ISO 9001:2015 Certified
Live Customer Support
4.5/5 on Trustpilot
100% Quality Guarantee

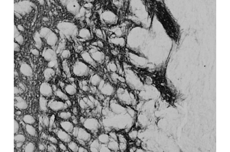
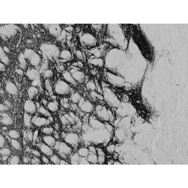
Anti-Proenkephalin Antibody (A84433)

Goat polyclonal antibody to Proenkephalin for ELISA and IHC.

Shipping Information

$40
Dispatched from St. Louis, MO.
Lead Time: 7-10 business days.
Name
Anti-Proenkephalin Antibody
Description
Goat polyclonal antibody to Proenkephalin.
Applications
ELISA, IHC
Dilutions
ELISA: 1:32,000, WB: 0.2µg/ml, IHC: 0.02-0.05µg/ml
Reactivity
Mouse, Rat
Immunogen
Synthetic peptide corresponding to the internal region of mouse Proenkephalin.
Sequence
C-YKDSSKQDESH
Host
Goat
Clonality
Polyclonal
Isotype
IgG
Conjugate

Unconjugated

Purification
Purified from goat serum by ammonium sulphate precipitation followed by antigen affinity chromatography using the immunizing peptide.
Concentration
500 µg/ml
Molecular Weight
40 kDa
Product Form
Liquid
Formulation
Supplied in Tris Buffered Saline, pH 7.3, with 0.5% BSA and 0.02% Sodium Azide.
Storage
Shipped at 4°C. Upon delivery aliquot and store at -20°C. Avoid freeze/thaw cycles.
Isotype Controls
Disclaimer
This product is for research use only. It is not intended for diagnostic or therapeutic use.
Publishing research using Anti-Proenkephalin Antibody (A84433)? Please let us know so that we can list the citation on this page.