SDS-PAGE analysis of Anti-Prolactin Receptor Antibody [PRLR/3785R] under non-reduced and reduced conditions; showing intact IgG and intact heavy and light chains, respectively. SDS-PAGE analysis confirms the integrity and purity of the antibody.
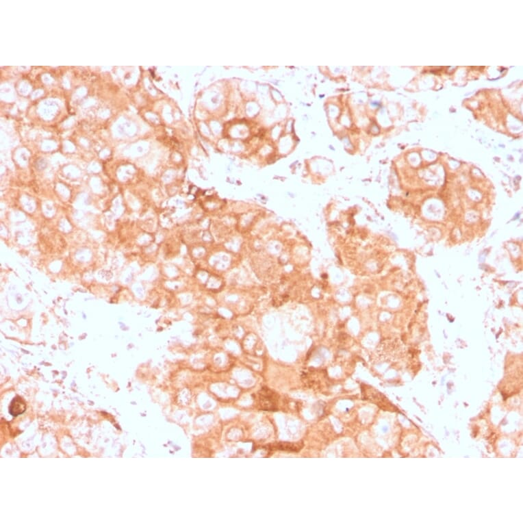
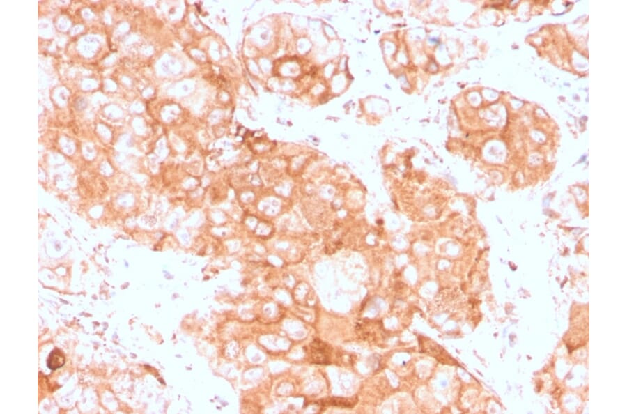
Immunohistochemical analysis of formalin-fixed, paraffin-embedded human testicular carcinoma using Anti-Prolactin Receptor Antibody [PRLR/3785R].
Publishing research using Recombinant Anti-Prolactin Receptor Antibody [PRLR/3785R] - BSA and Azide free (A252924)? Please let us know so that we can list the citation on this page.
Alternative products to Anti-Prolactin Receptor Antibody [PRLR/3785R] - BSA and Azide free (A252924)
Recombinant chimeric monoclonal antibody to Prolactin Receptor for use as a research grade Rolinsata for ELISA, Flow Cytometry, Functional Studies and in vivo Research.
Recombinant human monoclonal antibody to Prolactin Receptor for use as a research grade REGN2878-DM1 for ELISA, Flow Cytometry, Functional Studies and in vivo Research.
Recombinant human monoclonal antibody to Prolactin Receptor for use as a research grade XOMA 213 bio for ELISA, Flow Cytometry, Functional Studies and in vivo Research.
Recombinant human monoclonal antibody to Prolactin Receptor for use as a research grade ABBV-176 bio for ELISA, Flow Cytometry, Functional Studies and in vivo Research.
Recombinant human monoclonal antibody to Prolactin Receptor for use as a research grade BAY 1158061 for ELISA, Flow Cytometry, Functional Studies and in vivo Research.
Recombinant chimeric monoclonal antibody to Prolactin Receptor for use as a research grade Rolinsata for ELISA, Flow Cytometry, Functional Studies and in vivo Research.
Recombinant human monoclonal antibody to Prolactin Receptor for use as a research grade REGN2878-DM1 for ELISA, Flow Cytometry, Functional Studies and in vivo Research.
Recombinant human monoclonal antibody to Prolactin Receptor for use as a research grade XOMA 213 bio for ELISA, Flow Cytometry, Functional Studies and in vivo Research.
Recombinant human monoclonal antibody to Prolactin Receptor for use as a research grade ABBV-176 bio for ELISA, Flow Cytometry, Functional Studies and in vivo Research.
Recombinant human monoclonal antibody to Prolactin Receptor for use as a research grade BAY 1158061 for ELISA, Flow Cytometry, Functional Studies and in vivo Research.