Western Blot - Anti-PP2A alpha + PP2A beta Antibody (A82455)
PP2A alpha + PP2A beta expression in Human Cerebellum lysate analyzed by western blot. Cells were lysed in RIPA buffer and 35µg protein was run per lane. Primary antibody incubation was performed with Anti-PP2A alpha + PP2A beta Antibody (A82455) at 0.1µg/ml and detected by chemiluminescence.
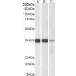
Western Blot - Anti-PP2A alpha + PP2A beta Antibody (A82455)
PP2A alpha + PP2A beta expression in Mouse (A), Rat (B) and Pig (C) Brain lysates analyzed by western blot. Cells were lysed in RIPA buffer and 35µg protein was run per lane. Primary antibody incubation was performed with Anti-PP2A alpha + PP2A beta Antibody (A82455) at 0.03µg/ml and detected by chemiluminescence.
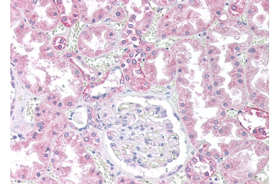
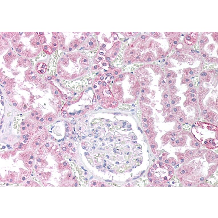
PP2A alpha + PP2A beta expression in Human Kidney analyzed by immunohistochemistry. Tissue was paraffin-embedded, and antigen retrieval was achieved by steaming in citrate buffer, pH 6. Staining was performed with Anti-PP2A alpha + PP2A beta Antibody (A82455) at 10µg/ml and revealed with alkaline phosphatase (AP).
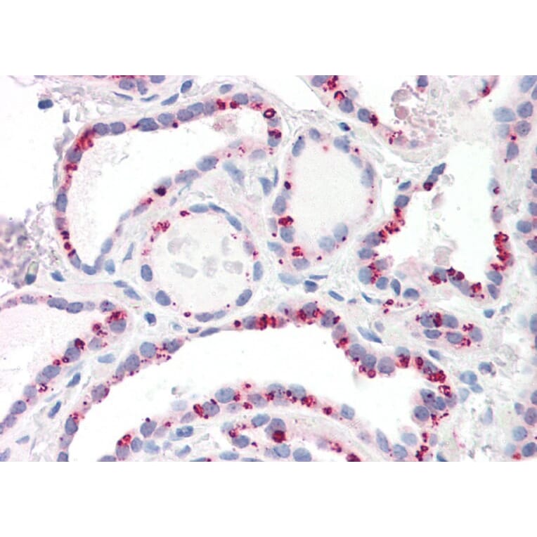
PP2A alpha + PP2A beta expression in Human Thyroid analyzed by immunohistochemistry. Tissue was paraffin-embedded, and antigen retrieval was achieved by steaming in citrate buffer, pH 6. Staining was performed with Anti-PP2A alpha + PP2A beta Antibody (A82455) at 10µg/ml and revealed with alkaline phosphatase (AP).
Publishing research using Anti-PP2A alpha + PP2A beta Antibody (A82455)? Please let us know so that we can list the citation on this page.