Anti-Progesterone Receptor Antibody [PGR/2694] - BSA and Azide free
Description
Mouse monoclonal [PGR/2694] antibody to Progesterone Receptor.
Specificity
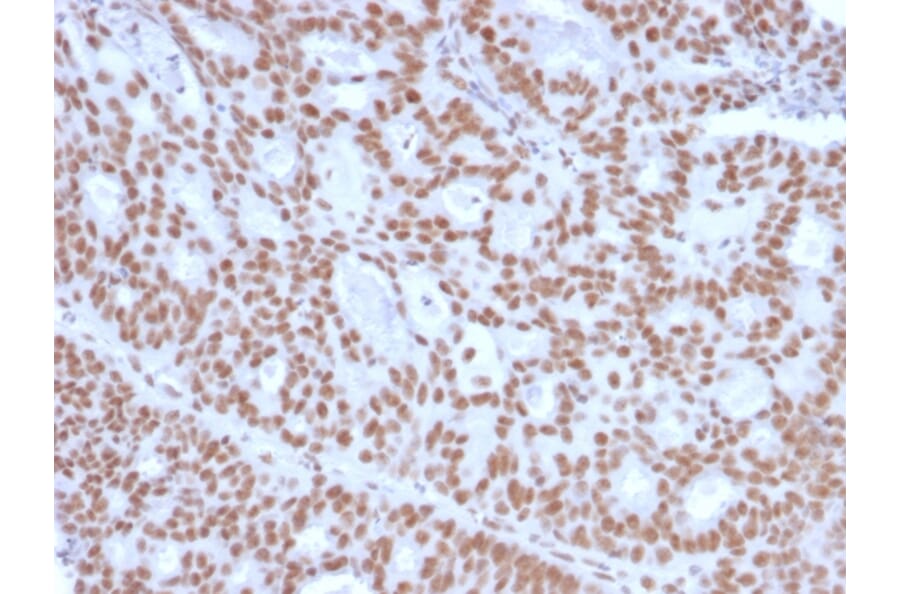
This antibody is specific to progesterone receptor and shows minimal cross-reaction with other members of the family. Progesterone receptor is expressed as two major isoforms, PR-A (81kDa) and PR-B (116kDa). Expression of PgR has been suggested to reflect a intact estrogen regulatory machinery and therefore, predict better clinical response to endocrine therapy than estrogen receptor (ER) alone. This antibody is excellent for immunohistochemical staining of formalin-fixed tissues.
Applications
IHC-P
Dilutions
IHC-P: 1-2 µg/ml
Reactivity
Human
Immunogen
Recombinant fragment, around amino acids 483-571, of human Progesterone Receptor protein. The exact sequence is proprietary.
Host
Mouse
Clonality
Monoclonal
Clone ID
PGR/2694
Isotype
IgG1
Light Chains
kappa
Conjugate
Unconjugated
Purification
Protein A/G chromatography.
Concentration
1 mg/ml
Molecular Weight
PR-A (81 kDa) / PR-B (116 kDa)
Product Form
Liquid
Formulation
Supplied in 10mM Phosphate Buffered Saline; without Sodium Azide and carrier free.
Storage
Shipped at 4°C. Upon delivery aliquot and store at -20°C. Avoid freeze / thaw cycles.
SDS-PAGE analysis of Anti-Progesterone Receptor Antibody [PGR/2694] under non-reduced and reduced conditions; showing intact IgG and intact heavy and light chains, respectively. SDS-PAGE analysis confirms the integrity and purity of the antibody.
Anti-Progesterone Receptor Antibody [PGR/2694] - BSA and Azide free (A252799)
Analysis of protein array containing more than 19,000 full-length human proteins using Anti-Progesterone Receptor Antibody [PGR/2694]. Z-Score and S- Score: The Z-score represents the strength of a signal that a monoclonal antibody (MAb) (in combination with a fluorescently-tagged anti-IgG secondary antibody) produces when binding to a particular protein on the HuProtTM array. Z-scores are described in units of standard deviations (SD's) above the mean value of all signals generated on that array. If targets on HuProtTM are arranged in descending order of the Z-score, the S-score is the difference (also in units of SD's) between the Z-score. S-score therefore represents the relative target specificity of a MAb to its intended target; a MAb is considered to be specific to its intended target, if the MAb has an S-score of at least 2.5. For example, if a MAb binds to protein X with a Z-score of 43 and to protein Y with a Z-score of 14, then the S-score for the binding of that MAb to protein X is equal to 29.
Publishing research using Anti-Progesterone Receptor Antibody [PGR/2694] - BSA and Azide free (A252799)? Please let us know so that we can list the citation on this page.
Alternative products to Anti-Progesterone Receptor Antibody [PGR/2694] - BSA and Azide free (A252799)