Primary Antibodies
Secondary Antibodies
Proteins & Peptides
ELISA Kits
About Us
Contact Us
Sign In/Register
0
ISO 9001:2015 Certified
Live Customer Support
4.5/5 on Trustpilot
100% Quality Guarantee
Home
Primary Antibodies
ASPP1 Antibodies
Anti-PPP1R13B Antibody (A44999)
Anti-PPP1R13B Antibody (A44999)
Overview
Specifications
Images
Enlarge Image
$405
Rabbit polyclonal antibody to PPP1R13B for IHC.
100% Guarantee
Price Match Guarantee
Product Size:
100µl
Quantity:
1
2
3
4
5
6
7
8
9
10
Add To Cart
Request a Quotation
Custom or Bulk Request
Shipping Information
Freight/Packing Charges:
$40
Dispatched from St. Louis, MO.
Lead Time: 6-9 business days.
Specifications
Name
Anti-PPP1R13B Antibody
Description
Rabbit polyclonal antibody to PPP1R13B
Specificity
The antibody detects endogenous levels of total PPP1R13B protein.
Applications
IHC
Reactivity
Human
Immunogen
Synthetic peptide corresponding to a region derived from internal residues of human Apoptosis-stimulating of p53 protein 1
Host
Rabbit
Clonality
Polyclonal
Conjugate
Unconjugated
Purification
Antigen affinity purification.
Concentration
2 mg/ml
Formulation
Rabbit IgG in pH7.3 PBS, 0.05% NaN3, 50% Glycerol.
Storage
Store at -20˚C
Synonyms
Apoptosis-stimulating of p53 protein 1, KIAA0771, Protein phosphatase 1 regulatory subunit 13B
Suitable Secondaries
Goat Anti-Rabbit IgG H&L Antibody (AP) (A294874)
Goat Anti-Rabbit IgG H&L Antibody (Biotin) (A294795)
Goat Anti-Rabbit IgG H&L Antibody (FITC) (A294887)
Goat Anti-Rabbit IgG H&L Antibody (HRP) (A294888)
See all Anti-Rabbit IgG Secondaries →
Disclaimer
This product is for research use only. It is not intended for diagnostic or therapeutic use.
Scientific Validation Data
Validation Data
(1)
Enlarge Image
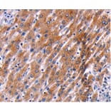
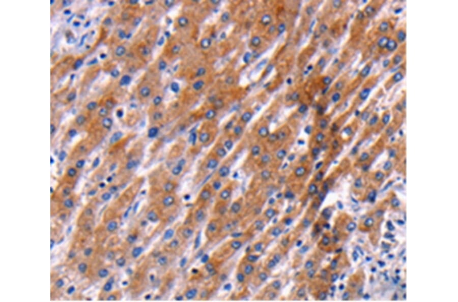
Immunohistochemistry - Anti-PPP1R13B Antibody (A44999)
Immunohistochemical analysis of paraffin-embedded Human liver cancer tissue using #36764 at dilution 1/35.
Publishing research using Anti-PPP1R13B Antibody (A44999)? Please
let us know
so that we can list the citation on this page.
Alternative products to Anti-PPP1R13B Antibody (A44999)
A28927
Anti-PPP1R13B Antibody
Rabbit polyclonal antibody to PPP1R13B for WB.
A29005
Anti-PPP1R13B Antibody
Rabbit polyclonal antibody to PPP1R13B for WB.
A28927
Anti-PPP1R13B Antibody
Rabbit polyclonal antibody to PPP1R13B for WB.
A29005
Anti-PPP1R13B Antibody
Rabbit polyclonal antibody to PPP1R13B for WB.
Proteins predicted to interact with ASPP1
Predicted protein interactions based upon String database. Revelancy score correlates with probability of interaction.
p53 Antibodies
98.6% Relevancy Score
PPP1CA Antibodies
93.8% Relevancy Score
RASSF8 Antibodies
92.4% Relevancy Score
RASSF7 Antibodies
91.9% Relevancy Score
HIF1AN Antibodies
90.1% Relevancy Score
PP1C gamma Antibodies
87% Relevancy Score
PPP1CB Antibodies
73.8% Relevancy Score
p73 Antibodies
72.8% Relevancy Score
53BP2 Antibodies
72.6% Relevancy Score
Top