ISO 9001:2015 Certified
Live Customer Support
4.5/5 on Trustpilot
100% Quality Guarantee

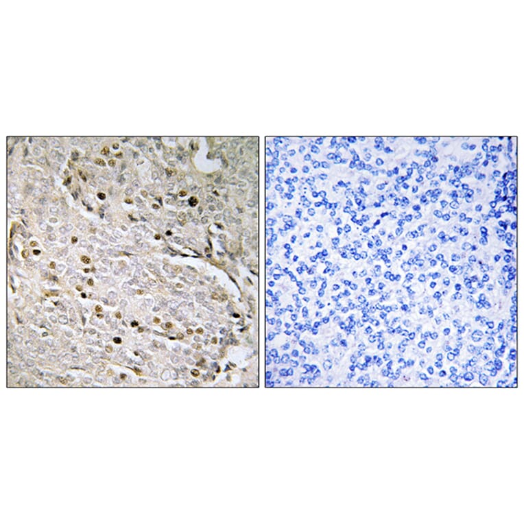
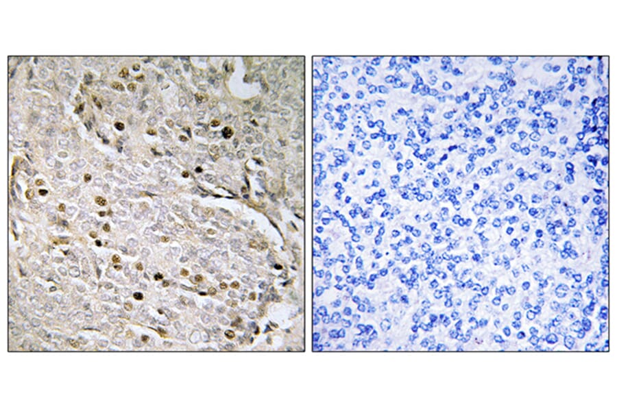
Anti-POTE8 Antibody (A100647)

Rabbit polyclonal antibody to POTE8 for IHC, IF and ELISA.

Shipping Information

$40
Dispatched from St. Louis, MO.
Lead Time: 6-8 business days.
Name
Anti-POTE8 Antibody
Description
Rabbit polyclonal antibody to POTE8.
Applications
IHC, IF, ELISA
Dilutions
IHC: 1:50~1:100, ELISA: 1:5000
Reactivity
Human, Rat, Mouse
Cross Reactivity
No reported cross-reactivity.
Immunogen
Synthetic peptide derived from human POTEA (amino acids 375-424).
Host
Rabbit
Clonality
Polyclonal
Isotype
IgG
Conjugate

Unconjugated

Purification
Purified from rabbit serum by antigen affinity chromatography using the immunizing peptide.
Molecular Weight
56kDa
Product Form
Liquid
Formulation
Supplied in Phosphate Buffered Saline (without Mg2+ and Ca2+), pH 7.4, with 150mM NaCl, 0.02% Sodium Azide, and 50% Glycerol.
Storage
Shipped at 4°C. Upon delivery aliquot and store at -20°C. Avoid freeze / thaw cycles.
Synonyms
A26A1, ANKRD26-like family A member 1, POTE ankyrin domain family member A, POTE-8, POTE8, Prostate, ovary, testis-expressed protein on chromosome 8
Disclaimer
This product is for research use only. It is not intended for diagnostic or therapeutic use.
Publishing research using Anti-POTE8 Antibody (A100647)? Please let us know so that we can list the citation on this page.

Alternative products to Anti-POTE8 Antibody (A100647)