ISO 9001:2015 Certified
Live Customer Support
4.5/5 on Trustpilot
100% Quality Guarantee

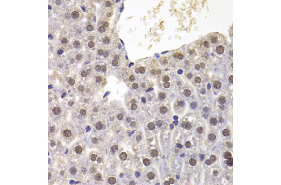
Anti-PRDM5 Antibody (A15663)

This product is discontinued

Anti-PRDM5 Antibody (A15663) has been discontinued and is no longer available.

View all PRDM5 Antibodies.

Name
Anti-PRDM5 Antibody
Description
Rabbit polyclonal antibody to PRDM5.
Applications
WB, IHC, ICC/IF
Dilutions
WB: 1:500-1:2,000, IHC: 1:50-1:200, ICC/IF: 1:50-1:200
Reactivity
Human, Mouse, Rat
Immunogen
Recombinant fusion protein containing a sequence corresponding to amino acids 1-100 of human PRDM5 (NP_061169.2).
Sequence
MLGMYVPDRFSLKSSRVQDGMGLYTARRVRKGEKFGPFAGEKRMPEDLDENMDYRLMWEVRGSKGEVLYILDATNPRHSNWLRFVHEAPSQEQKNLAAIQ
Host
Rabbit
Clonality
Polyclonal
Isotype
IgG
Conjugate

Unconjugated

Purification
Affinity purification.
Molecular Weight
110 kDa
Product Form
Liquid
Formulation
Supplied in Phosphate Buffered Saline, pH 7.3, with 50% Glycerol and 0.02% Sodium Azide.
Storage
Shipped at 4°C. Upon delivery aliquot and store at -20°C. Avoid freeze / thaw cycles.
Synonyms
PFM2, PR domain zinc finger protein 5, PR domain-containing protein 5
Disclaimer
This product is for research use only. It is not intended for diagnostic or therapeutic use.

Alternative products to Anti-PRDM5 Antibody (A15663)

Proteins predicted to interact with PRDM5

Predicted protein interactions based upon String database. Revelancy score correlates with probability of interaction.
63.6% Relevancy Score
57.4% Relevancy Score
56% Relevancy Score
51.4% Relevancy Score
47.9% Relevancy Score
47.5% Relevancy Score
47.4% Relevancy Score
47.4% Relevancy Score