Primary Antibodies
Secondary Antibodies
Proteins & Peptides
ELISA Kits
About Us
Contact Us
Sign In/Register
0
ISO 9001:2015 Certified
Live Customer Support
4.5/5 on Trustpilot
100% Quality Guarantee
Home
Primary Antibodies
Anti-Presenilin1 Antibody (A47388)
Anti-Presenilin1 Antibody (A47388)
Overview
Specifications
Images
Enlarge Image
Enlarge Image
$780
Product Datasheet
Rabbit polyclonal antibody to Presenilin1 for ELISA, WB and IHC.
100% Guarantee
Price Match Guarantee
Product Size:
100µl
Quantity:
1
2
3
4
5
6
7
8
9
10
Add To Cart
Request a Quotation
Custom or Bulk Request
Shipping Information
Freight/Packing Charges:
$40
Dispatched from St. Louis, MO.
Lead Time: 6-9 business days.
Specifications
Name
Anti-Presenilin1 Antibody
Description
Rabbit polyclonal antibody to Presenilin1
Applications
ELISA
,
WB
,
IHC
Reactivity
Human, Mouse, Rat
Immunogen
Raised against a 23 amino acid peptide from near the carboxy terminus of human presenilin1.
Host
Rabbit
Clonality
Polyclonal
Conjugate
Unconjugated
Purification
Affinity chromatography purified via peptide column
Formulation
Supplied in phosphate-buffered saline with 0.02% Sodium Azide.
Storage
Shipped at 4°C. Upon delivery aliquot and store at -20°C. Avoid freeze/thaw cycles.
Synonyms
AD 3, AD4, AD5, Alzheimer disease 3, Alzheimer disease 4, FAD, Presenilin 1, Presenilin 1 + 2, Presenilin 2, PS1, PS2, PSEN1, PSEN2, STM2
Suitable Secondaries
Goat Anti-Rabbit IgG H&L Antibody (AP) (A294874)
Goat Anti-Rabbit IgG H&L Antibody (Biotin) (A294795)
Goat Anti-Rabbit IgG H&L Antibody (FITC) (A294887)
Goat Anti-Rabbit IgG H&L Antibody (HRP) (A294888)
See all Anti-Rabbit IgG Secondaries →
Disclaimer
This product is for research use only. It is not intended for diagnostic or therapeutic use.
Scientific Validation Data
Validation Data
(2)
Enlarge Image
Anti-Presenilin1 Antibody (A47388)
Western blot analysis of presenilin1 in human brain lysate with presenilin1 antibody at (A) 0.5, (B) 1, and (C) 2 µg/mL.
Enlarge Image
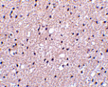
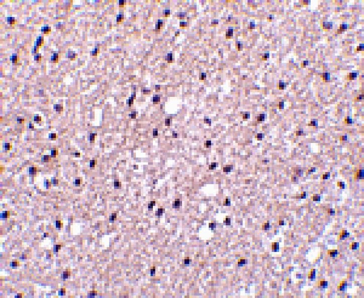
Immunohistochemistry - Anti-Presenilin1 Antibody (A47388)
Immunohistochemistry of Presenilin1 in human brain tissue with Presenilin1 antibody at 2.5 µg/mL.
Publishing research using Anti-Presenilin1 Antibody (A47388)? Please
let us know
so that we can list the citation on this page.
Top