Primary Antibodies
Secondary Antibodies
Proteins & Peptides
ELISA Kits
About Us
Contact Us
Sign In/Register
0
ISO 9001:2015 Certified
Live Customer Support
4.5/5 on Trustpilot
100% Quality Guarantee
Home
Primary Antibodies
PRKACB Antibodies
Anti-PRKACB Antibody (A16581)
Anti-PRKACB Antibody (A16581)
Overview
Specifications
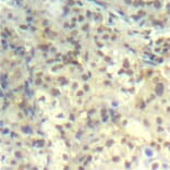
Images
Enlarge Image
$515
Product Datasheet
Rabbit polyclonal antibody to PRKACB for WB.
100% Guarantee
Price Match Guarantee
Product Size:
100µl
Quantity:
1
2
3
4
5
6
7
8
9
10
Add To Cart
Request a Quotation
Custom or Bulk Request
Shipping Information
Freight/Packing Charges:
$40
Dispatched from St. Louis, MO.
Lead Time: 7-10 business days.
Specifications
Name
Anti-PRKACB Antibody
Description
Rabbit polyclonal antibody to PRKACB.
Applications
WB
Dilutions
WB: 1:500-1:2000
Reactivity
Mouse, Rat
Immunogen
Recombinant fusion protein containing a sequence corresponding to amino acids 1-351 of human PRKACB (NP_002722.1).
Sequence
MGNAATAKKGSEVESVKEFLAKAKEDFLKKWENPTQNNAGLEDFERKKTLGTGSFGRVMLVKHKATEQYYAMKILDKQKVVKLKQIEHTLNEKRILQAVNFPFLVRLEYAFKDNSNLYMVMEYVPGGEMFSHLRRIGRFSEPHARFYAAQIVLTFEYLHSLDLIYRDLKPENLLIDHQGYIQVTDFGFAKRVKGRTWTLCGTPEYLAPEIILSKGYNKAVDWWALGVLIYEMAAGYPPFFADQPIQIYEKIVSGKVRFPSHFSSDLKDLLRNLLQVDLTKRFGNLKNGVSDIKTHKWFATTDWIAIYQRKVEAPFIPKFRGSGDTSNFDDYEEEDIRVSITEKCAKEFGEF
Host
Rabbit
Clonality
Polyclonal
Isotype
IgG
Conjugate
Unconjugated
Purification
Affinity purification.
Concentration
Lot Specific
Molecular Weight
50kDa
Product Form
Liquid
Formulation
Supplied in Phosphate Buffered Saline, pH 7.30, with 0.02% Sodium Azide and 50% Glycerol.
Storage
Shipped at 4°C. Upon delivery aliquot and store at -20°C. Avoid freeze/thaw cycles.
Synonyms
cAMP-dependent protein kinase catalytic subunit beta, PKA C-beta
Isotype Controls
Rabbit IgG (A82272)
Rabbit IgG (A17360)
Suitable Secondaries
Goat Anti-Rabbit IgG H&L Antibody (AP) (A294874)
Goat Anti-Rabbit IgG H&L Antibody (Biotin) (A294795)
Goat Anti-Rabbit IgG H&L Antibody (FITC) (A294887)
Goat Anti-Rabbit IgG H&L Antibody (HRP) (A294888)
See all Anti-Rabbit IgG Secondaries →
Disclaimer
This product is for research use only. It is not intended for diagnostic or therapeutic use.
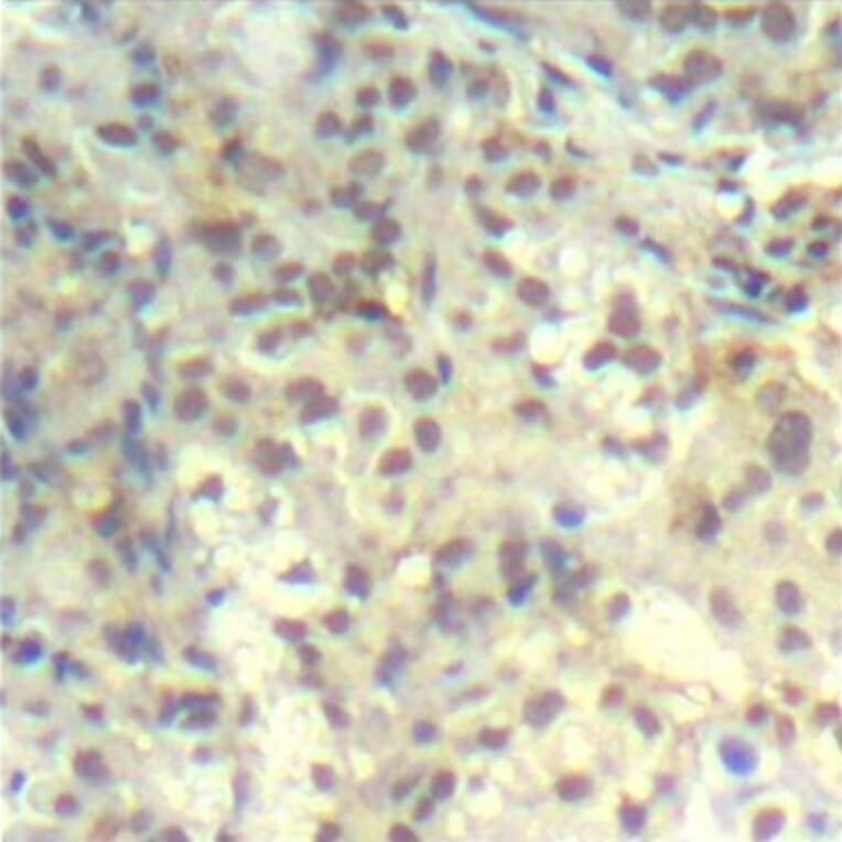
Scientific Validation Data
Validation Data
(1)
Enlarge Image
Immunohistochemistry - Anti-PRKACB Antibody (A16581)
Immunohistochemistry of paraffin-embedded human lung carcinoma using Phospho-CFL1-Y139 antibody (A16581).
Publishing research using Anti-PRKACB Antibody (A16581)? Please
let us know
so that we can list the citation on this page.
Alternative products to Anti-PRKACB Antibody (A16581)
(3)
A34989
Anti-PRKACB Antibody
Rabbit polyclonal antibody to PRKACB for WB, IHC and ICC/IF.
A97450
Anti-KAPCB Antibody
Rabbit polyclonal antibody to KAPCB for WB, IHC, IF and ELISA.
(3)
A34989
Anti-PRKACB Antibody
Rabbit polyclonal antibody to PRKACB for WB, IHC and ICC/IF.
A97450
Anti-KAPCB Antibody
Rabbit polyclonal antibody to KAPCB for WB, IHC, IF and ELISA.
Proteins predicted to interact with PRKACB
Predicted protein interactions based upon String database. Revelancy score correlates with probability of interaction.
PRKAR2B Antibodies
99.9% Relevancy Score
PRKAR1A Antibodies
99.9% Relevancy Score
AKAP1 Antibodies
99.9% Relevancy Score
PRKAR2A Antibodies
99.8% Relevancy Score
Ezrin Antibodies
99.8% Relevancy Score
AKAP5 Antibodies
99.8% Relevancy Score
PRKAR1B Antibodies
99.8% Relevancy Score
CREB Antibodies
99.5% Relevancy Score
RYR2 Antibodies
99.3% Relevancy Score
Top