Primary Antibodies
Secondary Antibodies
Proteins & Peptides
ELISA Kits
About Us
Contact Us
Sign In/Register
0
ISO 9001:2015 Certified
Live Customer Support
4.5/5 on Trustpilot
100% Quality Guarantee
Home
Primary Antibodies
Noxa Antibodies
Anti-PMAIP1 Antibody (A45471)
Anti-PMAIP1 Antibody (A45471)
Overview
Specifications
Images
Enlarge Image
Enlarge Image
$405
Rabbit polyclonal antibody to PMAIP1 for IHC.
100% Guarantee
Price Match Guarantee
Product Size:
100µl
Quantity:
1
2
3
4
5
6
7
8
9
10
Add To Cart
Request a Quotation
Custom or Bulk Request
Shipping Information
Freight/Packing Charges:
$40
Dispatched from St. Louis, MO.
Lead Time: 6-9 business days.
Specifications
Name
Anti-PMAIP1 Antibody
Description
Rabbit polyclonal antibody to PMAIP1
Specificity
The antibody detects endogenous levels of total PMAIP1 protein.
Applications
IHC
Reactivity
Human
Immunogen
Full length fusion protein
Host
Rabbit
Clonality
Polyclonal
Conjugate
Unconjugated
Purification
Antigen affinity purification.
Concentration
2.1 mg/ml
Formulation
Rabbit IgG in pH7.3 PBS, 0.05% NaN3, 50% Glycerol.
Storage
Store at -20˚C
Synonyms
Immediate-early-response protein APR, Phorbol-12-myristate-13-acetate-induced protein 1, PMA-induced protein 1, Protein Noxa
Suitable Secondaries
Goat Anti-Rabbit IgG H&L Antibody (AP) (A294874)
Goat Anti-Rabbit IgG H&L Antibody (Biotin) (A294795)
Goat Anti-Rabbit IgG H&L Antibody (FITC) (A294887)
Goat Anti-Rabbit IgG H&L Antibody (HRP) (A294888)
See all Anti-Rabbit IgG Secondaries →
Disclaimer
This product is for research use only. It is not intended for diagnostic or therapeutic use.
Scientific Validation Data
Validation Data
(2)
Enlarge Image
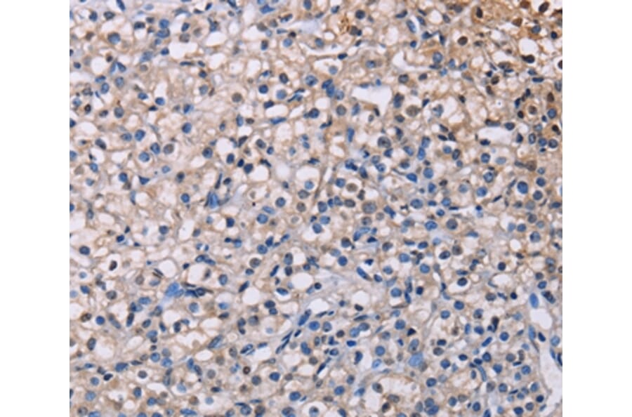
Immunohistochemistry - Anti-PMAIP1 Antibody (A45471)
Immunohistochemical analysis of paraffin-embedded Human liver cancer tissue using #36657 at dilution 1/50.
Enlarge Image
Immunohistochemistry - Anti-PMAIP1 Antibody (A45471)
Immunohistochemical analysis of paraffin-embedded Human prostate cancer tissue using #36657 at dilution 1/50.
Publishing research using Anti-PMAIP1 Antibody (A45471)? Please
let us know
so that we can list the citation on this page.
Alternative products to Anti-PMAIP1 Antibody (A45471)
(4)
A10802
Anti-Noxa Antibody
Rabbit polyclonal antibody to Noxa for WB and ICC/IF.
(2)
A48303
Anti-Noxa Antibody
Rabbit polyclonal antibody to Noxa for E, WB and IHC.
(3)
A84630
Anti-Noxa Antibody
Goat polyclonal antibody to Noxa for ELISA and WB.
A320086
Anti-Noxa Antibody
Goat polyclonal antibody to Noxa for WB and ELISA.
(4)
A10802
Anti-Noxa Antibody
Rabbit polyclonal antibody to Noxa for WB and ICC/IF.
(2)
A48303
Anti-Noxa Antibody
Rabbit polyclonal antibody to Noxa for E, WB and IHC.
(3)
A84630
Anti-Noxa Antibody
Goat polyclonal antibody to Noxa for ELISA and WB.
A320086
Anti-Noxa Antibody
Goat polyclonal antibody to Noxa for WB and ELISA.
Proteins predicted to interact with Noxa
Predicted protein interactions based upon String database. Revelancy score correlates with probability of interaction.
MCL1 Antibodies
99.9% Relevancy Score
BclXL Antibodies
99.9% Relevancy Score
Bcl-2 Antibodies
99.9% Relevancy Score
BCL2A1 Antibodies
99.9% Relevancy Score
Bcl-w Antibodies
99.8% Relevancy Score
Bim Antibodies
99.6% Relevancy Score
PUMA Antibodies
98.7% Relevancy Score
p53 Antibodies
97% Relevancy Score
BID Antibodies
95.8% Relevancy Score
Top