ISO 9001:2015 Certified
Live Customer Support
4.5/5 on Trustpilot
100% Quality Guarantee

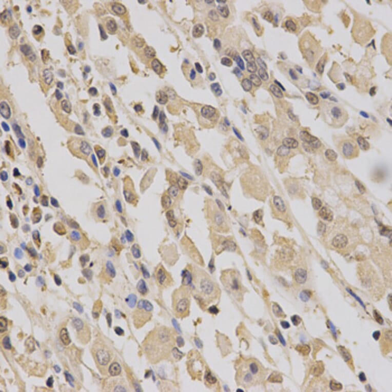
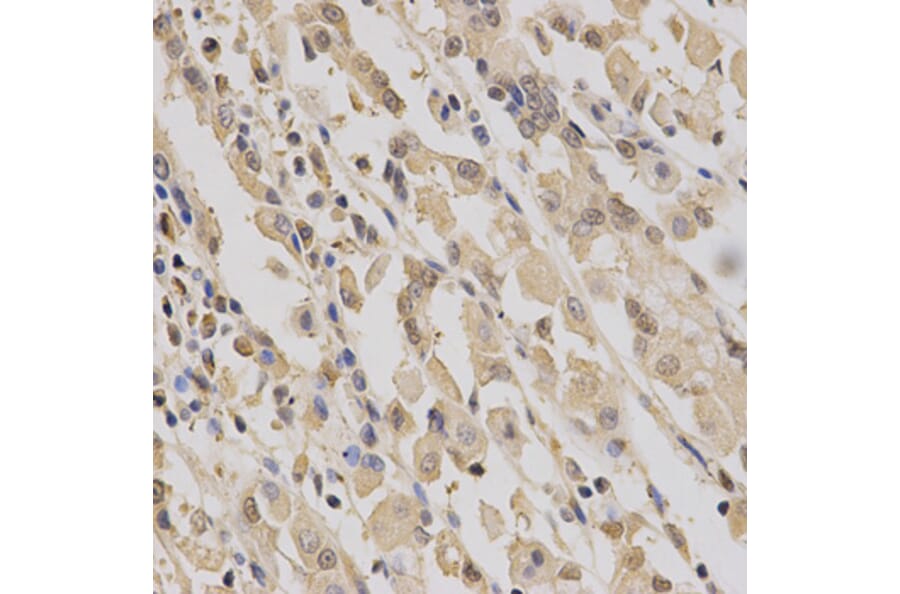
Anti-PPA1 Antibody (A29952)

$435

Rabbit polyclonal antibody to PPA1 for WB and IHC.

Shipping Information

$40
Dispatched from St. Louis, MO.
Lead Time: 7-10 business days.
Name
Anti-PPA1 Antibody
Description
Rabbit polyclonal antibody to PPA1
Specificity
PPA1 pAb detects endogenous levels of PPA1 protein.
Applications
WB, IHC
Reactivity
Human, Mouse, Rat
Immunogen
Recombinant full length Human PPA1.
Host
Rabbit
Clonality
Polyclonal
Conjugate

Unconjugated

Molecular Weight
~ 32 kDa
Purity
The antibody was affinity-purified from rabbit antiserum by affinity-chromatography using epitope-specific immunogen and the purity is > 95% (by SDS-PAGE).
Product Form
1mg/ml in PBS with 0.1% Sodium Azide, 50% Glycerol.
Synonyms
Inorganic pyrophosphatase, IOPPP, PP, PPase, Pyrophosphate phospho-hydrolase
Disclaimer
This product is for research use only. It is not intended for diagnostic or therapeutic use.
Publishing research using Anti-PPA1 Antibody (A29952)? Please let us know so that we can list the citation on this page.

Alternative products to Anti-PPA1 Antibody (A29952)

Proteins predicted to interact with PPA1

Predicted protein interactions based upon String database. Revelancy score correlates with probability of interaction.
96.1% Relevancy Score
94.4% Relevancy Score
91.6% Relevancy Score
91.1% Relevancy Score
85.4% Relevancy Score
84.3% Relevancy Score
84.2% Relevancy Score
83.9% Relevancy Score
81.4% Relevancy Score