ISO 9001:2015 Certified
Live Customer Support
4.5/5 on Trustpilot
100% Quality Guarantee

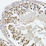
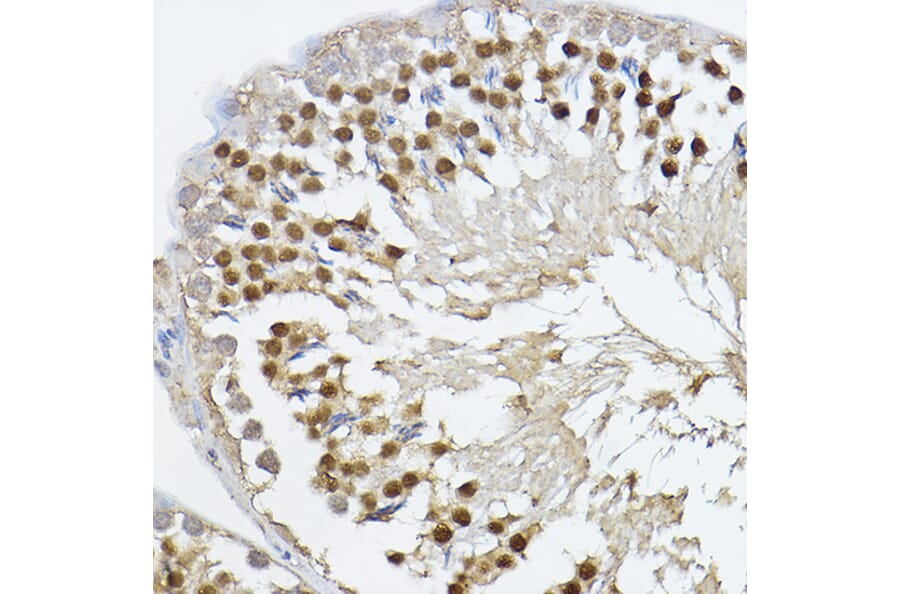
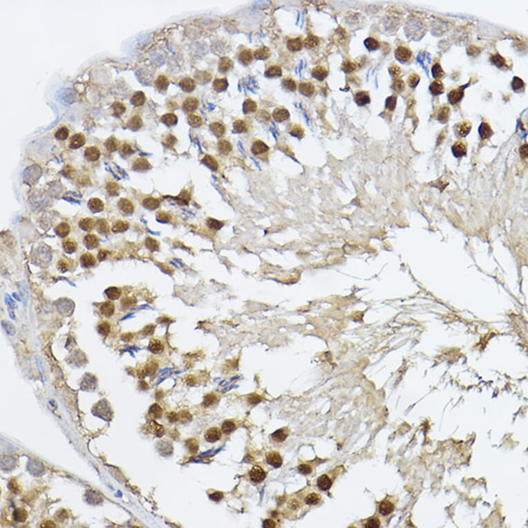
Anti-PRDM14 Antibody (A14825)

Rabbit polyclonal antibody to PRDM14 for WB, IHC, IP and ChIP.

Shipping Information

$40
Dispatched from St. Louis, MO.
Lead Time: 7-10 business days.
Name
Anti-PRDM14 Antibody
Description
Rabbit polyclonal antibody to PRDM14.
Applications
WB, IHC, IP, ChIP
Dilutions
WB: 1:500-1:1,000, IHC: 1:50-1:200, IP: 1:20-1:100, ChIP: 1:20-1:100
Reactivity
Human, Mouse, Rat
Immunogen
Recombinant fusion protein containing a sequence corresponding to amino acids 1-260 of human PRDM14 (NP_078780.1).
Sequence
MALPRPSEAVPQDKVCYPPESSPQNLAAYYTPFPSYGHYRNSLATVEEDFQPFRQLEAAASAAPAMPPFPFRMAPPLLSPGLGLQREPLYDLPWYSKLPPWYPIPHVPREVPPFLSSSHEYAGASSEDLGHQIIGGDNESGPCCGPDTLIPPPPADASLLPEGLRTSQLLPCSPSKQSEDGPKPSNQEGKSPARFQFTEEDLHFVLYGVTPSLEHPASLHHAISGLLVPPDSSGSDSLPQTLDKDSLQLPEGLCLMQTVF
Host
Rabbit
Clonality
Polyclonal
Isotype
IgG
Conjugate

Unconjugated

Purification
Affinity purification.
Concentration
Lot Specific
Molecular Weight
70 kDa
Product Form
Liquid
Formulation
Supplied in Phosphate Buffered Saline, pH 7.3, with 50% Glycerol and 0.01% Thiomersal.
Storage
Shipped at 4°C. Upon delivery aliquot and store at -20°C. Avoid freeze/thaw cycles.
Synonyms
PR domain zinc finger protein 14, PR domain-containing protein 14
Disclaimer
This product is for research use only. It is not intended for diagnostic or therapeutic use.
Publishing research using Anti-PRDM14 Antibody (A14825)? Please let us know so that we can list the citation on this page.

Alternative products to Anti-PRDM14 Antibody (A14825)

Proteins predicted to interact with PRDM14

Predicted protein interactions based upon String database. Revelancy score correlates with probability of interaction.
97.9% Relevancy Score
97.2% Relevancy Score
96.9% Relevancy Score
96.5% Relevancy Score
92.8% Relevancy Score
90.8% Relevancy Score
88.3% Relevancy Score
88.1% Relevancy Score
85.4% Relevancy Score