Western blot analysis of extracts of HepG2 cells, using Anti-Prealbumin Antibody (A11408) at 1:1,000 dilution. The secondary antibody was Goat Anti-Rabbit IgG H&L Antibody (HRP) at 1:10,000 dilution. Lysates/proteins were present at 25µg per lane. The blocking buffer used was 3% non-fat dry milk in TBST. Detection was with a ECL Enhanced Kit. Exposure time: 180s.
Western blot analysis of extracts of various cell lines, using Anti-Prealbumin Antibody (A11408) at 1:500 dilution. The secondary antibody was Goat Anti-Rabbit IgG H&L Antibody (HRP) at 1:10,000 dilution. Lysates/proteins were present at 25µg per lane. The blocking buffer used was 3% non-fat dry milk in TBST. Detection was with a ECL Enhanced Kit. Exposure time: 180s.
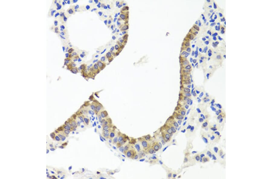
Immunohistochemistry analysis of paraffin-embedded mouse lung using Anti-Prealbumin Antibody (A11408) at a dilution of 1:100 (40x lens). Perform microwave antigen retrieval with 10 mM PBS buffer pH 7.2 before commencing with IHC staining protocol.
Immunofluorescence analysis of human liver cancer using Anti-Prealbumin Antibody (A11408) at a dilution of 1:100 (40x lens). DAPI was used to stain the cell nuclei (blue).
Publishing research using Anti-Prealbumin Antibody (A11408)? Please let us know so that we can list the citation on this page.
Alternative products to Anti-Prealbumin Antibody (A11408)
Recombinant chimeric monoclonal antibody to ATTR for use as a research grade Coramitug biosimilar for ELISA, Flow Cytometry, Functional Studies and in vivo Research.
Recombinant human monoclonal antibody to Prealbumin for use as a research grade NI-006 biosimilar for ELISA, Flow Cytometry, Functional Studies and in vivo Research.
Recombinant chimeric monoclonal antibody to ATTR for use as a research grade Coramitug biosimilar for ELISA, Flow Cytometry, Functional Studies and in vivo Research.
Recombinant human monoclonal antibody to Prealbumin for use as a research grade NI-006 biosimilar for ELISA, Flow Cytometry, Functional Studies and in vivo Research.