Primary Antibodies
Secondary Antibodies
Proteins & Peptides
ELISA Kits
About Us
Contact Us
Sign In/Register
0
ISO 9001:2015 Certified
Live Customer Support
4.5/5 on Trustpilot
100% Quality Guarantee
Home
Primary Antibodies
PRDM16 Antibodies
Anti-PRDM16 Antibody (A47632)
Anti-PRDM16 Antibody (A47632)
Overview
Specifications
Images
Enlarge Image
Enlarge Image
$780
Product Datasheet
Rabbit polyclonal antibody to PRDM16 for ELISA, WB and IHC.
100% Guarantee
Price Match Guarantee
Product Size:
100µl
Quantity:
1
2
3
4
5
6
7
8
9
10
Add To Cart
Request a Quotation
Custom or Bulk Request
Shipping Information
Freight/Packing Charges:
$40
Dispatched from St. Louis, MO.
Lead Time: 6-9 business days.
Tags:
Adipocyte Marker
Specifications
Name
Anti-PRDM16 Antibody
Description
Rabbit polyclonal antibody to PRDM16
Applications
ELISA
,
WB
,
IHC
Reactivity
Human, Mouse, Rat
Immunogen
Raised against a 17 amino acid peptide from near the carboxy terminus of human PRDM16.
Host
Rabbit
Clonality
Polyclonal
Conjugate
Unconjugated
Purification
Affinity chromatography purified via peptide column
Formulation
Supplied in phosphate-buffered saline with 0.02% Sodium Azide.
Storage
Shipped at 4°C. Upon delivery aliquot and store at -20°C. Avoid freeze/thaw cycles.
Synonyms
Histone-lysine N-methyltransferase PRDM16, KIAA1675, MDS1/EVI1-like gene 1, MEL1, PFM13, PR domain zinc finger protein 16, PR domain-containing protein 16, Transcription factor MEL1
Suitable Secondaries
Goat Anti-Rabbit IgG H&L Antibody (AP) (A294874)
Goat Anti-Rabbit IgG H&L Antibody (Biotin) (A294795)
Goat Anti-Rabbit IgG H&L Antibody (FITC) (A294887)
Goat Anti-Rabbit IgG H&L Antibody (HRP) (A294888)
See all Anti-Rabbit IgG Secondaries →
Disclaimer
This product is for research use only. It is not intended for diagnostic or therapeutic use.
Scientific Validation Data
Validation Data
(2)
Enlarge Image
Anti-PRDM16 Antibody (A47632)
Western blot analysis of PRDM16 in rat brain tissue lysate with PRDM16 antibody at (A) 1 and (B) 2 µg/mL.
Enlarge Image
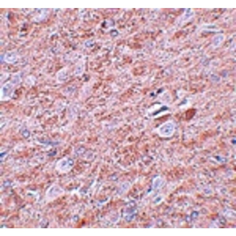
Immunohistochemistry - Anti-PRDM16 Antibody (A47632)
Immunohistochemistry of PRDM16 in rat brain tissue with PRDM16 antibody at 2.5 µg/mL.
Publishing research using Anti-PRDM16 Antibody (A47632)? Please
let us know
so that we can list the citation on this page.
Alternative products to Anti-PRDM16 Antibody (A47632)
A285929
Anti-PRDM16 Antibody
Goat polyclonal antibody to PRDM16 for ELISA, Flow Cytometry and ChIP.
A285929
Anti-PRDM16 Antibody
Goat polyclonal antibody to PRDM16 for ELISA, Flow Cytometry and ChIP.
Proteins predicted to interact with PRDM16
Predicted protein interactions based upon String database. Revelancy score correlates with probability of interaction.
PPAR gamma Antibodies
99.6% Relevancy Score
PGC1 alpha Antibodies
99.5% Relevancy Score
CEBP beta Antibodies
99.5% Relevancy Score
CtBP1 Antibodies
97.1% Relevancy Score
UCP1 Antibodies
94.6% Relevancy Score
CtBP2 Antibodies
93% Relevancy Score
KDM1 Antibodies
92.6% Relevancy Score
CIDEA Antibodies
88.1% Relevancy Score
PPARGC1B Antibodies
87.2% Relevancy Score
Top