Primary Antibodies
Secondary Antibodies
Proteins & Peptides
ELISA Kits
About Us
Contact Us
Sign In/Register
0
ISO 9001:2015 Certified
Live Customer Support
4.5/5 on Trustpilot
100% Quality Guarantee
Home
Primary Antibodies
PLK1 Antibodies
Anti-PLK1 (phospho Thr210) Antibody (A93894)
Anti-PLK1 (phospho Thr210) Antibody (A93894)
Overview
Specifications
Images
Enlarge Image
Enlarge Image
$200
Product Datasheet
Rabbit polyclonal antibody to PLK1 (phospho Thr210) for WB, IHC, IF and ELISA.
100% Guarantee
Price Match Guarantee
Product Size:
10µg
100µg
Quantity:
1
2
3
4
5
6
7
8
9
10
Add To Cart
Request a Quotation
Custom or Bulk Request
Shipping Information
Freight/Packing Charges:
$40
Dispatched from St. Louis, MO.
Lead Time: 6-8 business days.
Specifications
Name
Anti-PLK1 (phospho Thr210) Antibody
Description
Rabbit polyclonal antibody to PLK1 (phospho Thr210).
Specificity
This antibody detects endogenous levels of PLK1 only when phosphorylated at Thr210.
Applications
WB
,
IHC
,
IF
,
ELISA
Dilutions
IHC: 1:50~1:100, ELISA: 1:1000
Reactivity
Human, Mouse, Rat
Cross Reactivity
No reported cross-reactivity.
Immunogen
Synthetic peptide derived from human PLK1 around the phosphorylation site of Thr210 (amino acids 176-225).
Host
Rabbit
Clonality
Polyclonal
Isotype
IgG
Conjugate
Unconjugated
Purification
Purified from rabbit serum by antigen affinity chromatography using the immunizing phospho peptide.
Molecular Weight
68kDa
Product Form
Liquid
Formulation
Supplied in Phosphate Buffered Saline (without Mg2+ and Ca2+), pH 7.4, with 150mM NaCl, 0.02% Sodium Azide, and 50% Glycerol.
Storage
Shipped at 4°C. Upon delivery aliquot and store at -20°C. Avoid freeze / thaw cycles.
Synonyms
PLK, PLK-1, Polo-like kinase 1, Serine/threonine-protein kinase 13, Serine/threonine-protein kinase PLK1, STPK13
Isotype Controls
Rabbit IgG (A82272)
Rabbit IgG (A17360)
Suitable Secondaries
Goat Anti-Rabbit IgG H&L Antibody (AP) (A294874)
Goat Anti-Rabbit IgG H&L Antibody (Biotin) (A294795)
Goat Anti-Rabbit IgG H&L Antibody (FITC) (A294887)
Goat Anti-Rabbit IgG H&L Antibody (HRP) (A294888)
See all Anti-Rabbit IgG Secondaries →
Disclaimer
This product is for research use only. It is not intended for diagnostic or therapeutic use.
Scientific Validation Data
Validation Data
(2)
Enlarge Image
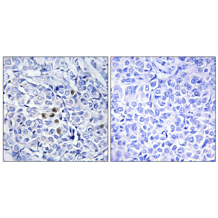
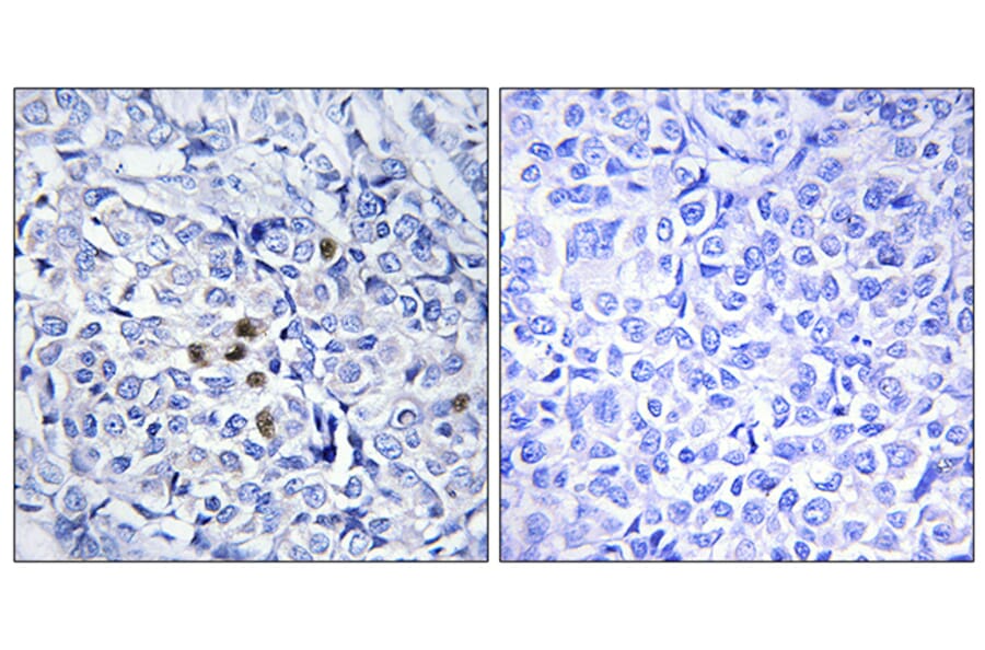
Immunohistochemistry - Anti-PLK1 (phospho Thr210) Antibody (A93894)
Immunohistochemical analysis of paraffin-embedded human breast carcinoma using Anti-PLK1 (phospho Thr210) Antibody. The right hand panel represents a negative control, where the antibody was pre-incubated with the immunising peptide.
Enlarge Image
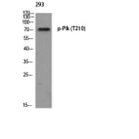
Western Blot - Anti-PLK1 (phospho Thr210) Antibody (A93894)
Western blot analysis of 293 using Anti-PLK1 (phospho Thr210) Antibody.
Publishing research using Anti-PLK1 (phospho Thr210) Antibody (A93894)? Please
let us know
so that we can list the citation on this page.
Alternative products to Anti-PLK1 (phospho Thr210) Antibody (A93894)
(4)
A35529
Anti-PLK1 Antibody
Rabbit polyclonal antibody to PLK1 for WB, IHC and ICC/IF.
(2)
A96371
Anti-PLK1 Antibody
Rabbit polyclonal antibody to PLK1 for WB, IHC, IF and ELISA.
(2)
A306404
Anti-PLK1 Antibody [ARC52311]
Rabbit monoclonal [ARC52311] antibody to PLK1 for WB.
A50336
Anti-Plk (Phospho-Thr210) Antibody
Rabbit polyclonal antibody to Plk (Phospho-Thr210) for ELISA, WB and IHC.
A94020
Anti-PLK1 (phospho Ser137) Antibody
Rabbit polyclonal antibody to PLK1 (phospho Ser137) for WB, IF, ELISA and IHC.
A51181
Anti-PLK1 (Phospho-Ser137) Antibody
Rabbit polyclonal antibody to PLK1 (Phospho-Ser137) for WB.
A85042
Anti-PLK1 Antibody
Goat polyclonal antibody to PLK1 for ELISA and WB.
A252287
Anti-PLK1 Antibody [AZ44] - BSA and Azide free
Mouse monoclonal [AZ44] antibody to PLK1 for ELISA and WB.
A347875
Anti-PLK1 (phospho Thr210) Antibody [23GB4090]
Recombinant rabbit monoclonal [23GB4090] antibody to PLK1 (phospho Thr210) for WB and ICC/IF.
A85041
Anti-PLK1 Antibody
Goat polyclonal antibody to PLK1 for ELISA and WB.
A249107
Anti-PLK1 Antibody [AZ44]
Mouse monoclonal [AZ44] antibody to PLK1 for ELISA and WB.
A306423
Anti-PLK1 (phospho Thr210) Antibody [ARC1570]
Rabbit monoclonal [ARC1570] antibody to PLK1 (phospho Thr210) for WB.
(4)
A35529
Anti-PLK1 Antibody
Rabbit polyclonal antibody to PLK1 for WB, IHC and ICC/IF.
(2)
A96371
Anti-PLK1 Antibody
Rabbit polyclonal antibody to PLK1 for WB, IHC, IF and ELISA.
(2)
A306404
Anti-PLK1 Antibody [ARC52311]
Rabbit monoclonal [ARC52311] antibody to PLK1 for WB.
A50336
Anti-Plk (Phospho-Thr210) Antibody
Rabbit polyclonal antibody to Plk (Phospho-Thr210) for ELISA, WB and IHC.
A94020
Anti-PLK1 (phospho Ser137) Antibody
Rabbit polyclonal antibody to PLK1 (phospho Ser137) for WB, IF, ELISA and IHC.
A51181
Anti-PLK1 (Phospho-Ser137) Antibody
Rabbit polyclonal antibody to PLK1 (Phospho-Ser137) for WB.
A85042
Anti-PLK1 Antibody
Goat polyclonal antibody to PLK1 for ELISA and WB.
A252287
Anti-PLK1 Antibody [AZ44] - BSA and Azide free
Mouse monoclonal [AZ44] antibody to PLK1 for ELISA and WB.
A347875
Anti-PLK1 (phospho Thr210) Antibody [23GB4090]
Recombinant rabbit monoclonal [23GB4090] antibody to PLK1 (phospho Thr210) for WB and ICC/IF.
A85041
Anti-PLK1 Antibody
Goat polyclonal antibody to PLK1 for ELISA and WB.
A249107
Anti-PLK1 Antibody [AZ44]
Mouse monoclonal [AZ44] antibody to PLK1 for ELISA and WB.
A306423
Anti-PLK1 (phospho Thr210) Antibody [ARC1570]
Rabbit monoclonal [ARC1570] antibody to PLK1 (phospho Thr210) for WB.
See all PLK1 Antibodies
Proteins predicted to interact with PLK1
Predicted protein interactions based upon String database. Revelancy score correlates with probability of interaction.
Cyclin B1 Antibodies
99.9% Relevancy Score
CDC20 Antibodies
99.9% Relevancy Score
BubR1 Antibodies
99.9% Relevancy Score
CDC25C Antibodies
99.9% Relevancy Score
FZR1 Antibodies
99.9% Relevancy Score
PICH Antibodies
99.8% Relevancy Score
Bora Antibodies
99.7% Relevancy Score
Aurora A Antibodies
99.7% Relevancy Score
Bub1 Antibodies
99.6% Relevancy Score
Top