ISO 9001:2015 Certified
Live Customer Support
4.5/5 on Trustpilot
100% Quality Guarantee

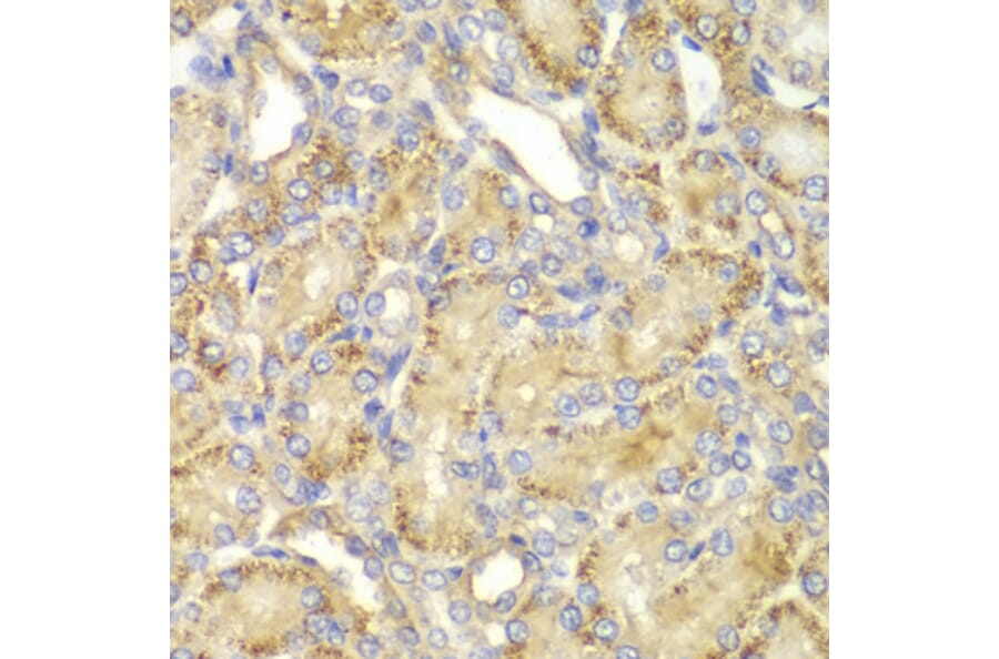
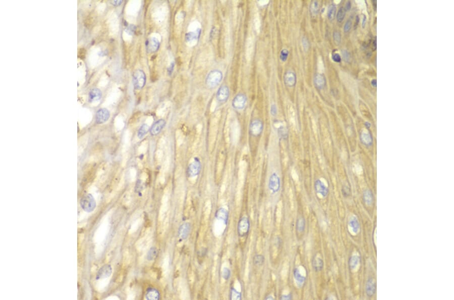
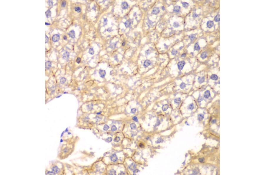
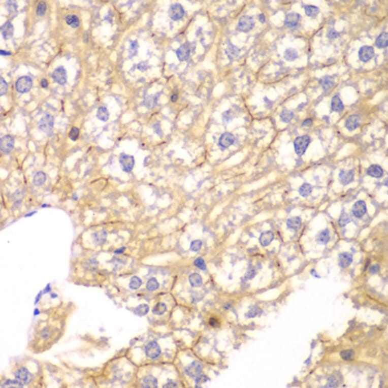
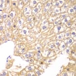
Anti-PPP2R2A Antibody (A13939)

Rabbit polyclonal antibody to PPP2R2A for WB and IHC.

Shipping Information

$40
Dispatched from St. Louis, MO.
Lead Time: 7-10 business days.
Name
Anti-PPP2R2A Antibody
Description
Rabbit polyclonal antibody to PPP2R2A.
Applications
WB, IHC
Dilutions
WB: 1:500-1:2,000, IHC: 1:50-1:200
Reactivity
Human, Mouse, Rat
Immunogen
Recombinant fusion protein containing a sequence corresponding to amino acids 1-447 of human PP2A-B55a/PR55a/PPP2R2A (NP_002708.1).
Sequence
MAGAGGGNDIQWCFSQVKGAVDDDVAEADIISTVEFNHSGELLATGDKGGRVVIFQQEQENKIQSHSRGEYNVYSTFQSHEPEFDYLKSLEIEEKINKIRWLPQKNAAQFLLSTNDKTIKLWKISERDKRPEGYNLKEEDGRYRDPTTVTTLRVPVFRPMDLMVEASPRRIFANAHTYHINSISINSDYETYLSADDLRINLWHLEITDRSFNIVDIKPANMEELTEVITAAEFHPNSCNTFVYSSSKGTIRLCDMRASALCDRHSKLFEEPEDPSNRSFFSEIISSISDVKFSHSGRYMMTRDYLSVKIWDLNMENRPVETYQVHEYLRSKLCSLYENDCIFDKFECCWNGSDSVVMTGSYNNFFRMFDRNTKRDITLEASRENNKPRTVLKPRKVCASGKRKKDEISVDSLDFNKKILHTAWHPKENIIAVATTNNLYIFQDKVN
Host
Rabbit
Clonality
Polyclonal
Isotype
IgG
Conjugate

Unconjugated

Purification
Affinity purification.
Concentration
Lot Specific
Molecular Weight
52 kDa
Product Form
Liquid
Formulation
Supplied in Phosphate Buffered Saline, pH 7.3, with 50% Glycerol and 0.02% Sodium Azide.
Storage
Shipped at 4°C. Upon delivery aliquot and store at -20°C. Avoid freeze/thaw cycles.
Synonyms
PP2A subunit B isoform alpha, PP2A subunit B isoform B55-alpha, PP2A subunit B isoform PR55-alpha, PP2A subunit B isoform R2-alpha, Serine/threonine-protein phosphatase 2A 55 kDa regulatory subunit B alpha isoform
Disclaimer
This product is for research use only. It is not intended for diagnostic or therapeutic use.
Publishing research using Anti-PPP2R2A Antibody (A13939)? Please let us know so that we can list the citation on this page.

Alternative products to Anti-PPP2R2A Antibody (A13939)

Proteins predicted to interact with PPP2R2A

Predicted protein interactions based upon String database. Revelancy score correlates with probability of interaction.
99.9% Relevancy Score
99.9% Relevancy Score
99.9% Relevancy Score
99.9% Relevancy Score
99.5% Relevancy Score
99.3% Relevancy Score
98% Relevancy Score
97.2% Relevancy Score
96.7% Relevancy Score