ISO 9001:2015 Certified
Live Customer Support
4.5/5 on Trustpilot
100% Quality Guarantee

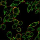
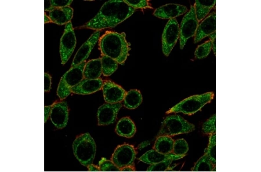
Anti-PRMT7 Antibody [PCRP-PRMT7-1A7] (A277756)

Mouse monoclonal [PCRP-PRMT7-1A7] antibody to PRMT7 for IP, WB, IF and Flow Cytometry.

Alternative Formats and ConjugatesAlternative Formats

Shipping Information

$40
Dispatched from St. Louis, MO.
Lead Time: 5-8 business days.
Name
Anti-PRMT7 Antibody [PCRP-PRMT7-1A7]
Description
Mouse monoclonal [PCRP-PRMT7-1A7] antibody to PRMT7.
Specificity
Arginine methylation is an irreversible protein modification catalyzed by Arginine methyltransferases, such as PRMT7, which uses S-adenosylmethionine (AdoMet) as the methyl donor. Arginine methylation is implicated in signal transduction, RNA transport and RNA splicing. PRMT7 has two methyltransferase domains, each containing a putative AdoMet-binding motif. The N-terminal methyltransferase domain closely resembles the catalytic core of PRMT5, and the C-terminal domain is most similar to that of PRMT1. Three PRMT7 splice variants have been identified by database analysis. PRMT7 is localized to the nucleus and cytoplasm and moderate expression is observed in adult brain and lung tissues.
Applications
IP, WB, IF, Flow Cytometry
Dilutions
IP: 1-2µg / 100-500µg proteins, WB: 1-2 µg/ml, IF: 1-2 µg/ml, Flow Cytometry: 1-2 µg/million cells
Reactivity
Human
Cross Reactivity
This antibody is predicted to cross react with Rat.
Immunogen
Recombinant full-length human PRMT7 protein.
Host
Mouse
Clonality
Monoclonal
Clone ID
PCRP-PRMT7-1A7
Isotype
IgG1
Conjugate

Unconjugated

Purification
Protein A/G chromatography.
Concentration
200 µg/ml
Molecular Weight
78.46 kDa
Product Form
Liquid
Formulation
Supplied in 10mM Phosphate Buffered Saline with 0.05% BSA and 0.05% Sodium Azide.
Storage
Shipped at 4°C. Upon delivery aliquot and store at -20°C. Avoid freeze / thaw cycles.
General Notes
This monoclonal antibody is also available in a different formulation without BSA and Sodium Azide - Anti-PRMT7 Antibody [PCRP-PRMT7-1A7] - BSA and Azide free (A278344).
Synonyms
Histone-arginine N-methyltransferase PRMT7, KIAA1933, Protein arginine N-methyltransferase 7, [Myelin basic protein]-arginine N-methyltransferase PRMT7
Disclaimer
This product is for research use only. It is not intended for diagnostic or therapeutic use.
Publishing research using Anti-PRMT7 Antibody [PCRP-PRMT7-1A7] (A277756)? Please let us know so that we can list the citation on this page.

Alternative products to Anti-PRMT7 Antibody [PCRP-PRMT7-1A7] (A277756)

Proteins predicted to interact with PRMT7

Predicted protein interactions based upon String database. Revelancy score correlates with probability of interaction.
97.9% Relevancy Score
89.7% Relevancy Score
82% Relevancy Score
81.5% Relevancy Score
81.1% Relevancy Score
73% Relevancy Score
68.4% Relevancy Score
66.2% Relevancy Score
63.6% Relevancy Score