Primary Antibodies
Secondary Antibodies
Proteins & Peptides
ELISA Kits
About Us
Contact Us
Sign In/Register
0
ISO 9001:2015 Certified
Live Customer Support
4.5/5 on Trustpilot
100% Quality Guarantee
Home
Primary Antibodies
OCT4 Antibodies
Anti-POU5F1 Antibody (A47638)
Anti-POU5F1 Antibody (A47638)
Overview
Specifications
Images
Enlarge Image
Enlarge Image
$780
Product Datasheet
Rabbit polyclonal antibody to POU5F1 for ELISA, WB and IHC.
100% Guarantee
Price Match Guarantee
Product Size:
100µl
Quantity:
1
2
3
4
5
6
7
8
9
10
Add To Cart
Request a Quotation
Custom or Bulk Request
Shipping Information
Freight/Packing Charges:
$40
Dispatched from St. Louis, MO.
Lead Time: 6-9 business days.
Tags:
iPSCs Marker
Specifications
Name
Anti-POU5F1 Antibody
Description
Rabbit polyclonal antibody to POU5F1
Applications
ELISA
,
WB
,
IHC
Reactivity
Human, Mouse, Rat
Immunogen
Raised against a 14 amino acid peptide near the carboxy terminus of human POU5F1.
Host
Rabbit
Clonality
Polyclonal
Conjugate
Unconjugated
Purification
Affinity chromatography purified via peptide column
Formulation
Supplied in phosphate-buffered saline with 0.02% Sodium Azide.
Storage
Shipped at 4°C. Upon delivery aliquot and store at -20°C. Avoid freeze/thaw cycles.
Synonyms
Oct-3, OCT3, Octamer-binding protein 3, Octamer-binding protein 4, Octamer-binding transcription factor 3, OTF-3, OTF3, POU domain, class 5, transcription factor 1
Suitable Secondaries
Goat Anti-Rabbit IgG H&L Antibody (AP) (A294874)
Goat Anti-Rabbit IgG H&L Antibody (Biotin) (A294795)
Goat Anti-Rabbit IgG H&L Antibody (FITC) (A294887)
Goat Anti-Rabbit IgG H&L Antibody (HRP) (A294888)
See all Anti-Rabbit IgG Secondaries →
Disclaimer
This product is for research use only. It is not intended for diagnostic or therapeutic use.
Scientific Validation Data
Validation Data
(2)
Enlarge Image
Anti-POU5F1 Antibody (A47638)
Western blot analysis of POU5F1 in mouse liver tissue lysate with POU5F1 antibody at 1 µg/mL in (A) the absence and (B) the presence of blocking peptide.
Enlarge Image
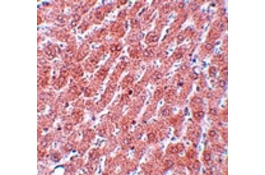
Immunohistochemistry - Anti-POU5F1 Antibody (A47638)
Immunohistochemistry of POU5F1 in rat liver tissue with POU5F1 antibody at 5 µg/mL.
Publishing research using Anti-POU5F1 Antibody (A47638)? Please
let us know
so that we can list the citation on this page.
Alternative products to Anti-POU5F1 Antibody (A47638)
(4)
A95939
Anti-OCT3 Antibody
Rabbit polyclonal antibody to 37895 for WB, IHC, IF and ELISA.
(2)
A15976
Anti-Oct4 Antibody
Rabbit polyclonal antibody to 38261 for WB and IHC.
(2)
A84815
Anti-Oct4 Antibody
Goat polyclonal antibody to Oct4 for ELISA and WB.
(3)
A40157
Anti-POU5F1 Antibody
Mouse monoclonal antibody to POU5F1 for WB, ICC/IF and Flow Cytometry.
(2)
A83342
Anti-Oct4 Antibody
Goat polyclonal antibody to Oct4 for ELISA and WB.
(2)
A37166
Anti-POU5F1 Antibody
Rabbit polyclonal antibody to POU5F1 for WB and IHC.
(2)
A43809
Anti-OCT4 Antibody
Rabbit polyclonal antibody to OCT4 for WB.
A347782
Anti-Oct4 Antibody [24GB1425]
Recombinant rabbit monoclonal [24GB1425] antibody to Oct4 for WB, Flow Cytometry and ICC/IF.
A784
Anti-OCT4 Antibody
Mouse monoclonal (N65 ) antibody to OCT4 for WB and ICC.
A324487
Anti-Oct4 Antibody [IHC643]
Mouse monoclonal [IHC643] antibody to Oct4 for IHC-P.
A40932
Anti-POU domain, class 5, transcription factor 1 Antibody
Rabbit polyclonal antibody to POU domain, class 5, transcription factor 1 for WB.
A315425
Anti-OCT4 Antibody [OCT4/8098R]
Recombinant rabbit monoclonal [OCT4/8098R] antibody to OCT4 for IHC-P.
(4)
A95939
Anti-OCT3 Antibody
Rabbit polyclonal antibody to 37895 for WB, IHC, IF and ELISA.
(2)
A15976
Anti-Oct4 Antibody
Rabbit polyclonal antibody to 38261 for WB and IHC.
(2)
A84815
Anti-Oct4 Antibody
Goat polyclonal antibody to Oct4 for ELISA and WB.
(3)
A40157
Anti-POU5F1 Antibody
Mouse monoclonal antibody to POU5F1 for WB, ICC/IF and Flow Cytometry.
(2)
A83342
Anti-Oct4 Antibody
Goat polyclonal antibody to Oct4 for ELISA and WB.
(2)
A37166
Anti-POU5F1 Antibody
Rabbit polyclonal antibody to POU5F1 for WB and IHC.
(2)
A43809
Anti-OCT4 Antibody
Rabbit polyclonal antibody to OCT4 for WB.
A347782
Anti-Oct4 Antibody [24GB1425]
Recombinant rabbit monoclonal [24GB1425] antibody to Oct4 for WB, Flow Cytometry and ICC/IF.
A784
Anti-OCT4 Antibody
Mouse monoclonal (N65 ) antibody to OCT4 for WB and ICC.
A324487
Anti-Oct4 Antibody [IHC643]
Mouse monoclonal [IHC643] antibody to Oct4 for IHC-P.
A40932
Anti-POU domain, class 5, transcription factor 1 Antibody
Rabbit polyclonal antibody to POU domain, class 5, transcription factor 1 for WB.
A315425
Anti-OCT4 Antibody [OCT4/8098R]
Recombinant rabbit monoclonal [OCT4/8098R] antibody to OCT4 for IHC-P.
See all POU5F1 Antibodies
Proteins predicted to interact with OCT4
Predicted protein interactions based upon String database. Revelancy score correlates with probability of interaction.
beta Catenin Antibodies
99.9% Relevancy Score
SOX2 Antibodies
99.9% Relevancy Score
Nanog Antibodies
99.9% Relevancy Score
SALL4 Antibodies
99.8% Relevancy Score
KLF4 Antibodies
99.4% Relevancy Score
LIN28A Antibodies
99.4% Relevancy Score
WDR5 Antibodies
99.1% Relevancy Score
SOX17 Antibodies
98.8% Relevancy Score
PRDM14 Antibodies
97.2% Relevancy Score
Top