ISO 9001:2015 Certified
Live Customer Support
4.5/5 on Trustpilot
100% Quality Guarantee

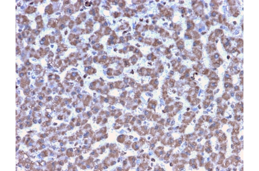
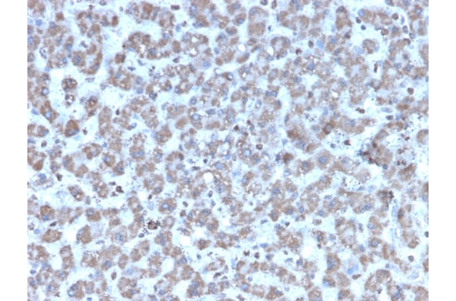
Anti-Prohibitin Antibody [PHB/3194] - BSA and Azide free (A252806)

Mouse monoclonal [PHB/3194] antibody to Prohibitin for WB, IF and IHC-P.

Alternative Formats and ConjugatesAlternative Formats

Shipping Information

$40
Dispatched from St. Louis, MO.
Lead Time: 5-8 business days.
Name
Anti-Prohibitin Antibody [PHB/3194] - BSA and Azide free
Description
Mouse monoclonal [PHB/3194] antibody to Prohibitin.
Specificity
This antibody recognizes a protein of 30kDa which is identified as Prohibitin, an evolutionarily conserved protein with homologues found in yeast to man. It is located in the inner membrane of mitochondria. Although prohibitin mRNA and protein expression occurs throughout the cell cycle, maximum levels are detected during the G1/S phase transition and minimum levels are seen in S phase and the G2/mitosis boundary. Prohibitin is located exclusively in the mitochondria with the highest concentration on the inner membrane. Prohibitin is an ideal mitochondrial marker. It shows antiproliferative activity and has been proposed to play a role in normal cell cycle regulation, replicative senescence, cellular immortalization, and tumor suppression.
Applications
WB, IF, IHC-P
Dilutions
WB: 1-2 µg/ml, IF: 1-2 µg/ml, IHC-P: 1-2 µg/ml
Reactivity
Human
Immunogen
Recombinant fragment, around amino acids 167-261, of human PHB protein. The exact sequence is proprietary.
Host
Mouse
Clonality
Monoclonal
Clone ID
PHB/3194
Isotype
IgG2b
Light Chains
kappa
Conjugate

Unconjugated

Purification
Protein A/G chromatography.
Concentration
1 mg/ml
Molecular Weight
30 kDa
Product Form
Liquid
Formulation
Supplied in 10mM Phosphate Buffered Saline; without Sodium Azide and carrier free.
Storage
Shipped at 4°C. Upon delivery aliquot and store at -20°C. Avoid freeze / thaw cycles.
General Notes
This monoclonal antibody is also available in a different formulation with BSA and Sodium Azide - Anti-Prohibitin Antibody [PHB/3194] (A249626).
Synonyms
PHB, PHB1, Prohibitin 1
Disclaimer
This product is for research use only. It is not intended for diagnostic or therapeutic use.
Publishing research using Anti-Prohibitin Antibody [PHB/3194] - BSA and Azide free (A252806)? Please let us know so that we can list the citation on this page.

Alternative products to Anti-Prohibitin Antibody [PHB/3194] - BSA and Azide free (A252806)