Primary Antibodies
Secondary Antibodies
Proteins & Peptides
ELISA Kits
About Us
Contact Us
Sign In/Register
0
ISO 9001:2015 Certified
Live Customer Support
4.5/5 on Trustpilot
100% Quality Guarantee
Home
Primary Antibodies
PRMT5 Antibodies
Anti-PRMT5 Antibody (A32594)
Anti-PRMT5 Antibody (A32594)
Overview
Specifications
Images
Enlarge Image
Enlarge Image
Enlarge Image
Enlarge Image
Enlarge Image
Enlarge Image
Enlarge Image
$455
Mouse monoclonal antibody to PRMT5 for WB and IHC.
100% Guarantee
Price Match Guarantee
Product Size:
50µl
100µl
Quantity:
1
2
3
4
5
6
7
8
9
10
Add To Cart
Request a Quotation
Custom or Bulk Request
Shipping Information
Freight/Packing Charges:
$40
Dispatched from St. Louis, MO.
Lead Time: 7-10 business days.
Specifications
Name
Anti-PRMT5 Antibody
Description
Mouse monoclonal antibody to PRMT5
Specificity
This antibody detects endogenous levels of PRMT5 and does not cross-react with related proteins.
Applications
WB
,
IHC
Reactivity
Human, Mouse, Rat
Immunogen
This antibody is produced by immunizing mice with a synthetic peptide (KLH-coupled) corresponding to a region of PRMT5.
Host
Mouse
Clonality
Monoclonal
Conjugate
Unconjugated
Molecular Weight
~ 70 kDa
Purity
Protein A affinity purified
Product Form
Mouse IgG2a. 1*TBS (pH7.4), 1%BSA, 40%Glycerol. Preservative: 0.05% Sodium Azide.
Synonyms
72 kDa ICln-binding protein, Histone-arginine N-methyltransferase PRMT5, HRMT1L5, IBP72, Jak-binding protein 1, JBP1, Protein arginine N-methyltransferase 5, Shk1 kinase-binding protein 1 homolog, SKB1, SKB1 homolog, SKB1Hs
Suitable Secondaries
Goat Anti-Mouse IgG H&L Antibody (AP) (A301438)
Goat Anti-Mouse IgG H&L Antibody (Biotin) (A301439)
Goat Anti-Mouse IgG H&L Antibody (FITC) (A301669)
Goat Anti-Mouse IgG H&L Antibody (HRP) (A301445)
See all Anti-Mouse IgG Secondaries →
Disclaimer
This product is for research use only. It is not intended for diagnostic or therapeutic use.
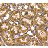
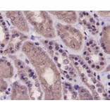
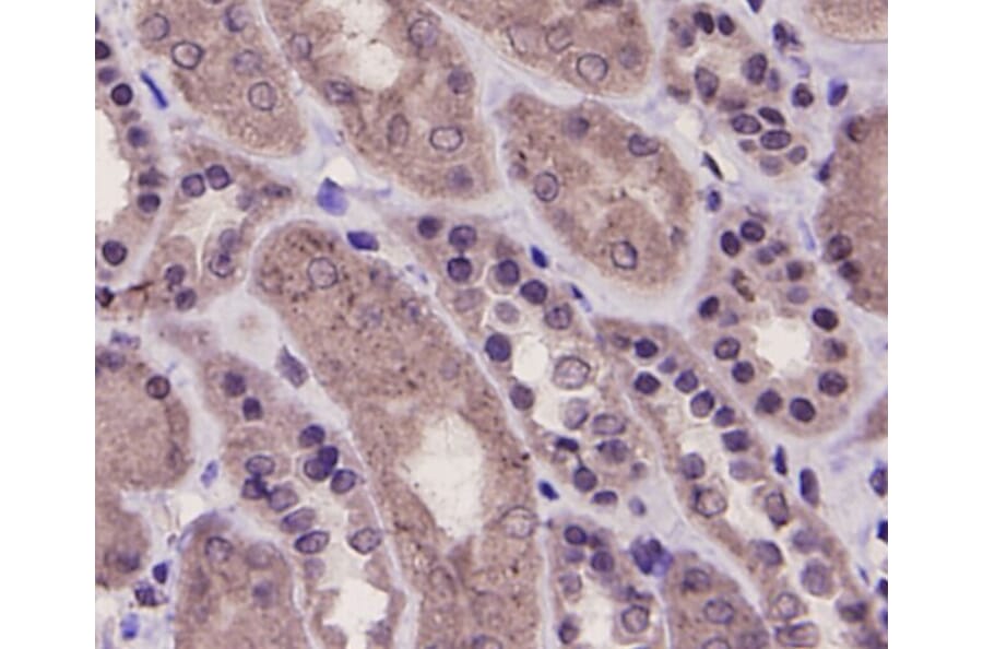
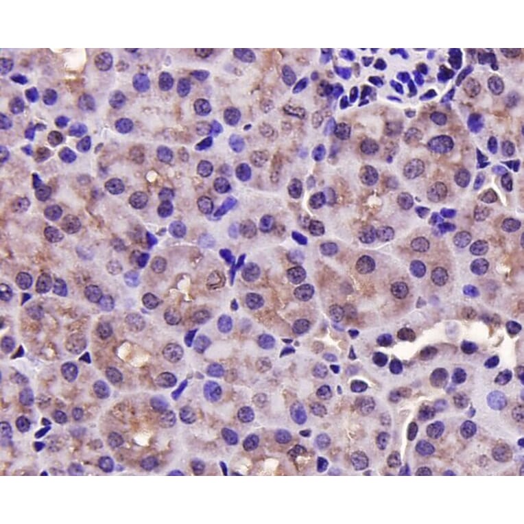
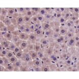
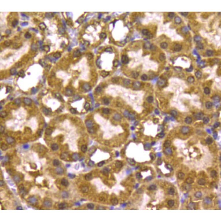
Scientific Validation Data
Validation Data
(7)
Enlarge Image
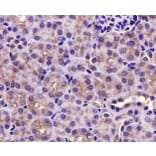
Anti-PRMT5 Antibody (A32594)
For details please refer to datasheet.
Enlarge Image
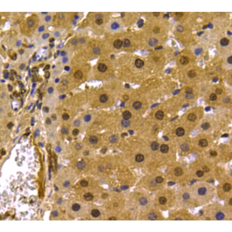
Anti-PRMT5 Antibody (A32594)
For details please refer to datasheet.
Enlarge Image
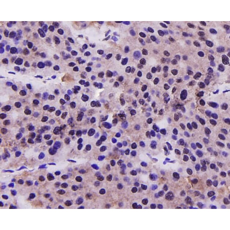
Anti-PRMT5 Antibody (A32594)
For details please refer to datasheet.
Enlarge Image
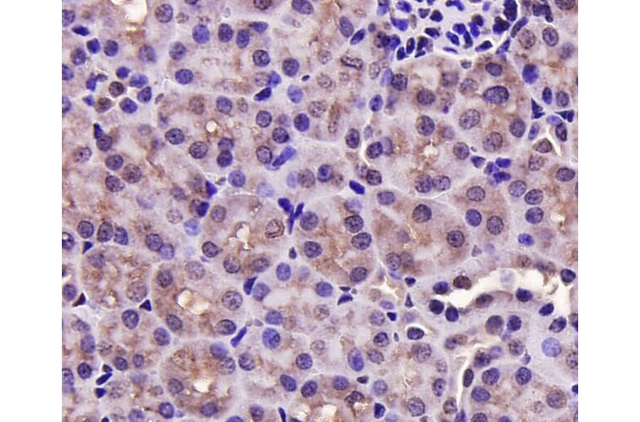
Anti-PRMT5 Antibody (A32594)
For details please refer to datasheet.
Enlarge Image
Anti-PRMT5 Antibody (A32594)
For details please refer to datasheet.
Enlarge Image
Anti-PRMT5 Antibody (A32594)
For details please refer to datasheet.
Enlarge Image
Anti-PRMT5 Antibody (A32594)
For details please refer to datasheet.
Show more images
Publishing research using Anti-PRMT5 Antibody (A32594)? Please
let us know
so that we can list the citation on this page.
Alternative products to Anti-PRMT5 Antibody (A32594)
(7)
A13485
Anti-PRMT5 Antibody
Rabbit polyclonal antibody to PRMT5 for WB, IHC and ICC/IF.
(6)
A32390
Anti-PRMT5 Antibody
Rabbit monoclonal antibody to PRMT5 for WB, ICC/IF and IHC.
(3)
A30085
Anti-PRMT5 Antibody
Rabbit polyclonal antibody to PRMT5 for WB, IHC, IF, IP and CHIP.
(2)
A34206
Anti-PRMT5 Antibody
Rabbit polyclonal antibody to PRMT5 for WB, IHC, IF, IP and CHIP.
(2)
A48150
Anti-PRMT5 Antibody
Rabbit polyclonal antibody to PRMT5 for E, WB and IHC.
(2)
A910
Anti-PRMT5 Antibody
Rabbit polyclonal antibody to PRMT5 for WB and ICC.
A9029
Anti-PRMT5 Antibody
Rabbit polyclonal antibody to PRMT5 for WB and ICC/IF.
A83003
Anti-PRMT5 Antibody
Goat polyclonal antibody to PRMT5 for ELISA and WB.
(7)
A13485
Anti-PRMT5 Antibody
Rabbit polyclonal antibody to PRMT5 for WB, IHC and ICC/IF.
(6)
A32390
Anti-PRMT5 Antibody
Rabbit monoclonal antibody to PRMT5 for WB, ICC/IF and IHC.
(3)
A30085
Anti-PRMT5 Antibody
Rabbit polyclonal antibody to PRMT5 for WB, IHC, IF, IP and CHIP.
(2)
A34206
Anti-PRMT5 Antibody
Rabbit polyclonal antibody to PRMT5 for WB, IHC, IF, IP and CHIP.
(2)
A48150
Anti-PRMT5 Antibody
Rabbit polyclonal antibody to PRMT5 for E, WB and IHC.
(2)
A910
Anti-PRMT5 Antibody
Rabbit polyclonal antibody to PRMT5 for WB and ICC.
A9029
Anti-PRMT5 Antibody
Rabbit polyclonal antibody to PRMT5 for WB and ICC/IF.
A83003
Anti-PRMT5 Antibody
Goat polyclonal antibody to PRMT5 for ELISA and WB.
See all PRMT5 Antibodies
Proteins predicted to interact with PRMT5
Predicted protein interactions based upon String database. Revelancy score correlates with probability of interaction.
CLNS1A Antibodies
99.9% Relevancy Score
WDR77 Antibodies
99.9% Relevancy Score
SNRPD3 Antibodies
99.6% Relevancy Score
PRMT1 Antibodies
99.3% Relevancy Score
SNRPD1 Antibodies
99.1% Relevancy Score
SNRPB Antibodies
98.9% Relevancy Score
PRMT7 Antibodies
97.9% Relevancy Score
SNRPE Antibodies
97.7% Relevancy Score
BRG1 Antibodies
97.7% Relevancy Score
Top