antibody to PLGF for use as a research grade TB-403 biosimilar for ELISA, Flow Cytometry, Functional Studies and in vivo Research.
Recombinant human monoclonal antibody to PLGF for use as a research grade THR-317 biosimilar for ELISA, Flow Cytometry, Functional Studies and in vivo Research.
Recombinant human monoclonal antibody to PLGF for use as a research grade RO5323441 biosimilar for ELISA, Flow Cytometry, Functional Studies and in vivo Research.